Suppr超能文献

提高乳糜泻样疾病诊断的基本技能:一例病例报告。

Improving basic skills in celiac-like disease diagnosis: a case report.

作者信息

Corleto Vito Domenico, Di Marino Vincenza Patrizia, Galli Gloria, Antonelli Giulio, Coluccio Chiara, Di Cerbo Arcangelo, Uccini Stefania, Annibale Bruno

机构信息

Gastroenterology and Gastrointestinal Endoscopy Unit, Sant'Andrea University Hospital, "Sapienza" University of Rome, Rome, Italy.

Digestive Endoscopy Unit, Sant'Andrea University Hospital, "Sapienza" University of Rome, Via di Grottarossa 1035-1039, 00189, Rome, Italy.

出版信息

BMC Gastroenterol. 2018 Nov 3;18(1):162. doi: 10.1186/s12876-018-0894-8.

Abstract

BACKGROUND

The diagnosis of Coeliac disease (CD) requires a combination of sign/symptoms, positivity of specific antibodies and duodenal histological evidence of villous atrophy. Duodenal villous atrophy, despite representing the CD landmark, is not specific since it is found in many gastrointestinal disorders. Giardiasis is one of the most common human intestinal protozoan infestations in industrialized countries whose histological duodenal mucosa damage could mimic that of CD. The present report shows how a wise clinical and laboratory assessment led us shortly to a correct diagnosis.

CASE PRESENTATION

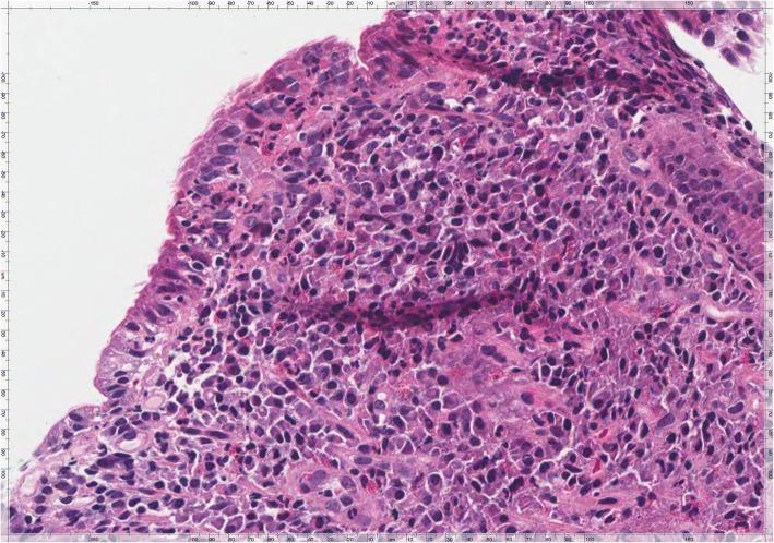
A 42-year-old outpatient woman without previous significant gastrointestinal diseases, was referred with dyspeptic symptoms, fatigue and mild diarrhea from 4 months. Her first investigations including immunoglobulin A (IgA) anti-tissue transglutaminase antibodies (anti-tTG) and stool parasitological and cultural analysis were negative. An esophagogastroduodenoscopy (EGDS) showed no mucosal alteration. But histology demonstrated a Helicobacter Pylori (HP) pan-gastritis while duodenal mucosa showed villous atrophy consistent with a diagnosis of CD Marsh type 3b. While on gluten-free diet (GFD) the patient didn't experience any improvement of symptoms. Duodenal biopsies were then reviewed showing the presence of trophozoites of Giardia on the luminal surface of the duodenal wall and at the same time, a second stool examination revealed the presence of trophozoites and cysts of Giardia. Treated with metronidazole, 500 mg twice daily for 6 days the patient reduced diarrhea after few days. After about 2 months of GFD she was invited to discontinue it. At the same time stool examination was repeated with negative results. She subsequently performed eradication for Hp with triple therapy (Pylera®). Around 6 months later, the patient did not complain any gastrointestinal symptoms. Serological tests were normal and at a follow-up EGDS, duodenal mucosa had normal histology with normal finger-like villi and absence of Giardia trophozoites.

CONCLUSION

This case report shows how CD diagnosis can sometimes be manifold. Intestinal villous atrophy alone may not automatically establish a diagnosis of CD. In the present case the clinical scenario could be fully explained by giardiasis. Indeed, different diagnostic tools and a multi-step approaches have been used to determine the final correct diagnosis.

摘要

背景

乳糜泻(CD)的诊断需要结合体征/症状、特异性抗体阳性以及十二指肠绒毛萎缩的组织学证据。十二指肠绒毛萎缩尽管是CD的标志性表现,但并不具有特异性,因为在许多胃肠道疾病中都可发现。贾第虫病是工业化国家中最常见的人类肠道原生动物感染之一,其十二指肠黏膜的组织学损伤可能与CD相似。本报告展示了明智的临床和实验室评估如何迅速引导我们做出正确诊断。

病例介绍

一名42岁门诊女性,既往无重大胃肠道疾病,因4个月来的消化不良症状、疲劳和轻度腹泻前来就诊。她最初的检查,包括免疫球蛋白A(IgA)抗组织转谷氨酰胺酶抗体(抗tTG)以及粪便寄生虫学和培养分析均为阴性。食管胃十二指肠镜检查(EGDS)未发现黏膜改变。但组织学显示幽门螺杆菌(HP)全胃炎,而十二指肠黏膜显示绒毛萎缩,符合CD Marsh 3b型诊断。在采用无麸质饮食(GFD)期间,患者症状未得到任何改善。随后复查十二指肠活检,显示十二指肠壁腔面存在贾第虫滋养体,同时,第二次粪便检查发现贾第虫滋养体和包囊。患者接受甲硝唑治疗,每日两次,每次500 mg,共6天,几天后腹泻减轻。在GFD约2个月后,她被要求停止该饮食。同时重复粪便检查,结果为阴性。随后她接受了三联疗法(Pylera®)根除HP。大约6个月后,患者未再抱怨任何胃肠道症状。血清学检查正常,在随访EGDS时,十二指肠黏膜组织学正常,有正常的指状绒毛,且无贾第虫滋养体。

结论

本病例报告表明CD诊断有时可能较为复杂。仅肠道绒毛萎缩不一定能自动确立CD诊断。在本病例中,临床情况可由贾第虫病完全解释。实际上,已使用不同的诊断工具和多步骤方法来确定最终的正确诊断。

https://cdn.ncbi.nlm.nih.gov/pmc/blobs/8acc/6215663/30dcc0b7c411/12876_2018_894_Fig1_HTML.jpg

文献AI研究员

20分钟写一篇综述,助力文献阅读效率提升50倍。

立即体验

用中文搜PubMed

大模型驱动的PubMed中文搜索引擎

马上搜索

文档翻译

学术文献翻译模型,支持多种主流文档格式。

立即体验