Bahrami Reza, Akbari Ehsan, Rasras Salih, Jazayeri Nematollah, Khodayar Mohammad Javad, Foruozandeh Hossein, Zeinali Masoud, Kartalaei Mozhdeh Mohmedi, Ardeshiri Mohammad, Baiatinia Farshid, Ghanavatian Mohamad
Department of Neurosurgery, Golestan Hospital, Ahvaz Jundishapur University of Medical Sciences, Ahvaz, Iran.
Department of Pathology, Golestan Hospital, Ahvaz Jundishapur University of Medical Sciences, Ahvaz, Iran.
Asian J Neurosurg. 2018 Jul-Sep;13(3):664-668. doi: 10.4103/ajns.AJNS_294_16.
Epidural fibrosis is a major contributing factor to the onset of failed back syndrome. Many studies have attempted to prevent this physiological response. Interestingly, N-acetyl-cysteine (NAC) has been effective in some cases in the treatment of pulmonary fibrosis.
The objective of this study was to determine whether local NAC is an effective way to prevent epidural fibrosis after laminectomy in rats.
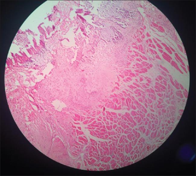
Twenty Wistar rats were used in this study. Animals were divided into two groups: NAC group and a control group. We performed two-level laminectomy (L4-L5) in these rats. Rats in the control group just had laminectomy, and in the other group, L4 and L5 laminectomy followed by local treatment with NAC. Four weeks later, the rats were killed, and the laminectomy level was subjected to histopathological examination to evaluate epidural fibrosis and fibroblast density.
Histopathological examination showed that after 4 weeks of surgery the NAC group had significantly less epidural fibrosis and fibroblasts compared with control group.
Our findings indicate that NAC decreased spinal epidural fibrosis after laminectomy in rats.
硬膜外纤维化是导致腰椎术后失败综合征的主要因素。许多研究试图预防这种生理反应。有趣的是,N-乙酰半胱氨酸(NAC)在某些情况下对治疗肺纤维化有效。
本研究旨在确定局部应用NAC是否是预防大鼠椎板切除术后硬膜外纤维化的有效方法。
本研究使用20只Wistar大鼠。动物分为两组:NAC组和对照组。对这些大鼠进行两节段椎板切除术(L4-L5)。对照组大鼠仅行椎板切除术,另一组在L4和L5椎板切除术后局部应用NAC。四周后,处死大鼠,对椎板切除节段进行组织病理学检查,以评估硬膜外纤维化和成纤维细胞密度。
组织病理学检查显示,术后4周,NAC组的硬膜外纤维化和成纤维细胞明显少于对照组。
我们的研究结果表明,NAC可减少大鼠椎板切除术后的脊髓硬膜外纤维化。