• 文献检索
  • 文档翻译
  • 深度研究
  • 学术资讯
  • Suppr Zotero 插件Zotero 插件
  • 邀请有礼
  • 套餐&价格
  • 历史记录
应用&插件
Suppr Zotero 插件Zotero 插件浏览器插件Mac 客户端Windows 客户端微信小程序
定价
高级版会员购买积分包购买API积分包
服务
文献检索文档翻译深度研究API 文档MCP 服务
关于我们
关于 Suppr公司介绍联系我们用户协议隐私条款
关注我们

Suppr 超能文献

核心技术专利:CN118964589B侵权必究
粤ICP备2023148730 号-1Suppr @ 2026

文献检索

告别复杂PubMed语法,用中文像聊天一样搜索,搜遍4000万医学文献。AI智能推荐,让科研检索更轻松。

立即免费搜索

文件翻译

保留排版,准确专业,支持PDF/Word/PPT等文件格式,支持 12+语言互译。

免费翻译文档

深度研究

AI帮你快速写综述,25分钟生成高质量综述,智能提取关键信息,辅助科研写作。

立即免费体验

钙化沉积物针刺联合体外冲击波疗法(ESWT):一种针对冈上肌钙化性肌腱炎的拟议治疗方法。

Calcific deposit needling in combination with extracorporeal shock wave therapy (ESWT): A proposed treatment for supraspinatus calcified tendinopathy.

作者信息

Pakos Emilios, Gkiatas Ioannis, Rakkas Georgios, Papadopoulos Dimitrios, Gelalis Ioannis, Vekris Marios, Korompilias Anastasios

机构信息

Orthopaedic Department, University Hospital of Ioannina, Ioannina, Greece.

Physiotherapy Department, Salamagka 4, Ioannina, Greece.

出版信息

SICOT J. 2018;4:45. doi: 10.1051/sicotj/2018043. Epub 2018 Oct 19.

DOI:10.1051/sicotj/2018043
PMID:30339523
原文链接:https://pmc.ncbi.nlm.nih.gov/articles/PMC6195344/
Abstract

BACKGROUND

Calcified tendinopathy of the rotator cuff is one of the most common conditions concerning the shoulder pathology. It is characterized by a reactive calcification that affects the tendons being part of the rotator cuff. The reported prevalence varies from 2.7% to 22%. Most of the patients can be treated effectively with non-operative measures such as anti-inflammatory drugs, subacromial injection of steroid, physiotherapy, extracorporeal shock wave therapy (ESWT) and needle aspiration irrigation. Results of a treatment combining some of these methods have not been reported.

OBJECTIVES

The purpose of this study is to present the radiological as well as the clinical results of our proposed protocol which combines drilling of the calcium deposits with xylocaine under ultrasound guidance, with a specific program of physiotherapy for 1 month without the use of NSAIDs.

METHODS

Sixty-six consecutive patients (68 shoulders) were treated for calcified tendinitis of supraspinatus, which was diagnosed clinically and radiologically, with needle drilling using xylocaine under ultrasound guidance. After the drilling the patient followed a physiotherapy protocol with ESWT which included five visits within a month. After the end of the physiotherapy, the patients were evaluated clinically and radiologically. The Visual Analogue Scale (VAS) for pain and the Disabilities of the Arm, Shoulder, and Hand (DASH) score were measured before and after the end of the therapy.

RESULTS

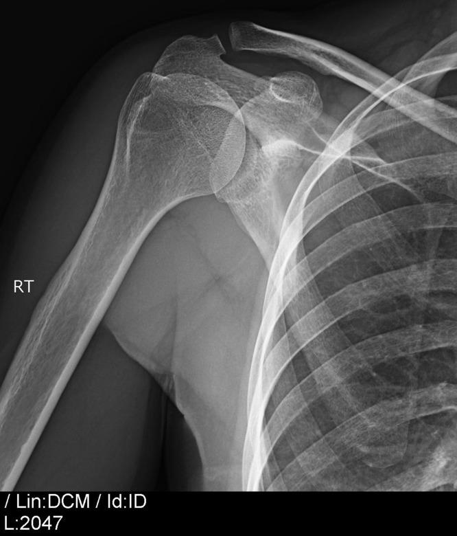
All the patients showed clinical improvement of the symptoms at the follow-up. The mean VAS score showed improvement from 8.1 to 3.3 whereas the mean DASH score was 27 and after the end of the therapy 5. Radiologically all but one calcific deposits were disappeared.

CONCLUSIONS

The ultrasound-guided drilling of the calcific deposit using xylocaine, in combination with physiotherapy using ESWT provides a reliable alternative treatment for the calcific tendinitis of the supraspinatus.

摘要

背景

肩袖钙化性肌腱病是肩部病理学中最常见的病症之一。其特征是影响肩袖肌腱的反应性钙化。报道的患病率从2.7%到22%不等。大多数患者可通过非手术措施有效治疗,如抗炎药、肩峰下注射类固醇、物理治疗、体外冲击波疗法(ESWT)和针吸冲洗。尚未报道联合使用其中一些方法的治疗结果。

目的

本研究的目的是展示我们提出的方案的影像学及临床结果,该方案结合了在超声引导下用利多卡因钻孔清除钙沉积物,并进行为期1个月不使用非甾体抗炎药的特定物理治疗方案。

方法

连续66例患者(68个肩部)接受了超声引导下用利多卡因针钻治疗临床和影像学诊断的冈上肌钙化性肌腱炎。钻孔后,患者遵循包括ESWT的物理治疗方案,在一个月内进行五次就诊。物理治疗结束后,对患者进行临床和影像学评估。在治疗结束前后测量疼痛视觉模拟量表(VAS)和手臂、肩部和手部功能障碍(DASH)评分。

结果

所有患者在随访时症状均有临床改善。VAS评分均值从8.1改善至3.3,而DASH评分均值治疗前为27,治疗结束后为5。影像学上,除一处外所有钙沉积物均消失。

结论

超声引导下用利多卡因钻孔清除钙沉积物,联合ESWT物理治疗为冈上肌钙化性肌腱炎提供了一种可靠的替代治疗方法。

https://cdn.ncbi.nlm.nih.gov/pmc/blobs/241e/6195344/f501c7561e7f/sicotj-4-45-fig4.jpg
https://cdn.ncbi.nlm.nih.gov/pmc/blobs/241e/6195344/2504db802b4c/sicotj-4-45-fig1.jpg
https://cdn.ncbi.nlm.nih.gov/pmc/blobs/241e/6195344/915f6079e575/sicotj-4-45-fig2.jpg
https://cdn.ncbi.nlm.nih.gov/pmc/blobs/241e/6195344/05cbe1d0895e/sicotj-4-45-fig3.jpg
https://cdn.ncbi.nlm.nih.gov/pmc/blobs/241e/6195344/f501c7561e7f/sicotj-4-45-fig4.jpg
https://cdn.ncbi.nlm.nih.gov/pmc/blobs/241e/6195344/2504db802b4c/sicotj-4-45-fig1.jpg
https://cdn.ncbi.nlm.nih.gov/pmc/blobs/241e/6195344/915f6079e575/sicotj-4-45-fig2.jpg
https://cdn.ncbi.nlm.nih.gov/pmc/blobs/241e/6195344/05cbe1d0895e/sicotj-4-45-fig3.jpg
https://cdn.ncbi.nlm.nih.gov/pmc/blobs/241e/6195344/f501c7561e7f/sicotj-4-45-fig4.jpg

相似文献

1
Calcific deposit needling in combination with extracorporeal shock wave therapy (ESWT): A proposed treatment for supraspinatus calcified tendinopathy.钙化沉积物针刺联合体外冲击波疗法(ESWT):一种针对冈上肌钙化性肌腱炎的拟议治疗方法。
SICOT J. 2018;4:45. doi: 10.1051/sicotj/2018043. Epub 2018 Oct 19.
2
Comparing Ultrasound-Guided Needling Combined With a Subacromial Corticosteroid Injection Versus High-Energy Extracorporeal Shockwave Therapy for Calcific Tendinitis of the Rotator Cuff: A Randomized Controlled Trial.超声引导下针刺联合肩峰下皮质类固醇注射与高能体外冲击波治疗肩袖钙化性肌腱炎的随机对照研究。
Arthroscopy. 2020 Jul;36(7):1823-1833.e1. doi: 10.1016/j.arthro.2020.02.027. Epub 2020 Feb 28.
3
Needling and Lavage in Rotator Cuff Calcific Tendinitis: Ultrasound-Guided Technique.肩袖钙化性肌腱炎的针刺与灌洗:超声引导技术
JBJS Essent Surg Tech. 2024 Jan 5;14(1). doi: 10.2106/JBJS.ST.23.00029. eCollection 2024 Jan-Mar.
4
Which method is more effective in treatment of calcific tendinitis in the shoulder? Prospective randomized comparison between ultrasound-guided needling and extracorporeal shock wave therapy.哪一种方法在治疗肩部钙化性肌腱炎方面更有效?超声引导下针刺与体外冲击波治疗的前瞻性随机比较。
J Shoulder Elbow Surg. 2014 Nov;23(11):1640-6. doi: 10.1016/j.jse.2014.06.036. Epub 2014 Sep 12.
5
Effectiveness of Extracorporeal Shock Wave Therapy and kinesio taping in calcific tendinopathy of the shoulder: a randomized controlled trial.体外冲击波疗法和肌内效贴布贴扎治疗肩袖钙化性肌腱炎的疗效:一项随机对照试验。
Eur J Phys Rehabil Med. 2018 Jun;54(3):333-340. doi: 10.23736/S1973-9087.17.04749-9. Epub 2017 Nov 29.
6
Extracorporeal shock wave therapy, ultrasound-guided percutaneous lavage, corticosteroid injection and combined treatment for the treatment of rotator cuff calcific tendinopathy: a network meta-analysis of RCTs.体外冲击波疗法、超声引导下经皮灌洗、皮质类固醇注射及联合治疗用于治疗肩袖钙化性肌腱炎:随机对照试验的网状Meta分析
Eur J Orthop Surg Traumatol. 2017 Apr;27(3):381-390. doi: 10.1007/s00590-016-1839-y. Epub 2016 Aug 23.
7
Effect of extracorporeal shock wave therapy and ultrasound-guided percutaneous lavage in reducing the pain of rotator cuff calcific tendinopathy; an updated systematic review and meta-analysis.体外冲击波疗法和超声引导下经皮灌洗对减轻肩袖钙化性肌腱炎疼痛的效果:一项更新的系统评价和荟萃分析。
J Orthop. 2024 May 27;56:151-160. doi: 10.1016/j.jor.2024.05.023. eCollection 2024 Oct.
8
Extracorporeal shock wave therapy for chronic calcific tendinitis of the shoulders: a functional and sonographic study.体外冲击波治疗肩部慢性钙化性肌腱炎:一项功能及超声研究
Arch Phys Med Rehabil. 2003 Jul;84(7):988-93. doi: 10.1016/s0003-9993(03)00010-8.
9
Radial extracorporeal shock wave therapy in the treatment of shoulder calcific tendinitis.桡侧体外冲击波疗法治疗肩部钙化性肌腱炎
Coll Antropol. 2011 Sep;35 Suppl 2:221-5.
10
US-guided percutaneous irrigation of calcific tendinopathy of the rotator cuff in patients with or without previous external shockwave therapy.超声引导下经皮冲洗治疗合并或不合并既往体外冲击波治疗的肩袖钙化性肌腱炎。
Radiol Med. 2021 Jan;126(1):117-123. doi: 10.1007/s11547-020-01229-4. Epub 2020 May 25.

引用本文的文献

1
Therapeutic options in rotator cuff calcific tendinopathy.肩袖钙化性肌腱病的治疗选择
SICOT J. 2025;11:9. doi: 10.1051/sicotj/2025003. Epub 2025 Feb 20.
2
Ultrasound-Guided Needling Combined With High- or Low-Energy Extracorporeal Shock Wave Therapy Versus Needling Alone for Calcified Rotator Cuff: A Retrospective Study.超声引导下针刺联合高能量或低能量体外冲击波治疗与单纯针刺治疗钙化性肩袖损伤的回顾性研究
Orthop J Sports Med. 2024 Nov 4;12(11):23259671241275078. doi: 10.1177/23259671241275078. eCollection 2024 Nov.
3
Regenerative Medicine in Orthopedic Surgery: Expanding Our Toolbox.

本文引用的文献

1
Rotator Cuff Calcific Tendinitis: Ultrasound-Guided Needling and Lavage Versus Subacromial Corticosteroids: Five-Year Outcomes of a Randomized Controlled Trial.肩袖钙化性肌腱炎:超声引导下的针和灌洗与肩峰下皮质类固醇注射的比较:一项随机对照试验的 5 年结果。
Am J Sports Med. 2017 Dec;45(14):3305-3314. doi: 10.1177/0363546517721686. Epub 2017 Sep 12.
2
Arthroscopic Removal and Tendon Repair for Refractory Rotator Cuff Calcific Tendinitis of the Shoulder.关节镜下切除及肌腱修复治疗难治性肩部肩袖钙化性肌腱炎
J Nippon Med Sch. 2017;84(1):19-24. doi: 10.1272/jnms.84.19.
3
Radiological and clinical predictors of long-term outcome in rotator cuff calcific tendinitis.
骨科手术中的再生医学:拓展我们的工具库。
Cureus. 2024 Sep 2;16(9):e68487. doi: 10.7759/cureus.68487. eCollection 2024 Sep.
4
The effect of subacromial decompression on the curative effect of arthroscopic treatment of shoulder calcific tendinitis.肩峰下减压对肩关节钙化性肌腱炎关节镜治疗疗效的影响。
Front Surg. 2023 Jan 6;9:1043794. doi: 10.3389/fsurg.2022.1043794. eCollection 2022.
5
Extracorporeal shock wave therapy mechanisms in musculoskeletal regenerative medicine.体外冲击波疗法在肌肉骨骼再生医学中的作用机制
J Clin Orthop Trauma. 2020 May;11(Suppl 3):S309-S318. doi: 10.1016/j.jcot.2020.02.004. Epub 2020 Feb 12.
肩袖钙化性肌腱炎长期预后的影像学和临床预测因素
Eur Radiol. 2016 Oct;26(10):3401-11. doi: 10.1007/s00330-016-4224-7. Epub 2016 Mar 5.
4
Calcific tendinitis of the rotator cuff.肩袖钙化性肌腱炎
World J Orthop. 2016 Jan 18;7(1):55-60. doi: 10.5312/wjo.v7.i1.55.
5
Arthroscopic Removal and Rotator Cuff Repair Without Acromioplasty for the Treatment of Symptomatic Calcifying Tendinitis of the Supraspinatus Tendon.关节镜下切除合并冈上肌腱钙化性肌腱炎的肩峰成形术治疗有症状的肩袖钙化性肌腱炎
Orthop J Sports Med. 2015 Apr 7;3(4):2325967115577957. doi: 10.1177/2325967115577957. eCollection 2015 Apr.
6
Evaluation and nonsurgical management of rotator cuff calcific tendinopathy.肩袖钙化性肌腱病的评估与非手术治疗
Orthop Clin North Am. 2015 Apr;46(2):293-302. doi: 10.1016/j.ocl.2014.11.011. Epub 2015 Jan 27.
7
Treatment of the calcific tendinopathy of the rotator cuff by ultrasound-guided percutaneous needle lavage. Two years prospective study.超声引导下经皮穿刺针冲洗治疗肩袖钙化性肌腱炎。两年前瞻性研究。
Muscles Ligaments Tendons J. 2014 Jul 14;4(2):220-5. eCollection 2014 Apr.
8
Rotator cuff preservation in arthroscopic treatment of calcific tendinitis.关节镜治疗钙化性肌腱炎时保留肩袖。
Arthroscopy. 2013 May;29(5):824-31. doi: 10.1016/j.arthro.2013.01.031. Epub 2013 Apr 6.
9
Extracorporeal shock-wave therapy for supraspinatus calcifying tendinitis: a randomized clinical trial comparing two different energy levels.体外冲击波治疗冈上肌腱钙化性肌腱炎:两种不同能量水平的随机临床试验比较。
Phys Ther. 2012 Nov;92(11):1376-85. doi: 10.2522/ptj.20110252. Epub 2012 Jun 28.
10
Short-term outcomes of extracorporeal shock wave therapy for the treatment of chronic non-calcific tendinopathy of the supraspinatus: a double-blind, randomized, placebo-controlled trial.体外冲击波治疗肩袖慢性非钙化性肌腱病的短期疗效:一项双盲、随机、安慰剂对照试验。
BMC Musculoskelet Disord. 2012 Jun 6;13:86. doi: 10.1186/1471-2474-13-86.