• 文献检索
  • 文档翻译
  • 深度研究
  • 学术资讯
  • Suppr Zotero 插件Zotero 插件
  • 邀请有礼
  • 套餐&价格
  • 历史记录
应用&插件
Suppr Zotero 插件Zotero 插件浏览器插件Mac 客户端Windows 客户端微信小程序
定价
高级版会员购买积分包购买API积分包
服务
文献检索文档翻译深度研究API 文档MCP 服务
关于我们
关于 Suppr公司介绍联系我们用户协议隐私条款
关注我们

Suppr 超能文献

核心技术专利:CN118964589B侵权必究
粤ICP备2023148730 号-1Suppr @ 2026

文献检索

告别复杂PubMed语法,用中文像聊天一样搜索,搜遍4000万医学文献。AI智能推荐,让科研检索更轻松。

立即免费搜索

文件翻译

保留排版,准确专业,支持PDF/Word/PPT等文件格式,支持 12+语言互译。

免费翻译文档

深度研究

AI帮你快速写综述,25分钟生成高质量综述,智能提取关键信息,辅助科研写作。

立即免费体验

产后上矢状窦血栓形成:一例报告

Postpartum Superior Sagittal Sinus Thrombosis: A Case Report.

作者信息

Han Kun Hee, Won Yu Deok, Na Min Kyun, Han Myung-Hoon, Ryu Je Il, Kim Jae Min, Kim Choong Hyun, Cheong Jin Hwan

机构信息

Department of Neurosurgery, Hanyang University Guri Hospital, Guri, Korea.

出版信息

Korean J Neurotrauma. 2018 Oct;14(2):146-149. doi: 10.13004/kjnt.2018.14.2.146. Epub 2018 Oct 31.

DOI:10.13004/kjnt.2018.14.2.146
PMID:30402435
原文链接:https://pmc.ncbi.nlm.nih.gov/articles/PMC6218358/
Abstract

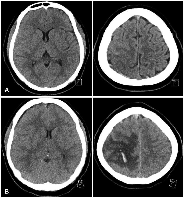
Cerebral venous sinus thrombosis (CVST) is a rare disease. Early diagnosis and treatment are important, as CVST is potentially fatal. Pregnancy and puerperium are known risk factors for CVST. Here, we report the case of a patient who developed superior sagittal sinus thrombosis after a normal vaginal delivery. A 20-year-old woman presented with a headache and seizures two days after a normal vaginal delivery. Initially, brain computed tomography (CT) showed a subarachnoid hemorrhage in the right parietal lobe and sylvian fissure, together with mild cerebral edema. CT angiography revealed superior sagittal sinus thrombosis. Multiple micro-infarctions were seen on diffusion-weighted magnetic resonance images. An intravenous infusion of heparin and mannitol was administered immediately. Two days after treatment initiation, the patient showed sudden neurological deterioration, with left-sided hemiplegia. Brain CT showed moderate brain edema and hemorrhagic densities. Emergency decompressive craniectomy was performed, and heparin was re-administered on post-operative day (POD) 1. On POD 9, the patient's mental state improved from stupor to drowsy, but the left-sided hemiplegia persisted. CT angiography showed that the superior sinus thrombosis had decreased. Superior sagittal sinus thrombosis is an uncommon complication, with an unfavorable outcome, after delivery. Timely diagnosis and treatment are important for preventing neurological deterioration.

摘要

脑静脉窦血栓形成(CVST)是一种罕见疾病。早期诊断和治疗很重要,因为CVST有潜在致命风险。妊娠和产褥期是已知的CVST危险因素。在此,我们报告一例患者在正常阴道分娩后发生上矢状窦血栓形成的病例。一名20岁女性在正常阴道分娩两天后出现头痛和癫痫发作。最初,脑部计算机断层扫描(CT)显示右侧顶叶和外侧裂蛛网膜下腔出血,伴有轻度脑水肿。CT血管造影显示上矢状窦血栓形成。在弥散加权磁共振图像上可见多处微梗死。立即给予静脉输注肝素和甘露醇。治疗开始两天后,患者突然出现神经功能恶化,伴有左侧偏瘫。脑部CT显示中度脑水肿和出血密度影。进行了急诊减压颅骨切除术,并在术后第1天重新给予肝素。术后第9天,患者的精神状态从昏迷改善为嗜睡,但左侧偏瘫仍然存在。CT血管造影显示上矢状窦血栓形成有所减轻。上矢状窦血栓形成是分娩后一种罕见的并发症,预后不良。及时诊断和治疗对于预防神经功能恶化很重要。

https://cdn.ncbi.nlm.nih.gov/pmc/blobs/24fc/6218358/0561809f4719/kjn-14-146-g003.jpg
https://cdn.ncbi.nlm.nih.gov/pmc/blobs/24fc/6218358/01a2b0d28fcb/kjn-14-146-g001.jpg
https://cdn.ncbi.nlm.nih.gov/pmc/blobs/24fc/6218358/5bf0962b898d/kjn-14-146-g002.jpg
https://cdn.ncbi.nlm.nih.gov/pmc/blobs/24fc/6218358/0561809f4719/kjn-14-146-g003.jpg
https://cdn.ncbi.nlm.nih.gov/pmc/blobs/24fc/6218358/01a2b0d28fcb/kjn-14-146-g001.jpg
https://cdn.ncbi.nlm.nih.gov/pmc/blobs/24fc/6218358/5bf0962b898d/kjn-14-146-g002.jpg
https://cdn.ncbi.nlm.nih.gov/pmc/blobs/24fc/6218358/0561809f4719/kjn-14-146-g003.jpg

相似文献

1
Postpartum Superior Sagittal Sinus Thrombosis: A Case Report.产后上矢状窦血栓形成:一例报告
Korean J Neurotrauma. 2018 Oct;14(2):146-149. doi: 10.13004/kjnt.2018.14.2.146. Epub 2018 Oct 31.
2
Fatal Superior Sagittal Sinus and Torcular Thrombosis After Vestibular Schwannoma Surgery: Report of a Rare Complication and Review of the Literature.前庭神经鞘瘤手术后致命性上矢状窦和窦汇血栓形成:一例罕见并发症报告及文献复习
World Neurosurg. 2016 Dec;96:607.e19-607.e24. doi: 10.1016/j.wneu.2016.09.075. Epub 2016 Sep 28.
3
Bilateral corpus callosum and corona radiata infarction due to cerebral venous sinus thrombosis presenting as headache and acute reversible aphasia: a rare case report.双侧胼胝体和放射冠脑梗死由脑静脉窦血栓形成引起,表现为头痛和急性可逆性失语:罕见病例报告。
BMC Neurol. 2020 Jun 19;20(1):249. doi: 10.1186/s12883-020-01829-7.
4
Postpartum superior sagittal, left transverse sinus and right internal jugular vein thrombosis with left parietal infarct: A case report.产后上矢状窦、左侧横窦及右侧颈内静脉血栓形成伴左侧顶叶梗死:一例报告
Radiol Case Rep. 2022 Apr 5;17(6):1911-1915. doi: 10.1016/j.radcr.2022.03.037. eCollection 2022 Jun.
5
Infectious thrombosis of the superior sagittal sinus with subarachnoid hemorrhage: A case report.上矢状窦感染性血栓形成伴蛛网膜下腔出血:病例报告。
Medicine (Baltimore). 2023 Mar 10;102(10):e33218. doi: 10.1097/MD.0000000000033218.
6
Cerebral venous sinus thrombosis in pregnancy presenting with hemiplegia: A case report.妊娠期以偏瘫为表现的脑静脉窦血栓形成:一例报告。
Radiol Case Rep. 2022 Aug 3;17(10):3713-3717. doi: 10.1016/j.radcr.2022.07.006. eCollection 2022 Oct.
7
Treatment of the superior sagittal sinus and transverse sinus thrombosis associated with intracranial hemorrhage with the mechanical thrombectomy and thrombolytics: Case report.采用机械取栓术和溶栓药物治疗与颅内出血相关的上矢状窦和横窦血栓形成:病例报告
Medicine (Baltimore). 2017 Dec;96(49):e9038. doi: 10.1097/MD.0000000000009038.
8
Case report: postpartum cerebral venous thrombosis misdiagnosed as postdural puncture headache.病例报告:产后脑静脉血栓形成误诊为硬脊膜穿刺后头痛。
BMC Anesthesiol. 2020 Apr 7;20(1):80. doi: 10.1186/s12871-020-00992-1.
9
Cerebral venous sinus thrombosis following transsphenoidal surgery for craniopharyngioma: A case report.颅咽管瘤经蝶窦手术后发生脑静脉窦血栓形成:一例报告。
World J Clin Cases. 2020 Mar 26;8(6):1158-1163. doi: 10.12998/wjcc.v8.i6.1158.
10
Surgical Thrombectomy Combined with Bilateral Decompressive Craniectomy in a Life-Threatening Case of Coma from Cerebral Venous Sinus Thrombosis: Case Report and Literature Review.手术取栓联合双侧去骨瓣减压术治疗危及生命的脑静脉窦血栓形成昏迷病例:病例报告及文献综述
World Neurosurg. 2018 Dec;120:485-489. doi: 10.1016/j.wneu.2018.09.083. Epub 2018 Sep 22.

引用本文的文献

1
Postpartum superior sagittal, left transverse sinus and right internal jugular vein thrombosis with left parietal infarct: A case report.产后上矢状窦、左侧横窦及右侧颈内静脉血栓形成伴左侧顶叶梗死:一例报告
Radiol Case Rep. 2022 Apr 5;17(6):1911-1915. doi: 10.1016/j.radcr.2022.03.037. eCollection 2022 Jun.
2
Cerebral venous thrombosis in women of childbearing age: diagnosis, treatment, and prophylaxis during a future pregnancy.育龄期女性的脑静脉血栓形成:未来妊娠期间的诊断、治疗及预防
Ther Adv Neurol Disord. 2020 Aug 3;13:1756286420945169. doi: 10.1177/1756286420945169. eCollection 2020.
3
Ophthalmic artery occlusion combined with superior sagittal sinus thrombosis caused by hyaluronic acid injection for facial soft tissue augmentation: A case report.

本文引用的文献

1
Clinical characteristics of cerebral venous thrombosis in a single center in Korea.韩国某单一中心脑静脉血栓形成的临床特征
J Korean Neurosurg Soc. 2014 Oct;56(4):289-94. doi: 10.3340/jkns.2014.56.4.289. Epub 2014 Oct 31.
2
Safety assessment of anticoagulation therapy in patients with hemorrhagic cerebral venous thrombosis.出血性脑静脉血栓形成患者抗凝治疗的安全性评估
Iran J Neurol. 2013;12(3):87-91.
3
New anticoagulants for treatment of venous thromboembolism.用于治疗静脉血栓栓塞症的新型抗凝剂。
透明质酸注射用于面部软组织填充致眼动脉闭塞合并上矢状窦血栓形成:一例报告
Medicine (Baltimore). 2019 Sep;98(36):e17048. doi: 10.1097/MD.0000000000017048.
Arterioscler Thromb Vasc Biol. 2008 Mar;28(3):380-6. doi: 10.1161/ATVBAHA.108.162677.
4
Cerebral venous thrombosis: a review.脑静脉血栓形成:综述
Neurologist. 2006 Jan;12(1):32-8. doi: 10.1097/01.nrl.0000178755.90391.b6.
5
Thrombosis of the cerebral veins and sinuses.脑静脉和静脉窦血栓形成。
N Engl J Med. 2005 Apr 28;352(17):1791-8. doi: 10.1056/NEJMra042354.
6
Prognosis of cerebral vein and dural sinus thrombosis: results of the International Study on Cerebral Vein and Dural Sinus Thrombosis (ISCVT).脑静脉和硬脑膜窦血栓形成的预后:国际脑静脉和硬脑膜窦血栓形成研究(ISCVT)的结果
Stroke. 2004 Mar;35(3):664-70. doi: 10.1161/01.STR.0000117571.76197.26. Epub 2004 Feb 19.
7
Risk factors for peripartum and postpartum stroke and intracranial venous thrombosis.围产期和产后中风及颅内静脉血栓形成的危险因素。
Stroke. 2000 Jun;31(6):1274-82. doi: 10.1161/01.str.31.6.1274.
8
Postpartum dural venous sinus thrombosis after postdural puncture headache and epidural blood patch.硬膜穿刺后头痛和硬膜外血贴治疗后发生的产后硬脑膜静脉窦血栓形成
Anesthesiology. 1997 Feb;86(2):487-90. doi: 10.1097/00000542-199702000-00024.