Suppr超能文献

与肾细胞癌相关的T细胞大颗粒淋巴细胞白血病:一例报告。

T-cell large granular lymphocytic leukemia associated with renal cell carcinoma: A case report.

作者信息

Qiu Zhi-Yuan, Wang Yan, Zhang Jun, Zhang Zhao, Fan Lei, Wang Rong, Wu Yu-Jie, Zhang Ye-Qing, Xu Wei, Li Jian-Yong

机构信息

Department of Oncology, The Affiliated People's Hospital of Jiangsu University, Zhenjiang.

Department of Hematology, The First Affiliated Hospital of Nanjing Medical University, Jiangsu Province Hospital, Nanjing, China.

出版信息

Medicine (Baltimore). 2018 Nov;97(44):e13064. doi: 10.1097/MD.0000000000013064.

Abstract

RATIONALE

T-cell large granular lymphocytic leukemia (T-LGLL) is a rare lymphoproliferative neoplasm of cytotoxic T cells and renal cell carcinoma (RCC) is the most common form of kidney cancer, but T-LGLL associated with RCC has never been reported.

PATIENT CONCERNS

A 58-year-old Chinese male presented with general fatigue and intermittent-remittent fever, accompanied by palpitations and dizziness.

DIAGNOSIS

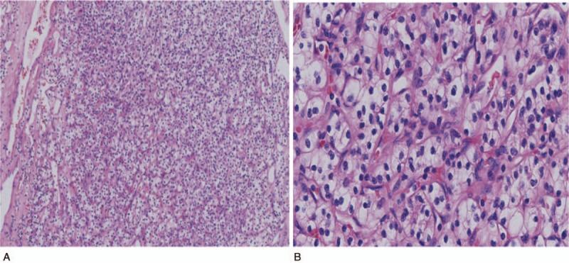
Radical nephrectomy was performed, and a diagnosis of clear cell carcinoma (T1N0M0, I phase) was made based on the postoperative pathology findings. With typical cellular morphology, immunophenotype and T-cell receptor gene rearrangement, a diagnosis of T-LGLL was established.

INTERVENTIONS

After radical nephrectomy, this patient remained asymptomatic without any treatment.

OUTCOMES

To date, the patient is generally in good condition, without complaints of discomfort.

LESSONS

The coexistence of these 2 entities may not be coincidental, and it is likely that they may share a common pathogenic pathway related to immune dysregulation.

摘要

原理

T细胞大颗粒淋巴细胞白血病(T-LGLL)是一种罕见的细胞毒性T细胞淋巴增殖性肿瘤,肾细胞癌(RCC)是最常见的肾癌形式,但从未有过T-LGLL与RCC相关的报道。

患者情况

一名58岁中国男性,出现全身乏力和间歇性发热,伴有心悸和头晕。

诊断

进行了根治性肾切除术,根据术后病理结果诊断为透明细胞癌(T1N0M0,I期)。结合典型的细胞形态、免疫表型和T细胞受体基因重排,确诊为T-LGLL。

干预措施

根治性肾切除术后,该患者未接受任何治疗,无症状。

结果

迄今为止,患者总体状况良好,无不适主诉。

经验教训

这两种疾病的共存可能并非巧合,它们可能共享与免疫失调相关的共同致病途径。

https://cdn.ncbi.nlm.nih.gov/pmc/blobs/8017/6221671/ddd012116aad/medi-97-e13064-g001.jpg

相似文献

1
T-cell large granular lymphocytic leukemia associated with renal cell carcinoma: A case report.
Medicine (Baltimore). 2018 Nov;97(44):e13064. doi: 10.1097/MD.0000000000013064.
2
Mixed-phenotype large granular lymphocytic leukemia: a rare subtype in the large granular lymphocytic leukemia spectrum.
Hum Pathol. 2018 Nov;81:96-104. doi: 10.1016/j.humpath.2018.06.023. Epub 2018 Jun 24.
3
CB-LPD, MGUS, T-LGLL, and PRCA: A rare case report of 4 concomitant hematological disorders.
Medicine (Baltimore). 2021 Nov 24;100(47):e27874. doi: 10.1097/MD.0000000000027874.
4
Case Report: Endocapillary Glomerulopathy Associated With Large Granular T Lymphocyte Leukemia.
Front Immunol. 2022 Jan 25;12:810223. doi: 10.3389/fimmu.2021.810223. eCollection 2021.
7
[Hematopathologic features of T-cell large granular lymphocytic leukemia].
Zhonghua Bing Li Xue Za Zhi. 2012 Apr;41(4):229-33. doi: 10.3760/cma.j.issn.0529-5807.2012.04.004.
10
Unusual immunophenotype of T-cell large granular lymphocytic leukemia: report of two cases.
Indian J Pathol Microbiol. 2015 Jan-Mar;58(1):108-12. doi: 10.4103/0377-4929.151204.

本文引用的文献

1
Treatment of renal cell carcinoma: Current status and future directions.
CA Cancer J Clin. 2017 Nov;67(6):507-524. doi: 10.3322/caac.21411. Epub 2017 Sep 29.
2
Methotrexate therapy of T-cell large granular lymphocytic leukemia impact of STAT3 mutation.
Oncotarget. 2016 Sep 20;7(38):61419-61425. doi: 10.18632/oncotarget.11360.
3
High rate of both hematopoietic and solid tumors associated with large granular lymphocyte leukemia.
Leuk Lymphoma. 2015 Feb;56(2):503-4. doi: 10.3109/10428194.2014.927459. Epub 2014 Jul 17.
4
Large granular lymphocytic leukemia: molecular pathogenesis, clinical manifestations, and treatment.
Hematology Am Soc Hematol Educ Program. 2012;2012:652-9. doi: 10.1182/asheducation-2012.1.652.
5
Somatic STAT3 mutations in large granular lymphocytic leukemia.
N Engl J Med. 2012 May 17;366(20):1905-13. doi: 10.1056/NEJMoa1114885.
6
Histological subtype is an independent predictor of outcome for patients with renal cell carcinoma.
J Urol. 2010 Apr;183(4):1309-15. doi: 10.1016/j.juro.2009.12.035. Epub 2010 Feb 19.
7
Activation of Stat3 in renal tumors.
Am J Transl Res. 2009 Feb 28;1(3):283-90.
8
Significance of Fas expression alteration during tumor progression of renal cell carcinoma.
Int J Urol. 2006 Mar;13(3):257-64. doi: 10.1111/j.1442-2042.2006.01265.x.
9
Multiple primary malignant neoplasms: case report and a comprehensive review of the literature.
Am J Clin Oncol. 2003 Feb;26(1):79-83. doi: 10.1097/00000421-200302000-00015.
10
Natural killer cell receptors: new biology and insights into the graft-versus-leukemia effect.
Blood. 2002 Sep 15;100(6):1935-47. doi: 10.1182/blood-2002-02-0350.

文献AI研究员

20分钟写一篇综述,助力文献阅读效率提升50倍。

立即体验

用中文搜PubMed

大模型驱动的PubMed中文搜索引擎

马上搜索

文档翻译

学术文献翻译模型,支持多种主流文档格式。

立即体验