Suppr超能文献

用于治疗累及中枢神经系统的 Erdheim-Chester 病及伴发真性红细胞增多症的克拉屈滨治疗:一例报告

Cladribine treatment for Erdheim-Chester disease involving the central nervous system and concomitant polycythemia vera: A case report.

作者信息

Tamura Suguru, Kawamoto Keisuke, Miyoshi Hiroaki, Suzuki Takaharu, Katagiri Takayuki, Kasami Takuya, Nemoto Hiroki, Miyakoshi Shukuko, Kobayashi Hironori, Shibasaki Yasuhiko, Masuko Masayoshi, Takeuchi Kengo, Ohshima Koichi, Sone Hirohito, Takizawa Jun

出版信息

J Clin Exp Hematop. 2018 Dec 13;58(4):161-165. doi: 10.3960/jslrt.18015. Epub 2018 Oct 10.

Abstract

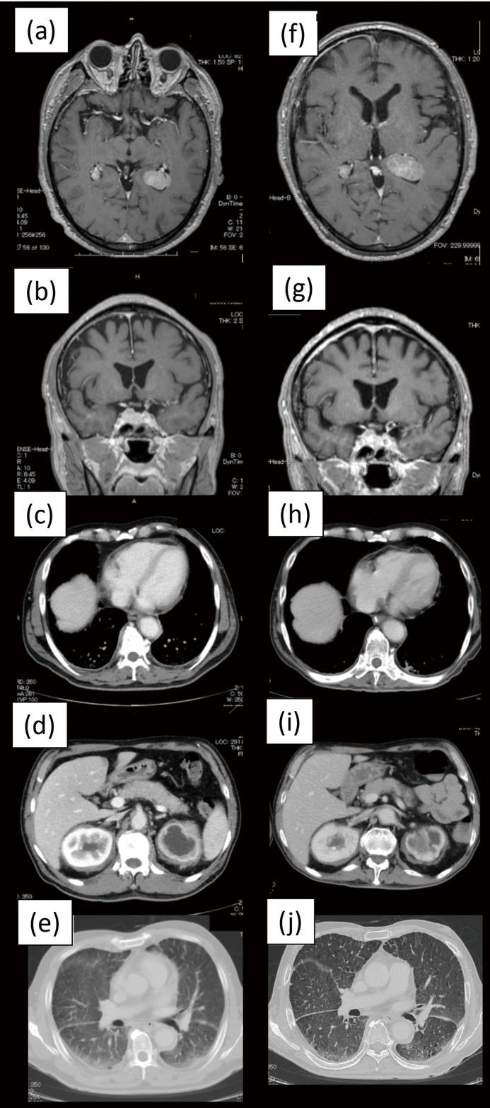
Erdheim-Chester disease (ECD), a rare form of non-Langerhans cell histiocytosis, is characterized by the infiltration of foamy CD68 and CD1a histiocytes into multiple organ systems. Central nervous system (CNS) involvement has recently been reported to be a poor prognostic factor when treating ECD with interferon alpha. We report the case of a 66-year-old Japanese patient with ECD involving the CNS who harbored the BRAF V600E mutation and also concomitantly developed polycythemia vera with the JAK2 V617F mutation. We confirmed 2-chlorodeoxyadenosine (cladribine) therapy to be effective for the patient in this case.

摘要

厄德里希-切斯特病(ECD)是一种罕见的非朗格汉斯细胞组织细胞增多症,其特征是泡沫状CD68和CD1a组织细胞浸润多个器官系统。最近有报道称,在使用干扰素α治疗ECD时,中枢神经系统(CNS)受累是一个不良预后因素。我们报告了一例66岁的日本ECD患者,其CNS受累,携带BRAF V600E突变,同时还并发了伴有JAK2 V617F突变的真性红细胞增多症。我们证实,在该病例中,2-氯脱氧腺苷(克拉屈滨)治疗对该患者有效。

https://cdn.ncbi.nlm.nih.gov/pmc/blobs/7424/6407475/ba3eebc81882/jslrt-58-161-g001.jpg

文献AI研究员

20分钟写一篇综述,助力文献阅读效率提升50倍。

立即体验

用中文搜PubMed

大模型驱动的PubMed中文搜索引擎

马上搜索

文档翻译

学术文献翻译模型,支持多种主流文档格式。

立即体验