Suppr超能文献

颈动脉残端综合征开放手术及血管腔内介入治疗后的结果

Outcome following open and endovascular intervention for carotid stump syndrome.

作者信息

Dulai Makinderjit, Elsherif Mohamed, Tawfick Wael, Kavanagh Edel P, Hynes Niamh, Sultan Sherif

机构信息

Western Vascular Institute, Department of Vascular & Endovascular Surgery, University Hospital Galway, National University of Ireland Galway, Galway, Ireland.

Galway Clinic, Royal College of Surgeons in Ireland, Galway, Ireland.

出版信息

SAGE Open Med Case Rep. 2018 Jun 20;6:2050313X18779744. doi: 10.1177/2050313X18779744. eCollection 2018.

Abstract

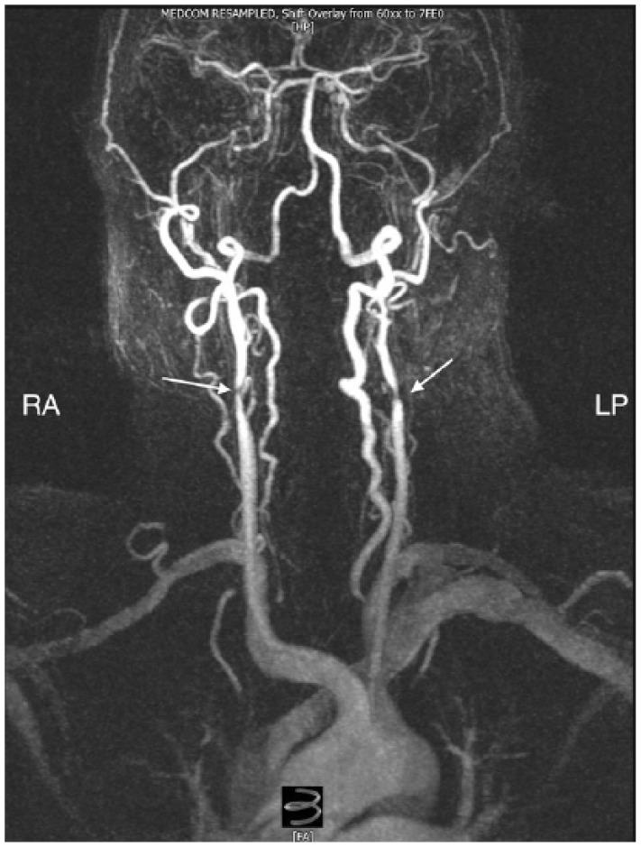
Carotid stump syndrome is defined as the persistence of retinal or cerebral ischaemic events with complete occlusion of the ipsilateral internal carotid artery. The aim of this retrospective cases series was to assess the outcomes for patients with carotid stump syndrome managed with surgical intervention. A series of 11 cases of carotid stump syndrome in nine patients presented to our tertiary vascular centre from October 2004 to February 2016. Indications for intervention were amaurosis fugax, transient ischaemic attacks and stroke. In total, 11 procedures were performed on nine patients including carotid angioplasty and stenting or carotid endarterectomy with patching. The mean follow-up period was 56.6 months. One patient suffered a myocardial infarction 30 days, post-operatively, and one patient was lost to follow-up. In the remaining seven patients, there was a complete resolution of symptoms. There were no incidents of death, stroke, cranial nerve injury, wound haematoma or procedural bleeding. Surgical exclusion of carotid stumps combined with dual antiplatelet agents was found to be a safe and effective treatment method for carotid stump syndrome.

摘要

颈动脉残端综合征的定义为同侧颈内动脉完全闭塞时视网膜或脑部缺血事件持续存在。本回顾性病例系列的目的是评估接受手术干预治疗的颈动脉残端综合征患者的治疗效果。2004年10月至2016年2月期间,9例患者中的11例颈动脉残端综合征病例被送至我们的三级血管中心。干预指征为一过性黑矇、短暂性脑缺血发作和中风。总共对9例患者进行了11次手术,包括颈动脉血管成形术和支架置入术或颈动脉内膜切除术加修补术。平均随访期为56.6个月。1例患者术后30天发生心肌梗死,1例患者失访。其余7例患者症状完全缓解。未发生死亡、中风、颅神经损伤、伤口血肿或手术出血事件。发现手术切除颈动脉残端联合双联抗血小板药物是治疗颈动脉残端综合征的一种安全有效的方法。

https://cdn.ncbi.nlm.nih.gov/pmc/blobs/7f32/6024327/c831c10cff03/10.1177_2050313X18779744-fig1.jpg

文献检索

告别复杂PubMed语法,用中文像聊天一样搜索,搜遍4000万医学文献。AI智能推荐,让科研检索更轻松。

立即免费搜索

文件翻译

保留排版,准确专业,支持PDF/Word/PPT等文件格式,支持 12+语言互译。

免费翻译文档

深度研究

AI帮你快速写综述,25分钟生成高质量综述,智能提取关键信息,辅助科研写作。

立即免费体验