Suppr超能文献

Osteopoikilosis Demonstrating Multiple Joint Involvement in an Adult Male: An Incidental Radiographic Finding.

作者信息

Botwin Ariel, Wasyliw Christopher

机构信息

University of Central Florida College of Medicine, Orlando, USA.

Diagnostic Radiology, Florida Hospital-Orlando, Orlando, USA.

出版信息

Cureus. 2018 Sep 4;10(9):e3253. doi: 10.7759/cureus.3253.

Abstract

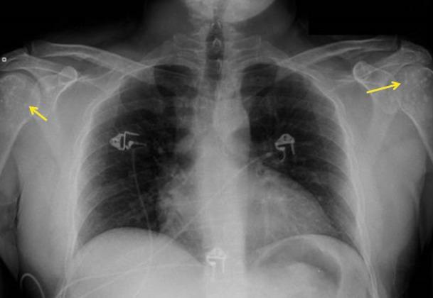
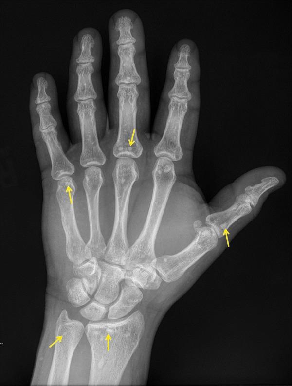
Osteopoikilosis is a rare condition that is characterized by multiple small non-aggressive appearing sclerotic foci in a periarticular distribution. Typically, it does not cause any symptoms and is diagnosed incidentally on imaging studies done for other reasons. We present a case of osteopoikilosis in a 37-year-old male, which was diagnosed incidentally on radiographs.

摘要
https://cdn.ncbi.nlm.nih.gov/pmc/blobs/90ad/6219867/d5c94ee52c91/cureus-0010-00000003253-i01.jpg

文献AI研究员

20分钟写一篇综述,助力文献阅读效率提升50倍。

立即体验

用中文搜PubMed

大模型驱动的PubMed中文搜索引擎

马上搜索

文档翻译

学术文献翻译模型,支持多种主流文档格式。

立即体验