Bhat Venkatraman, Kansal Kanav, Krishna Shri Harsha, Pobbysetty Rekha, Hassan Suhel
Department of Radiology, Narayana Multispeciality Hospital and Mazumdar Shaw Medical Center, Narayana Health City, Bangalore, India.
Department of Pathology, Narayana Multispeciality Hospital and Mazumdar Shaw Medical Center, Narayana Health City, Bangalore, India.
BJR Case Rep. 2016 Nov 2;2(4):20150296. doi: 10.1259/bjrcr.20150296. eCollection 2016.
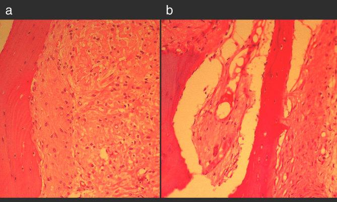
Two cases of fibrous dysplasia involving the middle nasal turbinate are presented. Fibrous dysplasia is a common benign fibro-osseous disease involving the flat bones, often affecting the bony structures of the skull and facial skeleton. Primary occurrence or secondary involvement of the nasal turbinate is not a common manifestation of the disease. Involvement of the inferior turbinate generally does not have specific management-related issues; however, involvement of the middle turbinate, especially the lateral lamella, can predispose to surgical morbidity during endoscopic surgical management. Clinical presentation, management and features of the disease on CT imaging are presented.