Suppr超能文献

(物种名称未给出,无法准确翻译完整)精子发生的超微结构分化

Ultrastructural differentiation of spermiogenesis in (, ).

作者信息

Ahmed Mukhtar, Aldokhi O A, Alenezy E S

机构信息

Department of Zoology, College of Science, King Saud University, P.O. Box 2455, Riyadh 11451, Saudi Arabia.

出版信息

Saudi J Biol Sci. 2017 Nov;24(7):1711-1721. doi: 10.1016/j.sjbs.2016.10.020. Epub 2016 Nov 2.

Abstract

BACKGROUND

Knowledge of spermiogenesis in reptiles, especially in lizards, is very limited. Lizards found in Arabian deserts have not been considered for detailed studies due to many reasons and the paucity of these animals. Therefore, we designed a study on the differentiation and morphogenesis of spermiogenesis, at an ultrastructural level, in a rare lizard species, .

RESULTS

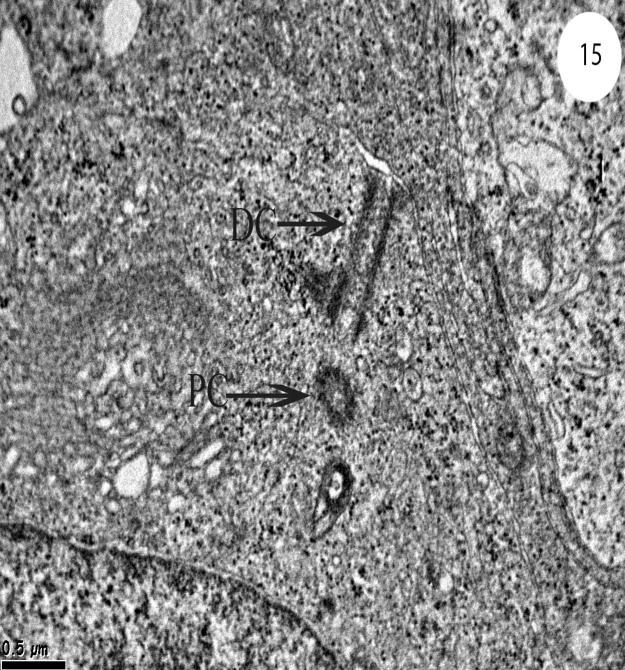
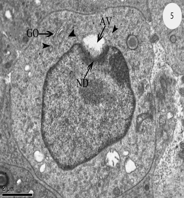
The spermiogenesis process includes the development of an acrosomal vesicle, aggregation of acrosomal granules, formation of subacrosomal nuclear space, and nuclear elongation. A role for manchette microtubules was described in nuclear shaping and organelle movement. During head differentiation, the fine granular chromatin of the early spermatid is gradually replaced by highly condensed contents in a process called chromatin condensation. Furthermore, ultrastructural features of sperm tail differentiation in were described in detail. The commencement was with caudal migration toward centrioles, insertion of the proximal centriole in the nuclear fossa, and extension of the distal centrioles to form the microtubular axoneme. Subsequently, tail differentiation consists of the enlargement of neck portion, middle piece, the main and end pieces.

CONCLUSIONS

This study aids in the understanding of different aspects of spermiogenesis in the lizard family and unfurls evolutionary links within and outside reptiles.

摘要

背景

关于爬行动物,尤其是蜥蜴精子发生的知识非常有限。由于多种原因以及这些动物数量稀少,阿拉伯沙漠中发现的蜥蜴尚未被纳入详细研究。因此,我们针对一种珍稀蜥蜴物种精子发生的分化和形态发生进行了超微结构水平的研究。

结果

精子发生过程包括顶体泡的发育、顶体颗粒的聚集、顶体下核空间的形成以及核伸长。描述了袖套微管在核塑形和细胞器移动中的作用。在头部分化过程中,早期精子细胞的细颗粒染色质在一个称为染色质凝聚的过程中逐渐被高度浓缩的物质所取代。此外,还详细描述了该蜥蜴精子尾部分化的超微结构特征。起始阶段是尾部向中心粒迁移,近端中心粒插入核窝,远端中心粒延伸形成微管轴丝。随后,尾部分化包括颈部、中段、主段和末段的增大。

结论

本研究有助于理解蜥蜴科精子发生的不同方面,并揭示爬行动物内部和外部的进化联系。

https://cdn.ncbi.nlm.nih.gov/pmc/blobs/e09f/6169513/22707eda2ddc/gr1.jpg

文献检索

告别复杂PubMed语法,用中文像聊天一样搜索,搜遍4000万医学文献。AI智能推荐,让科研检索更轻松。

立即免费搜索

文件翻译

保留排版,准确专业,支持PDF/Word/PPT等文件格式,支持 12+语言互译。

免费翻译文档

深度研究

AI帮你快速写综述,25分钟生成高质量综述,智能提取关键信息,辅助科研写作。

立即免费体验