Suppr超能文献

一种用于非小细胞肺癌图像引导放射治疗的新型液体基准标记物的长期安全性和可视性

Long term safety and visibility of a novel liquid fiducial marker for use in image guided radiotherapy of non-small cell lung cancer.

作者信息

de Blanck Steen Riisgaard, Rydhög Jonas Scherman, Larsen Klaus Richter, Clementsen Paul Frost, Josipovic Mirjana, Aznar Marianne Camille, Af Rosenschöld Per Munck, Jølck Rasmus Irming, Specht Lena, Andresen Thomas Lars, Persson Gitte Fredberg

机构信息

Department of Oncology, Rigshospitalet, University of Copenhagen, Blegdamsvej 9, 2100 Copenhagen, Denmark.

Niels Bohr Institute, University of Copenhagen, Blegdamsvej 17, 2100 Copenhagen, Denmark.

出版信息

Clin Transl Radiat Oncol. 2018 Aug 2;13:24-28. doi: 10.1016/j.ctro.2018.07.004. eCollection 2018 Nov.

Abstract

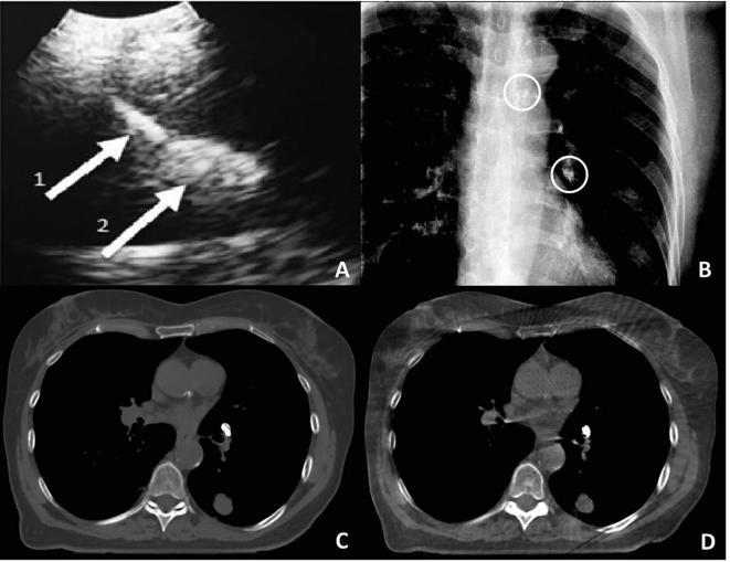
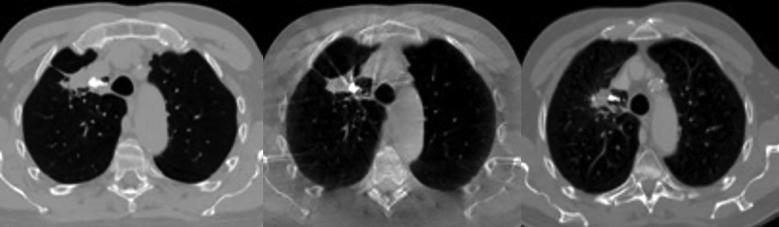
Safety and clinical feasibility of injecting a novel liquid fiducial marker for use in image guided radiotherapy in 15 patients with non-small cell lung cancer are reported. No major safety or toxicity issues were encountered. Markers present at start of radiotherapy remained visible in cone beam computed tomography and fluoroscopy images throughout the treatment course and on computed tomography images during follow-up (0-38 months). Marker volume reduction was seen until 9 months after treatment, after which no further marker breakdown was found. No post-treatment migration or marker related complications were found.

摘要

报告了15例非小细胞肺癌患者注射一种用于图像引导放射治疗的新型液体基准标记物的安全性和临床可行性。未遇到重大安全或毒性问题。放疗开始时存在的标记物在整个治疗过程中的锥束计算机断层扫描和荧光透视图像中以及随访期间(0 - 38个月)的计算机断层扫描图像中均可见。治疗后9个月前可见标记物体积减小,此后未发现标记物进一步分解。未发现治疗后迁移或与标记物相关的并发症。

https://cdn.ncbi.nlm.nih.gov/pmc/blobs/04b5/6154396/8c66ec75770f/gr1.jpg

文献AI研究员

20分钟写一篇综述,助力文献阅读效率提升50倍。

立即体验

用中文搜PubMed

大模型驱动的PubMed中文搜索引擎

马上搜索

文档翻译

学术文献翻译模型,支持多种主流文档格式。

立即体验