Suppr超能文献

远隔性小脑出血:脊柱手术潜在的医源性并发症

Remote Cerebellar Haemorrhage: A Potential Iatrogenic Complication of Spinal Surgery.

作者信息

Naveed Muhammad Atif, Mangla Rajiv, Idrees Hajra, Mehta Rashi I

机构信息

Department of Radiology, Shaukat Khanum Memorial Cancer Hospital, Lahore, Pakistan.

Department of Radiology, SUNY Upstate Medical University, Syracuse, NY, USA.

出版信息

Case Rep Neurol Med. 2018 Sep 16;2018:5870584. doi: 10.1155/2018/5870584. eCollection 2018.

Abstract

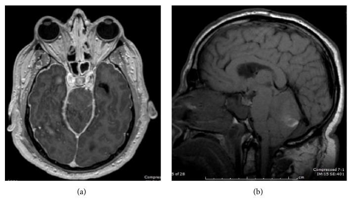
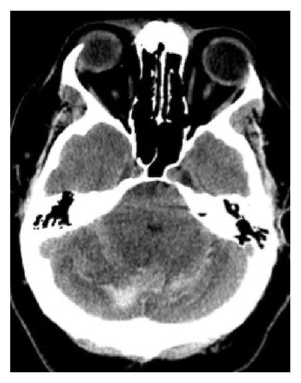
We report the case of a 51-year-old man with no significant past medical history, who underwent elective revision spinal surgery and subsequently developed intracranial hypotension, remote cerebellar haemorrhage (RCH), and mild hydrocephalus on the fourth postoperative day. Remote cerebellar haemorrhage is a known complication of supratentorial surgery. This iatrogenic phenomenon may also occur following spinal surgery, due to dural tearing and rapid cerebral spinal fluid (CSF) leakage, resulting in intracranial hypotension and cerebellar haemorrhage. This complication may result in severe permanent neurologic sequelae; hence, it is of pertinence to diagnose and manage it rapidly in order to optimise patient outcome.

摘要

我们报告了一例51岁男性病例,该患者既往无重大病史,接受了择期脊柱翻修手术,术后第四天出现颅内低压、远隔性小脑出血(RCH)和轻度脑积水。远隔性小脑出血是幕上手术的一种已知并发症。这种医源性现象也可能在脊柱手术后发生,原因是硬脑膜撕裂和脑脊液(CSF)快速漏出,导致颅内低压和小脑出血。这种并发症可能导致严重的永久性神经后遗症;因此,快速诊断和处理该并发症对于优化患者预后至关重要。

https://cdn.ncbi.nlm.nih.gov/pmc/blobs/968d/6165595/1a3d67f7994b/CRINM2018-5870584.001.jpg

文献AI研究员

20分钟写一篇综述,助力文献阅读效率提升50倍。

立即体验

用中文搜PubMed

大模型驱动的PubMed中文搜索引擎

马上搜索

文档翻译

学术文献翻译模型,支持多种主流文档格式。

立即体验