Suppr超能文献

糖原贮积病 Ib 型与严重牙周破坏:一例报告

Glycogen Storage Disease Ib and Severe Periodontal Destruction: A Case Report.

作者信息

Ma Rui, Moein Vaziri Fardad, Sabino Gregory J, Sarmast Nima D, Zove Steven M, Iacono Vincent J, Carrion Julio A

机构信息

Private Practice, 1047 Old Post Road, Fairfield, CT 06824, USA.

210-11808 Saint Albert Trail, Edmonton, AB T5L 4G4, Canada.

出版信息

Dent J (Basel). 2018 Oct 3;6(4):53. doi: 10.3390/dj6040053.

Abstract

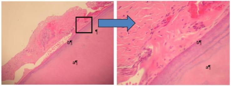
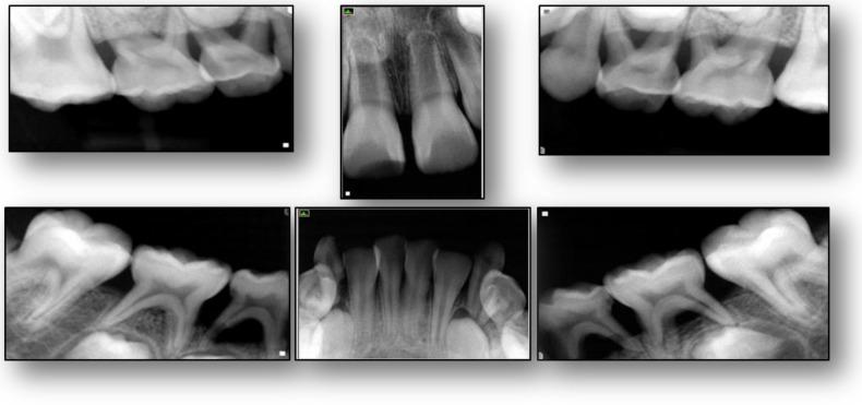
: Glycogen storage diseases (GSDs) are genetic disorders that result from defects in the processing of glycogen synthesis or breakdown within muscles, liver, and other cell types. It also manifests with impaired neutrophil chemotaxis and neutropenic episodes which results in severe destruction of the supporting dental tissues, namely the periodontium. Although GSD Type Ib cannot be cured, associated symptoms and debilitating oral manifestations of the disease can be managed through collaborative medical and dental care where early detection and intervention is of key importance. This objective of the case report was to describe a child with GSD Ib and its associated oral manifestations with microbial, immunological and histological appearances. : An eight-year-old Hispanic male with a history of GSD type Ib presented with extensive intraoral generalized inflammation of the gingiva, ulcerations and bleeding, and intraoral radiographic evidence of bone loss. was readily identifiable from the biofilm samples. Peripheral blood neutrophils were isolated and a deficient host response was observed by impaired neutrophil migration. Histological evaluation of the soft and hard tissues of the periodontally affected primary teeth showed unaffected dentin and cementum. : This case illustrates the association between GSD Ib and oral manifestations of the disease. A multi-disciplinary treatment approach was developed in order to establish healthy intraoral conditions for the patient. Review of the literature identified several cases describing GSD and its clinical and radiographic oral manifestations; however, none was identified where also microbial, immunological, and histological appearances were described.

摘要

糖原贮积病(GSDs)是一种遗传性疾病,由肌肉、肝脏和其他细胞类型内糖原合成或分解过程中的缺陷引起。它还表现为中性粒细胞趋化性受损和中性粒细胞减少发作,这会导致支持性牙齿组织即牙周组织的严重破坏。虽然Ib型糖原贮积病无法治愈,但通过协作的医疗和牙科护理可以控制该疾病的相关症状和使人衰弱的口腔表现,其中早期发现和干预至关重要。本病例报告的目的是描述一名患有Ib型糖原贮积病的儿童及其相关的口腔表现,包括微生物学、免疫学和组织学表现。:一名有Ib型糖原贮积病病史的8岁西班牙裔男性,出现广泛的口腔内牙龈广泛性炎症、溃疡和出血,以及口腔内骨质流失的影像学证据。从生物膜样本中很容易识别出来。分离外周血中性粒细胞,观察到中性粒细胞迁移受损导致宿主反应不足。对受牙周影响的乳牙的软组织和硬组织进行组织学评估,显示牙本质和牙骨质未受影响。:本病例说明了Ib型糖原贮积病与该疾病口腔表现之间的关联。为该患者制定了多学科治疗方法,以建立健康的口腔内环境。文献回顾发现了几例描述糖原贮积病及其临床和影像学口腔表现的病例;然而,未发现同时描述微生物学、免疫学和组织学表现的病例。

https://cdn.ncbi.nlm.nih.gov/pmc/blobs/d567/6313740/54a943577237/dentistry-06-00053-g001.jpg

文献检索

告别复杂PubMed语法,用中文像聊天一样搜索,搜遍4000万医学文献。AI智能推荐,让科研检索更轻松。

立即免费搜索

文件翻译

保留排版,准确专业,支持PDF/Word/PPT等文件格式,支持 12+语言互译。

免费翻译文档

深度研究

AI帮你快速写综述,25分钟生成高质量综述,智能提取关键信息,辅助科研写作。

立即免费体验