Suppr超能文献

骨髓内和骨髓外脂肪球作为骨髓炎的MRI标志物

Intra and extramedullary fat globules as an MRI marker for osteomyelitis.

作者信息

Godoy Ivan R B, Neto Luís Pecci, Rodrigues Tatiane Cantarelli, Skaf Abdalla

机构信息

Department of Radiology, Hospital do Coração (HCor) and Teleimagem, 53, 7th floor. CEP 04004-030, São Paulo, SP Brazil.

出版信息

Radiol Case Rep. 2018 Sep 20;13(6):1228-1232. doi: 10.1016/j.radcr.2018.08.028. eCollection 2018 Dec.

Abstract

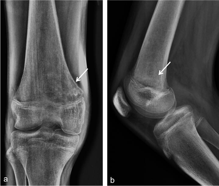
Magnetic resonance imaging (MRI) findings of acute osteomyelitis vary from non-specific bone marrow edema to more reliable signs such as bone destruction, periosteal reaction, and sequestrum. In some cases, imaging features could overlap with other conditions such as trauma and bone tumors. Intra and extramedullary fat globules are a helpful MRI marker for osteomyelitis, as shown in the following case report. We report the MRI findings of a 15-year-old young man with distal femur osteomyelitis, associated with intra and extramedullary fat globules.We present the MRI features of the case and emphasize the importance of noting additional signs of osteomyelitis to make a precise diagnosis.

摘要

急性骨髓炎的磁共振成像(MRI)表现各异,从非特异性骨髓水肿到更具诊断价值的征象,如骨质破坏、骨膜反应和死骨形成。在某些情况下,影像学特征可能与其他疾病(如创伤和骨肿瘤)重叠。骨髓内和骨髓外脂肪球是诊断骨髓炎的一项有用的MRI指标,如下例报告所示。我们报告了一名15岁男性股骨远端骨髓炎患者的MRI表现,该患者伴有骨髓内和骨髓外脂肪球。我们展示了该病例的MRI特征,并强调了注意骨髓炎其他征象以做出准确诊断的重要性。

https://cdn.ncbi.nlm.nih.gov/pmc/blobs/d8b6/6148832/a483abd48618/gr1.jpg

文献AI研究员

20分钟写一篇综述,助力文献阅读效率提升50倍。

立即体验

用中文搜PubMed

大模型驱动的PubMed中文搜索引擎

马上搜索

文档翻译

学术文献翻译模型,支持多种主流文档格式。

立即体验