Suppr超能文献

肾乳头增生作为持续性无症状镜下血尿的一个病因

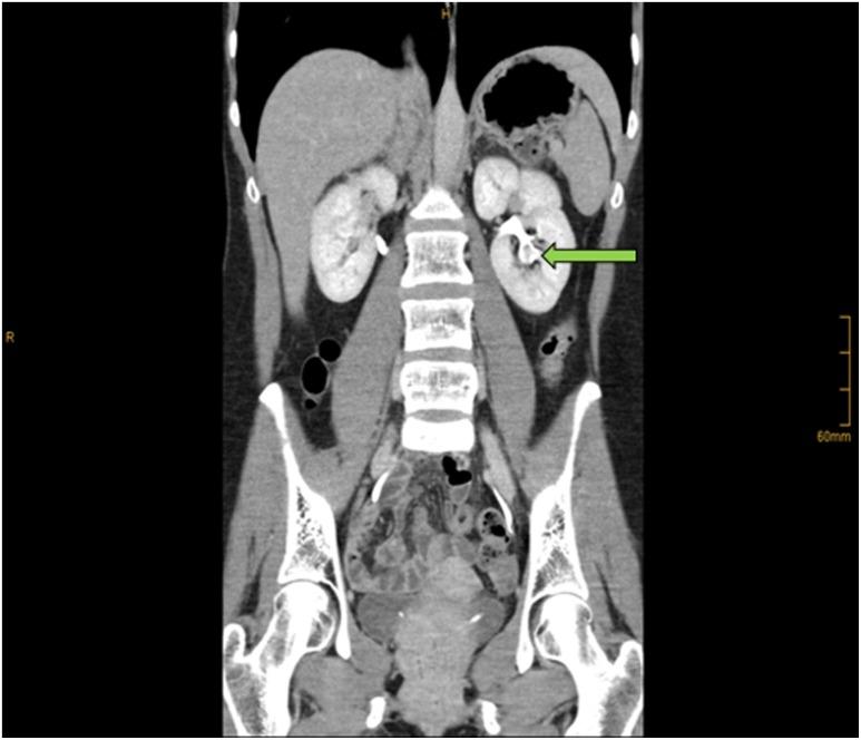
Renal Papillary Hyperplasia as a Cause of Persistent Asymptomatic Microhematuria.

作者信息

Heißler Ortwin, Seklehner Stephan, Riedl Claus

机构信息

Department of Urology, Landesklinikum Baden-Mödling, Baden, Austria.

Paracelsus Medical University, Salzburg, Austria.

出版信息

J Endourol Case Rep. 2018 Sep 20;4(1):152-154. doi: 10.1089/cren.2018.0060. eCollection 2018.

Abstract

Asymptomatic microscopic hematuria (AMH) is incidentally found during routine health screenings. In the clinical evaluation of persistent AMH imaging modalities, CT urography, MR urography, and retrograde pyelography are of diagnostic importance. In case of pathologic findings (e.g., contrast-filling defects), endoscopic evaluation is mostly performed. To our knowledge, we report the first case of a patient with persistent AMH caused by biopsy-proven renal papillary hyperplasia.

摘要

无症状性镜下血尿(AMH)是在常规健康筛查中偶然发现的。在对持续性AMH进行临床评估时,CT尿路造影、磁共振尿路造影和逆行肾盂造影等影像学检查具有诊断意义。如果发现病理结果(如造影剂充盈缺损),大多会进行内镜评估。据我们所知,我们报告了首例经活检证实为肾乳头增生导致的持续性AMH患者。

https://cdn.ncbi.nlm.nih.gov/pmc/blobs/5e19/6151332/a17b74dd66a9/fig-1.jpg

相似文献

1
Renal Papillary Hyperplasia as a Cause of Persistent Asymptomatic Microhematuria.
J Endourol Case Rep. 2018 Sep 20;4(1):152-154. doi: 10.1089/cren.2018.0060. eCollection 2018.
2
Diagnostic Imaging in the Evaluation of Asymptomatic Microhematuria: Systematic Review and Meta-analysis.
J Urol. 2023 Jun;209(6):1099-1106. doi: 10.1097/JU.0000000000003395. Epub 2023 Mar 8.
3
Diagnostic yield of repeat evaluation for asymptomatic microscopic hematuria after negative initial workup.
Urol Oncol. 2021 May;39(5):300.e1-300.e6. doi: 10.1016/j.urolonc.2020.11.032. Epub 2020 Dec 15.
4
A new diagnostic algorithm for the evaluation of microscopic hematuria.
Urology. 2001 May;57(5):889-94. doi: 10.1016/s0090-4295(00)01124-9.
5
The Investigation of Hematuria.
Dtsch Arztebl Int. 2018 Nov 30;115(48):801-807. doi: 10.3238/arztebl.2018.0801.
6
Diagnosis, evaluation and follow-up of asymptomatic microhematuria (AMH) in adults: AUA guideline.
J Urol. 2012 Dec;188(6 Suppl):2473-81. doi: 10.1016/j.juro.2012.09.078. Epub 2012 Oct 24.

引用本文的文献

1
Bilateral renal papillary hyperplasia: A rare cause of visible haematuria conservatively managed.
Urol Case Rep. 2023 Feb 21;47:102361. doi: 10.1016/j.eucr.2023.102361. eCollection 2023 Mar.
2
Renal papillary hypertrophy, a rare mimicker of upper tract urothelial carcinoma: A case report.
SAGE Open Med Case Rep. 2022 Dec 27;10:2050313X221147506. doi: 10.1177/2050313X221147506. eCollection 2022.

本文引用的文献

1
Thulium laser for the treatment of upper urinary tract carcinoma (UTUC)? Are we there, yet?
World J Urol. 2015 Apr;33(4):595-7. doi: 10.1007/s00345-015-1511-x. Epub 2015 Feb 22.
2
Diagnosis, evaluation and follow-up of asymptomatic microhematuria (AMH) in adults: AUA guideline.
J Urol. 2012 Dec;188(6 Suppl):2473-81. doi: 10.1016/j.juro.2012.09.078. Epub 2012 Oct 24.
3
[Papillary hypertrophy].
Acta Urol Belg. 1961 Oct;29:347-50.
4
Congenital hypertrophy of a renal papilla.
Br J Urol. 1969 Jun;41(3):287-9. doi: 10.1111/j.1464-410x.1969.tb11885.x.

文献AI研究员

20分钟写一篇综述,助力文献阅读效率提升50倍。

立即体验

用中文搜PubMed

大模型驱动的PubMed中文搜索引擎

马上搜索

文档翻译

学术文献翻译模型,支持多种主流文档格式。

立即体验