Suppr超能文献

一名胆囊切除术后患者经颈静脉肝活检后发生胆漏。

Bile leak after transjugular liver biopsy in a cholecystectomy patient.

作者信息

Alharthi Omar, Etezadi Vahid

机构信息

Diagnostic Radiology and Nuclear Medicine Department, University of Maryland Medical Center, 33 S Greene Street, Baltimore, MD 21201, USA.

出版信息

Radiol Case Rep. 2018 Sep 14;13(6):1203-1206. doi: 10.1016/j.radcr.2018.07.026. eCollection 2018 Dec.

Abstract

INTRODUCTION

Transjugular liver biopsy (TJLB) is a minimally invasive procedure performed to obtain hepatic tissue in patients whom standard percutaneous liver biopsy is contraindicated due to abnormal coagulation profile and/or severe ascites. Additionally, it has the advantage of simultaneously measuring the hepatic venous pressures.

CASE PRESENTATION

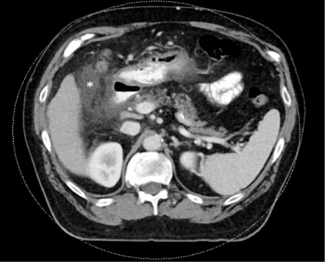
61-year-old male with history of pulmonary fibrosis, cholecystectomy and Hepatitis C underwent transjugular liver biopsy (TJLB) as part of his lung transplant workup. Shortly after the procedure, the patient developed sharp right upper abdominal pain. Immediate CT of the abdomen and pelvis showed small foci of contrast and gas in the gallbladder fossa and porta hepatis indicating hepatic capsular penetration without perihepatic hematoma or other evidence of hemorrhage. Follow up CT of the abdomen and HIDA scan confirmed the presence of bile leak. Sphincterotomy and stent placement through ERCP was performed.

CONCLUSION

Bile leak after a TJLB is a rare, however, potential complication. ERCP and biliary stent seems an effective treatment for persistent symptomatic bile leak post TJLB.

摘要

引言

经颈静脉肝活检(TJLB)是一种微创手术,用于在因凝血功能异常和/或严重腹水而禁忌进行标准经皮肝活检的患者中获取肝组织。此外,它还具有同时测量肝静脉压力的优势。

病例介绍

一名61岁男性,有肺纤维化、胆囊切除术和丙型肝炎病史,作为其肺移植检查的一部分接受了经颈静脉肝活检(TJLB)。术后不久,患者出现右上腹剧痛。腹部和盆腔的即时CT显示胆囊窝和肝门处有小的造影剂和气体灶,提示肝包膜穿透,但无肝周血肿或其他出血迹象。腹部随访CT和HIDA扫描证实存在胆漏。通过内镜逆行胰胆管造影(ERCP)进行了括约肌切开术和支架置入术。

结论

经颈静脉肝活检后胆漏是一种罕见但潜在的并发症。ERCP和胆道支架似乎是治疗经颈静脉肝活检后持续性有症状胆漏的有效方法。

https://cdn.ncbi.nlm.nih.gov/pmc/blobs/9a6a/6140423/cf189eafa373/gr1.jpg

文献AI研究员

20分钟写一篇综述,助力文献阅读效率提升50倍。

立即体验

用中文搜PubMed

大模型驱动的PubMed中文搜索引擎

马上搜索

文档翻译

学术文献翻译模型,支持多种主流文档格式。

立即体验