Suppr超能文献

白细胞介素-6、白细胞介素-17 和 Stat3 是小鼠自身炎症综合征发展所必需的。

IL-6, IL-17 and Stat3 are required for auto-inflammatory syndrome development in mouse.

机构信息

Department of Orthopedic Surgery, Keio University School of Medicine, 35 Shinano-machi, Shinjuku-ku, Tokyo, 160-8582, Japan.

Department of Advanced Therapy for Musculoskeletal Disorders, Keio University School of Medicine, 35 Shinano-machi, Shinjuku-ku, Tokyo, 160-8582, Japan.

出版信息

Sci Rep. 2018 Oct 25;8(1):15783. doi: 10.1038/s41598-018-34173-5.

Abstract

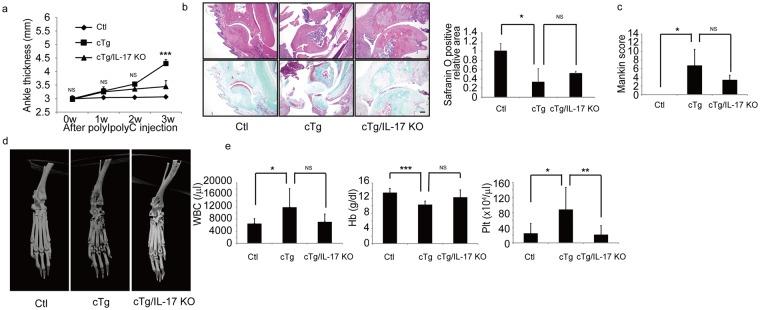
Auto-inflammatory syndrome, a condition clinically distinct from rheumatoid arthritis, is characterized by systemic inflammation in tissues such as major joints, skin, and internal organs. Autonomous innate-immune activation is thought to promote this inflammation, but underlying pathological mechanisms have not been clarified nor are treatment strategies established. Here, we newly established a mouse model in which IL-1 signaling is conditionally activated in adult mice (hIL-1 cTg) and observed phenotypes similar to those seen in auto-inflammatory syndrome patients. In serum of hIL-1 cTg mice, IL-6 and IL-17 levels significantly increased, and signal transducer and activator of transcription 3 (Stat3) was activated in joints. When we crossed hIL-1 cTg with either IL-6- or IL-17-deficient mice or with Stat3 conditional knockout mice, phenotypes seen in hIL-1 cTg mice were significantly ameliorated. Thus, IL-6, IL-17 and Stat3 all represent potential therapeutic targets for this syndrome.

摘要

自身炎症综合征与类风湿关节炎在临床上有明显区别,其特征是主要关节、皮肤和内脏等组织的全身炎症。自主先天免疫激活被认为会促进这种炎症,但尚未阐明潜在的病理机制,也没有确立治疗策略。在这里,我们新建立了一种条件性激活成年小鼠中白细胞介素-1 信号的小鼠模型(hIL-1 cTg),并观察到与自身炎症综合征患者相似的表型。在 hIL-1 cTg 小鼠的血清中,白细胞介素-6 和白细胞介素-17 水平显著增加,关节中信号转导和转录激活因子 3(Stat3)被激活。当我们将 hIL-1 cTg 与白细胞介素-6 或白细胞介素-17 缺陷小鼠或 Stat3 条件性敲除小鼠杂交时,hIL-1 cTg 小鼠的表型明显改善。因此,白细胞介素-6、白细胞介素-17 和 Stat3 均可能成为该综合征的潜在治疗靶点。

https://cdn.ncbi.nlm.nih.gov/pmc/blobs/8af7/6202393/dca4d53edcfc/41598_2018_34173_Fig1_HTML.jpg

文献检索

告别复杂PubMed语法,用中文像聊天一样搜索,搜遍4000万医学文献。AI智能推荐,让科研检索更轻松。

立即免费搜索

文件翻译

保留排版,准确专业,支持PDF/Word/PPT等文件格式,支持 12+语言互译。

免费翻译文档

深度研究

AI帮你快速写综述,25分钟生成高质量综述,智能提取关键信息,辅助科研写作。

立即免费体验