Stowers Institute for Medical Research, Kansas City, MO.
Department of Molecular and Integrative Physiology, University of Kansas Medical Center, Kansas City, KS.
Mol Biol Evol. 2019 Jan 1;36(1):69-83. doi: 10.1093/molbev/msy197.
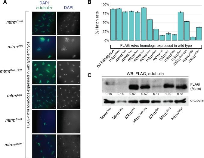
Meiosis is a defining characteristic of eukaryotes, believed to have evolved only once, over one billion years ago. While the general progression of meiotic events is conserved across multiple diverse organisms, the specific pathways and proteins involved can be highly divergent, even within species from the same genus. Here we investigate the rapid evolution of Matrimony (Mtrm), a female meiosis-specific regulator of Polo kinase (Polo) in Drosophila. Mtrm physically interacts with Polo and is required to restrict the activity of Polo during meiosis. Despite Mtrm's critical role in meiosis, sequence conservation within the genus Drosophila is poor. To explore the functional significance of this rapid divergence, we expressed Mtrm proteins from 12 different Drosophila species in the Drosophila melanogaster female germline. Distantly related Mtrm homologs are able to both physically interact with D. melanogaster Polo and rescue the meiotic defects seen in mtrm mutants. However, these distant homologs are not properly degraded after the completion of meiosis. Rather, they continue to inhibit Polo function in the early embryo, resulting in dominant maternal-effect lethality. We show that the ability of Mtrm to be properly degraded, and thus release Polo, is partially due to residues or motifs found within Mtrm's least-conserved regions. We hypothesize that, while Mtrm regions critical for its meiotic function are under strong purifying selection, changes that occurred in its unconserved regions may have been advantageous, potentially by affecting the timing or duration of meiosis and/or the early embryonic divisions.
减数分裂是真核生物的一个特征,据信它只在 10 多亿年前进化了一次。尽管减数分裂事件的一般进程在多个不同的生物体中是保守的,但所涉及的具体途径和蛋白质可能高度不同,即使是来自同一属的物种也是如此。在这里,我们研究了 Matrimony(Mtrm)的快速进化,Mtrm 是果蝇中 Polo 激酶(Polo)的减数分裂特异性调节剂。Mtrm 与 Polo 物理相互作用,并且在减数分裂期间需要限制 Polo 的活性。尽管 Mtrm 在减数分裂中起着至关重要的作用,但在果蝇属内的序列保守性很差。为了探讨这种快速分歧的功能意义,我们在果蝇的雌性生殖系中表达了来自 12 种不同果蝇物种的 Mtrm 蛋白。远缘的 Mtrm 同源物既能与 D. melanogaster Polo 物理相互作用,又能挽救 mtrm 突变体中观察到的减数分裂缺陷。然而,这些远缘同源物在减数分裂完成后不能被正确降解。相反,它们继续抑制早期胚胎中的 Polo 功能,导致显性母性致死。我们表明,Mtrm 被正确降解从而释放 Polo 的能力部分归因于 Mtrm 最不保守区域内的残基或基序。我们假设,虽然 Mtrm 对其减数分裂功能至关重要的区域受到强烈的纯化选择,但发生在其非保守区域的变化可能是有利的,可能通过影响减数分裂和/或早期胚胎分裂的时间或持续时间。