Suppr超能文献

微小RNA-34a抑制剂可能通过靶向Wnt1,经Wnt/β-连环蛋白信号通路有效保护免受七氟醚诱导的海马体细胞凋亡。

miR-34a Inhibitor May Effectively Protect against Sevoflurane-Induced Hippocampal Apoptosis through the Wnt/β-Catenin Pathway by Targeting Wnt1.

作者信息

Zhao Xiaoling, Sun Yue, Ding Yongbo, Zhang Jun, Li Kezhong

机构信息

School of Medicine, Shandong University, Jinan, China.

Department of Anesthesiology, Yantai Yuhuangding Hospital, Yantai, China.

出版信息

Yonsei Med J. 2018 Dec;59(10):1205-1213. doi: 10.3349/ymj.2018.59.10.1205.

Abstract

PURPOSE

Research has shown that sevoflurane-induced toxicity causes neurodegeneration in the developing brain. miR-34a has been found to negatively regulate ketamine-induced hippocampal apoptosis and memory impairment. However, the role of miR-34a in sevoflurane-induced hippocampal neurodegeneration remains largely unclear.

MATERIALS AND METHODS

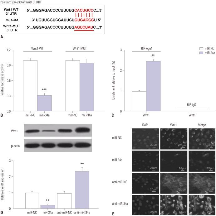
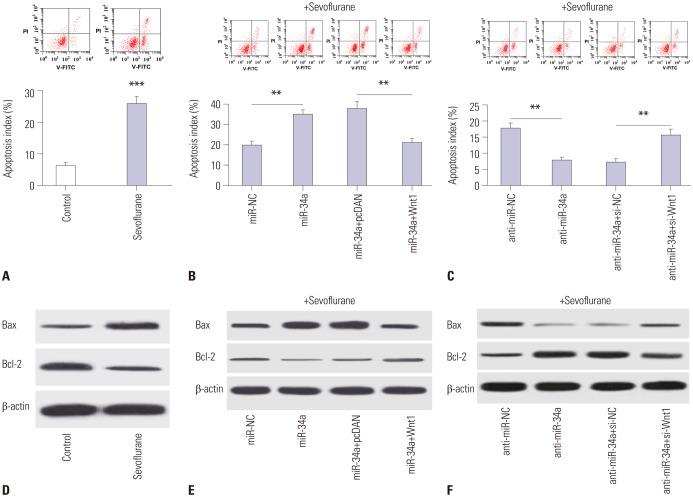
C57/BL6 mice (7-day-old) inhaled 2.3% sevoflurane for 2 h/day over 3 consecutive days. miR-34a expression was reduced through intracerebroventricular injection with miR-34a interference lentivirus vector (LV-anti-miR-34a) into mouse hippocampus after anesthesia on the first day of exposure. Hippocampal apoptosis was detected by TUNEL assay and flow cytometry analysis. Spatial memory ability was evaluated by the Morris water maze test. The interaction between miR-34a and Wnt1 was confirmed by luciferase reporter assay, RNA immunoprecipitation, Western blot, and immunofluorescence staining. The effects of miR-34a on protein levels of B-cell lymphoma 2 (Bcl-2), bcl-2-like protein 4 (Bax), and Wnt/β-catenin pathway-related proteins were evaluated using Western blot analysis.

RESULTS

Sevoflurane upregulated hippocampal miR-34a, and miR-34a inhibitor attenuated sevoflurane-induced hippocampal apoptosis and memory impairment. miR-34a negatively regulated Wnt1 expression by targeting miR-34a in hippocampal neurons. Moreover, forced expression of Wnt1 markedly undermined miR-34a-mediated enhancement of sevoflurane-induced apoptosis of hippocampal neurons, while Wnt1 silencing greatly restored anti-miR-34a-mediated repression of sevoflurane-induced apoptosis of hippocampal neurons. Increased expression of miR-34a inhibited the Wnt/β-catenin pathway in hippocampal neurons exposed to sevoflurane, while anti-miR-34a exerted the opposite effects.

CONCLUSION

miR-34a inhibitor may effectively protect against sevoflurane-induced hippocampal apoptosis via activation of the Wnt/β-catenin pathway by targeting Wnt1.

摘要

目的

研究表明,七氟醚诱导的毒性会导致发育中的大脑发生神经退行性变。已发现miR-34a对氯胺酮诱导的海马细胞凋亡和记忆损伤具有负调控作用。然而,miR-34a在七氟醚诱导的海马神经退行性变中的作用仍不清楚。

材料与方法

C57/BL6小鼠(7日龄)连续3天每天吸入2.3%七氟醚2小时。在暴露第一天麻醉后,通过向小鼠海马脑室内注射miR-34a干扰慢病毒载体(LV-anti-miR-34a)降低miR-34a表达。通过TUNEL检测和流式细胞术分析检测海马细胞凋亡。通过Morris水迷宫试验评估空间记忆能力。通过荧光素酶报告基因检测、RNA免疫沉淀、蛋白质免疫印迹和免疫荧光染色证实miR-34a与Wnt1之间的相互作用。使用蛋白质免疫印迹分析评估miR-34a对B细胞淋巴瘤2(Bcl-2)、bcl-2样蛋白4(Bax)和Wnt/β-连环蛋白途径相关蛋白水平的影响。

结果

七氟醚上调海马miR-34a,miR-34a抑制剂减轻七氟醚诱导的海马细胞凋亡和记忆损伤。miR-34a通过靶向海马神经元中的Wnt1负调控Wnt1表达。此外,Wnt1的强制表达显著削弱了miR-34a介导的七氟醚诱导的海马神经元凋亡增强作用,而Wnt1沉默则极大地恢复了抗miR-34a介导的七氟醚诱导的海马神经元凋亡抑制作用。miR-34a表达增加抑制了暴露于七氟醚的海马神经元中的Wnt/β-连环蛋白途径,而抗miR-34a则产生相反的效果。

结论

miR-34a抑制剂可能通过靶向Wnt1激活Wnt/β-连环蛋白途径有效预防七氟醚诱导的海马细胞凋亡。

https://cdn.ncbi.nlm.nih.gov/pmc/blobs/00ed/6240572/ae416574cafb/ymj-59-1205-g001.jpg

文献检索

告别复杂PubMed语法,用中文像聊天一样搜索,搜遍4000万医学文献。AI智能推荐,让科研检索更轻松。

立即免费搜索

文件翻译

保留排版,准确专业,支持PDF/Word/PPT等文件格式,支持 12+语言互译。

免费翻译文档

深度研究

AI帮你快速写综述,25分钟生成高质量综述,智能提取关键信息,辅助科研写作。

立即免费体验