Suppr超能文献

抗血管生成和免疫肿瘤药物在转移性肾细胞癌(mRCC)中的影像学反应:现状与未来挑战

Imaging Response of Antiangiogenic and Immune-Oncology Drugs in Metastatic Renal Cell Carcinoma (mRCC): Current Status and Future Challenges.

作者信息

Fournier Laure, Bellucci Alexandre, Vano Yann, Bouaboula Mehdi, Thibault Constance, Elaidi Reza, Oudard Stephane, Cuenod Charles

机构信息

Université Paris Descartes Sorbonne Paris Cité, Assistance Publique-Hôpitaux de Paris, Hôpital Européen Georges Pompidou, Radiology Department, Paris, France.

Université Paris Descartes Sorbonne Paris Cité, INSERM UMRS970, Paris, France.

出版信息

Kidney Cancer. 2017 Nov 27;1(2):107-114. doi: 10.3233/KCA-170011.

Abstract

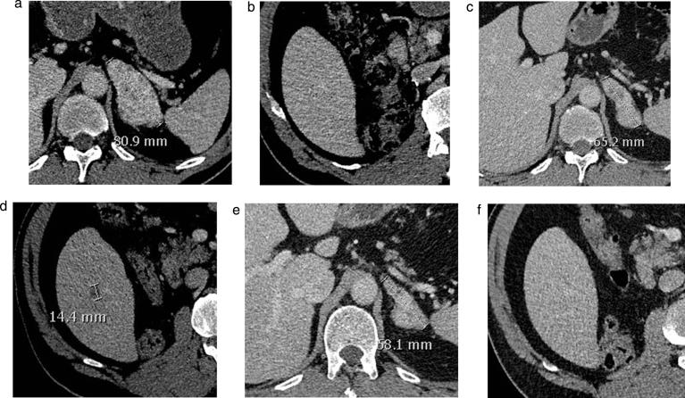
This report aims to review criteria which have been proposed for treatment evaluation in mRCC under anti-angiogenic and immune-oncologic therapies and discuss future challenges for imagers. RECIST criteria seem to only partially reflect the clinical benefit derived from anti-angiogenic drugs in mRCC. New methods of analysis propose to better evaluate response to these drugs, including a new threshold for size criteria (-10%), attenuation (Choi and modified Choi criteria), functional imaging techniques (perfusion CT, ultrasound or MRI), and new PET radiotracers. Imaging of progression is one of the main future challenges facing imagers. It is progression and not response that will trigger changes in therapy, therefore it is tumour progression that should be identified by imaging techniques to guide the oncologist on the most appropriate time to change therapy. Yet little is known on dynamics of tumour progression, and much data still needs to be accrued to understand it. Finally, as immunotherapies develop, flare or pseudo-progression phenomena are observed. Studies need to be performed to determine whether imaging can distinguish between patients undergoing pseudo-progression for which therapy should be continued, or true progression for which the treatment must be changed.

摘要

本报告旨在回顾已提出的用于评估转移性肾细胞癌(mRCC)在抗血管生成和免疫肿瘤治疗下疗效的标准,并讨论影像科医生未来面临的挑战。实体瘤疗效评价标准(RECIST)似乎仅部分反映了抗血管生成药物在mRCC中带来的临床获益。新的分析方法旨在更好地评估对这些药物的反应,包括大小标准的新阈值(-10%)、衰减(Choi标准和改良Choi标准)、功能成像技术(灌注CT、超声或MRI)以及新的正电子发射断层显像(PET)放射性示踪剂。疾病进展的影像学评估是影像科医生未来面临的主要挑战之一。是疾病进展而非反应会引发治疗的改变,因此应由成像技术识别肿瘤进展,以指导肿瘤学家在最合适的时间改变治疗方案。然而,目前对肿瘤进展的动态变化知之甚少,仍需积累大量数据来了解这一情况。最后,随着免疫疗法的发展,出现了炎症或假性进展现象。需要开展研究以确定影像检查能否区分应继续治疗的假性进展患者和必须改变治疗方案的真性进展患者。

https://cdn.ncbi.nlm.nih.gov/pmc/blobs/1cd7/6179123/7709a6cf2eb6/kca-1-kca170011-g001.jpg

文献检索

告别复杂PubMed语法,用中文像聊天一样搜索,搜遍4000万医学文献。AI智能推荐,让科研检索更轻松。

立即免费搜索

文件翻译

保留排版,准确专业,支持PDF/Word/PPT等文件格式,支持 12+语言互译。

免费翻译文档

深度研究

AI帮你快速写综述,25分钟生成高质量综述,智能提取关键信息,辅助科研写作。

立即免费体验