Suppr超能文献

死无对证?通过对瑞典巨石墓人类骨骼的组织学特征分析揭示的死后历史变化。

Dead and buried? Variation in post-mortem histories revealed through histotaphonomic characterisation of human bone from megalithic graves in Sweden.

机构信息

Museum of Archaeology, University of Stavanger, Stavanger, Norway.

Department of Historical Studies, University of Gothenburg, Gothenburg, Sweden.

出版信息

PLoS One. 2018 Oct 3;13(10):e0204662. doi: 10.1371/journal.pone.0204662. eCollection 2018.

Abstract

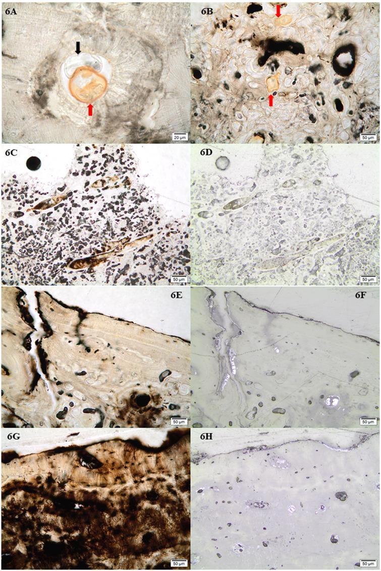
This study investigates possible variation in post-mortem histories during the Neolithic period in southwestern Sweden based on microscopic studies of human bone. Numerous megalithic graves were built in this region and good preservation conditions have left a rich skeletal record. After more than a hundred years of research, it is still a controversy whether or not these skeletal assemblages were the result of primary burials, or ossuaries where skeletonized remains were deposited. In this study we apply histological analysis to obtain insights into post-mortem histories and taphonomic processes affecting the human remains, potentially including funerary rituals. This type of analysis records the condition and traces of degradation found in skeletal material at a microscopic level. Human skeletal material from four different megalithic tombs in the Falbygden area has been sampled and analysed by thin-section light microscopy, and by scanning electron microscopy. The results of the study provide evidence of variation and changes in burial conditions for skeletal remains from the different graves, also for remains from the same grave. Extent of bioerosion varied, from extensive to moderate/arrested, to none. Bone samples from the same graves also differed in the type of staining and mineral inclusions, showing that the non-bioeroded samples relatively early post-mortem must have experienced an anoxic environment, and later a change to an aerated environment. This could be taken as an indication of primary burial somewhere else, but more likely reflect a special micro-environment occurring temporarily in some graves and parts of graves after the tombs were filled with soil and sealed by roof slabs. The study illustrates the usefulness of bone histological analysis in the reconstruction of post-mortem histories, revealing variations not discernible at macro-level that may aid in the interpretations of funerary rituals. However, the results also highlight the issues of equifinality. Based on current data and knowledge, several scenarios are possible. Further histotaphonomic work is advisable, including archaeological remains from megalithic tombs, and bones from taphonomic experiments.

摘要

本研究基于对人类骨骼的微观研究,调查了瑞典西南部新石器时代死后经历可能存在的变化。该地区建造了许多巨石墓,良好的保存条件留下了丰富的骨骼记录。经过一百多年的研究,这些骨骼组合是否是原发性埋葬的结果,还是骨骼化遗骸被存放的骨库,仍然存在争议。在这项研究中,我们应用组织学分析来深入了解影响人类遗骸的死后历史和埋藏学过程,这些过程可能包括丧葬仪式。这种分析记录了在微观层面上在骨骼材料中发现的状况和退化痕迹。Falbygden 地区四个不同巨石墓中的人类骨骼材料已被取样并通过薄切片光显微镜和扫描电子显微镜进行了分析。研究结果为不同坟墓中骨骼遗骸的埋葬条件变化提供了证据,也为同一坟墓中的遗骸提供了证据。生物侵蚀的程度不同,从广泛到中度/停止,到没有。来自同一坟墓的骨骼样本在染色和矿物质内含物的类型上也有所不同,表明非生物侵蚀的样本在相对较早的死后阶段一定经历了缺氧环境,后来又经历了充气环境的变化。这可能被视为在其他地方进行原发性埋葬的迹象,但更可能反映了在坟墓填满土壤并用屋顶石板密封后,某些坟墓和坟墓部分暂时出现的特殊微环境。该研究说明了骨骼组织学分析在重建死后历史方面的有用性,揭示了在宏观层面上无法识别的变化,这些变化可能有助于对丧葬仪式的解释。然而,结果也突出了等效性的问题。基于当前的数据和知识,有几种情况是可能的。建议进一步进行组织埋藏学研究,包括巨石墓的考古遗骸和埋藏学实验中的骨骼。

https://cdn.ncbi.nlm.nih.gov/pmc/blobs/732e/6169911/3c6f67ece515/pone.0204662.g001.jpg

文献AI研究员

20分钟写一篇综述,助力文献阅读效率提升50倍。

立即体验

用中文搜PubMed

大模型驱动的PubMed中文搜索引擎

马上搜索

文档翻译

学术文献翻译模型,支持多种主流文档格式。

立即体验