Suppr超能文献

正常参与者和特发性尾骨痛患者的骶尾角和尾骨间角的磁共振测量

Magnetic Resonance Measurements of Sacrococcygeal and Intercoccygeal Angles in Normal Participants and those with Idiopathic Coccydynia.

作者信息

Gupta Vishal, Agarwal Neema, Baruah Barin Prasad

机构信息

Department of Radiology, School of Medical Sciences and Research, Sharda University, Greater Noida, Uttar Pradesh, India.

出版信息

Indian J Orthop. 2018 Jul-Aug;52(4):353-357. doi: 10.4103/ortho.IJOrtho_407_16.

Abstract

BACKGROUND

In the past, few studies have been done to objectively measure the sacrococcygeal (SC) and intercoccygeal (IC) angles in the population and in patients with coccydynia. Coccydynia is an age-old disorder, the exact incidence of which has not been determined. It is reported to be more common in females and the obese. The magnetic resonance imaging (MRI) studies done in the past have calculated the curvature indices. In this study, we used MRI to objectively measure the angles in the normal participants as well as those with idiopathic coccydynia.

MATERIALS AND METHODS

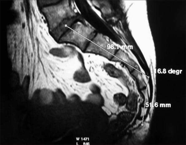
Two groups of patients were identified. Group A was "control group" of 106 normal participants and Group B comprised "study group" of ten patients suffering from idiopathic coccydynia. In all these patients, midsagittal T1-weighted MRI image acquired in supine position was used to calculate SC and IC angles. Data were analyzed, and angles were compared between the study and control groups. Statistical analysis was done with Chi-square test.

RESULTS

In the control group, the average SC and IC angles in the control group were 126.8° and 33.5°, respectively. In the study group, the average SC angle and the average IC angle turned out to be 127.1° and 43.2°, respectively. The difference between the SC angles in the control and study groups was not significant ( = 0.7), whereas the difference between the IC angles in the two groups was significant ( = 0.002).

CONCLUSIONS

From our study, we observed that the IC angle shows a decreasing trend with increasing age. In addition, increased IC angle was identified as a possible cause of idiopathic coccydynia.

摘要

背景

过去,很少有研究客观测量普通人群以及尾骨痛患者的骶尾角(SC)和尾骨间角(IC)。尾骨痛是一种古老的疾病,其确切发病率尚未确定。据报道,该病在女性和肥胖者中更为常见。过去的磁共振成像(MRI)研究计算了曲率指数。在本研究中,我们使用MRI客观测量正常参与者以及特发性尾骨痛患者的角度。

材料与方法

确定了两组患者。A组为106名正常参与者组成的“对照组”,B组为10名患有特发性尾骨痛的患者组成的“研究组”。在所有这些患者中,使用仰卧位获取的矢状面T1加权MRI图像来计算SC和IC角。对数据进行分析,并比较研究组和对照组之间的角度。采用卡方检验进行统计分析。

结果

在对照组中,SC角和IC角的平均值分别为126.8°和33.5°。在研究组中,SC角和IC角的平均值分别为127.1°和43.2°。对照组和研究组之间的SC角差异不显著(=0.7),而两组之间的IC角差异显著(=0.002)。

结论

从我们的研究中,我们观察到IC角随年龄增长呈下降趋势。此外,IC角增大被确定为特发性尾骨痛的一个可能原因。

https://cdn.ncbi.nlm.nih.gov/pmc/blobs/1997/6055471/3a1075314556/IJOrtho-52-353-g001.jpg

文献AI研究员

20分钟写一篇综述,助力文献阅读效率提升50倍。

立即体验

用中文搜PubMed

大模型驱动的PubMed中文搜索引擎

马上搜索

文档翻译

学术文献翻译模型,支持多种主流文档格式。

立即体验