Kelson Kyle R, Riscinti Matthew, Secko Michael, deSouza Ian S
SUNY Downstate Medical Center, Department of Emergency Medicine, Brooklyn, New York.
Stony Brook University Medical Center, Department of Emergency Medicine, Stony Brook, New York.
Clin Pract Cases Emerg Med. 2018 Sep 5;2(4):320-322. doi: 10.5811/cpcem.2018.7.38210. eCollection 2018 Nov.
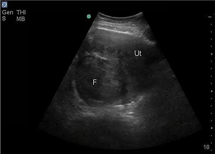
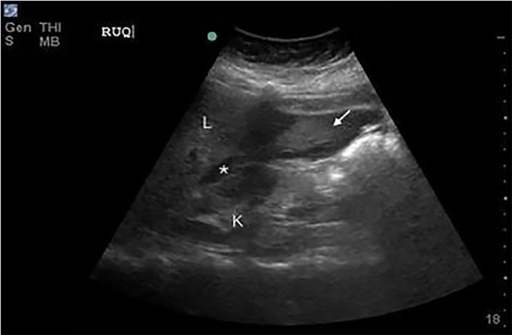
A young woman presented to the emergency department with lethargy, hemodynamic instability, and diffuse abdominal tenderness. On point-of-care ultrasound (PoCUS), she was found to have intraperitoneal free fluid and a large pelvic mass, which were discovered intraoperatively to be hemoperitoneum due to ruptured vessels of a uterine leiomyoma. Although rare, a life-threatening, ruptured leiomyoma may be treated surgically if recognized in an expedient fashion. A PoCUS can aid the emergency clinician in prompt diagnosis.
一名年轻女性因嗜睡、血流动力学不稳定和全腹压痛就诊于急诊科。床旁超声(PoCUS)检查发现她有腹腔内游离液体和一个巨大盆腔肿块,术中发现是子宫平滑肌瘤血管破裂导致的腹腔积血。虽然罕见,但如果能及时识别,危及生命的破裂平滑肌瘤可通过手术治疗。床旁超声可帮助急诊医生进行快速诊断。