Suppr超能文献

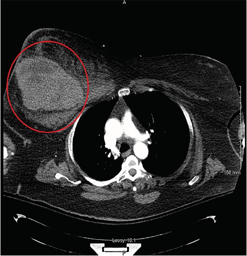
Massive Right Breast Hematoma.

作者信息

Amin Manish, Jerome Jason P, Aguìñiga-Navarrete Phillip, Castro Laura C

机构信息

Kern Medical, Department of Emergency Medicine, Bakersfield, California.

出版信息

Clin Pract Cases Emerg Med. 2018 Sep 5;2(4):357-358. doi: 10.5811/cpcem.2018.8.39493. eCollection 2018 Nov.

Abstract
摘要
https://cdn.ncbi.nlm.nih.gov/pmc/blobs/dd17/6230366/622fca46c5d4/cpcem-02-357-g001.jpg

文献AI研究员

20分钟写一篇综述,助力文献阅读效率提升50倍。

立即体验

用中文搜PubMed

大模型驱动的PubMed中文搜索引擎

马上搜索

文档翻译

学术文献翻译模型,支持多种主流文档格式。

立即体验