Suppr超能文献

脓胸相关性血管肉瘤转移至脑并伴有多发且逐渐增大的血肿:病例报告及文献综述

Pyothorax-associated Angiosarcoma Metastasized to the Brain with Multiple and Progressively Expanding Hematomas: Case Report and Literature Review.

作者信息

Hagiwara Shinya, Miyazaki Takeshi, Ishikawa Noriyoshi, Nakagawa Fumio, Maruyama Riruke, Akiyama Yasuhiko

机构信息

Department of Neurosurgery, Faculty of Medicine, Shimane University, Izumo, Shimane 693-8501, Japan.

Department of Pathology, Faculty of Medicine, Shimane University, Izumo, Shimane 693-8501, Japan.

出版信息

Asian J Neurosurg. 2018 Jul-Sep;13(3):803-809. doi: 10.4103/ajns.AJNS_250_16.

Abstract

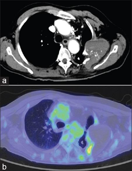
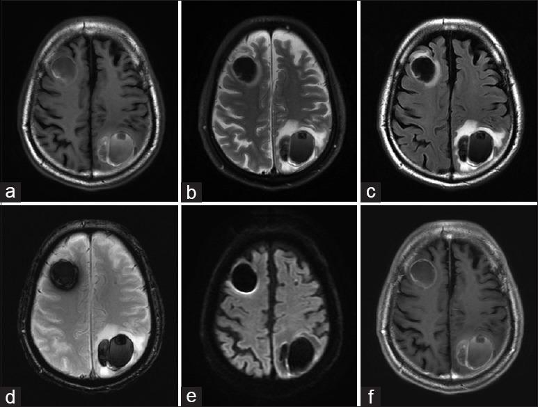
The brain metastasis of angiosarcoma is very rare, and little is known about its clinical features or therapeutic strategy. A 74-year-old male was hospitalized for disturbance of consciousness. Radiological examination revealed multiple cerebral hematomas. Gadolinium contrast-enhanced magnetic resonance imaging showed no significant enhancement at any of the lesions. To detect a suspected metastatic brain tumor or abscess, a full-body scan was performed but revealed only a poorly enhanced mass in the removal cavity caused by thoracoplasty in the left upper chest. After admission, a cascade of expansion of those hematomas occurred in the right frontal, left parietal, and right temporal lobes, and each lesion thus had to be sequentially removed by craniotomies. The pathological diagnosis of the right frontal lesion was an abscess with hematoma. However, a malignant vascular tumor was highly suspected because of many CD31(+)/Ki-67(+) cells in the left parietal lesion. A mass in the scar caused by thoracoplasty was suspected to be the primary lesion, and brain metastasis of angiosarcoma was finally diagnosed. Whole-brain irradiation and systemic paclitaxel administration were performed, and a complete response for the brain lesions was obtained for 22 months; the patient then died of an intratracheal hemorrhage. This case represents the first report of multiple brain metastases from pyothorax-associated angiosarcoma accompanied by sequentially and gradually expanding hematomas, as well as the first case with the control of metastatic brain lesions for over 1 year after the onset of neurological symptoms. Control of the lesions could be achieved by their total removal with complete hemostasis, as well as additional radio- and chemotherapy.

摘要

血管肉瘤脑转移非常罕见,其临床特征或治疗策略鲜为人知。一名74岁男性因意识障碍入院。影像学检查发现多处脑血肿。钆增强磁共振成像显示任何病变均无明显强化。为检测疑似转移性脑肿瘤或脓肿,进行了全身扫描,但仅发现左上胸部胸廓成形术切除腔内有一个强化不佳的肿块。入院后,右额叶、左顶叶和右颞叶的血肿相继扩大,因此每个病变都必须通过开颅手术依次切除。右额叶病变的病理诊断为血肿性脓肿。然而,左顶叶病变中存在许多CD31(+)/Ki-67(+)细胞,高度怀疑为恶性血管肿瘤。胸廓成形术瘢痕处的肿块被怀疑是原发灶,最终诊断为血管肉瘤脑转移。进行了全脑照射和全身紫杉醇给药,脑病变获得了22个月的完全缓解;患者随后死于气管内出血。本病例代表了第一例脓胸相关性血管肉瘤多发脑转移并伴有血肿依次逐渐扩大的报告,也是第一例神经症状出现后转移性脑病变得到控制超过1年的病例。通过彻底止血的完全切除以及额外的放疗和化疗可以实现病变的控制。

https://cdn.ncbi.nlm.nih.gov/pmc/blobs/c0e8/6159051/650947dd5630/AJNS-13-803-g001.jpg

文献检索

告别复杂PubMed语法,用中文像聊天一样搜索,搜遍4000万医学文献。AI智能推荐,让科研检索更轻松。

立即免费搜索

文件翻译

保留排版,准确专业,支持PDF/Word/PPT等文件格式,支持 12+语言互译。

免费翻译文档

深度研究

AI帮你快速写综述,25分钟生成高质量综述,智能提取关键信息,辅助科研写作。

立即免费体验