Suppr超能文献

与磁共振成像相比,功能超声在诊断前交叉韧带损伤中的应用

Functional Ultrasonography in Diagnosing Anterior Cruciate Ligament Injury as Compared to Magnetic Resonance Imaging.

作者信息

Kumar Sudeep, Kumar Anup, Kumar Subhash, Kumar Prem

机构信息

Department of Orthopaedics and Radiodiagnosis, All India Institute of Medical Sciences, Patna, Bihar, India.

出版信息

Indian J Orthop. 2018 Nov-Dec;52(6):638-644. doi: 10.4103/ortho.IJOrtho_28_17.

Abstract

BACKGROUND

Magnetic resonance imaging (MRI) has been gold standard investigation for diagnosing anterior cruciate ligament (ACL) tear. Availability and cost are two main factors limiting the universal use of MRI in all those patients in whom ligament injury is suspected. We compared the outcome of functional USG with gold standard MRI scan in this prospective study.

MATERIALS AND METHODS

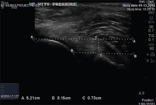
In this study, we included the patients coming to orthopedics outpatient department with sign and symptoms of ACL injury. We performed functional USG of the injured and uninjured knee and noted the difference in translation, measured by USG. More than 1 mm of difference in translation of tibia on the affected side as compared to uninjured side is taken as significant. We compared our result with the findings of MRI. The study result of 130 patients revealed high sensitivity (81.65%) and high specificity (89%) in diagnosing ACL injury. The positive predictive value of the test was 97.8%, and the negative predictive value was 44%. The value of the difference of translation as 0.0001 was also statistically significant.

CONCLUSIONS

We can safely conclude from the study that the functional USG can be used as a primary tool to diagnose ACL tears. USG's ubiquitous availability and simple technique of the procedure can bring a revolution in the future for diagnosing and managing ACL injury.

摘要

背景

磁共振成像(MRI)一直是诊断前交叉韧带(ACL)撕裂的金标准检查方法。可及性和成本是限制MRI在所有疑似韧带损伤患者中普遍应用的两个主要因素。在这项前瞻性研究中,我们比较了功能性超声检查(USG)与金标准MRI扫描的结果。

材料与方法

在本研究中,我们纳入了前来骨科门诊且有ACL损伤体征和症状的患者。我们对受伤和未受伤的膝关节进行了功能性USG检查,并记录了通过USG测量的平移差异。患侧胫骨与未受伤侧相比,平移差异超过1mm被视为有意义。我们将我们的结果与MRI的检查结果进行了比较。130例患者的研究结果显示,在诊断ACL损伤方面具有高敏感性(81.65%)和高特异性(89%)。该检查的阳性预测值为97.8%,阴性预测值为44%。平移差异值为0.0001在统计学上也具有显著性。

结论

从该研究中我们可以有把握地得出结论,功能性USG可作为诊断ACL撕裂的主要工具。USG广泛的可及性和简单的操作技术未来可能会给ACL损伤的诊断和管理带来变革。

https://cdn.ncbi.nlm.nih.gov/pmc/blobs/e4b4/6241059/3768b0c6e22a/IJOrtho-52-638-g002.jpg

相似文献

1
Functional Ultrasonography in Diagnosing Anterior Cruciate Ligament Injury as Compared to Magnetic Resonance Imaging.
Indian J Orthop. 2018 Nov-Dec;52(6):638-644. doi: 10.4103/ortho.IJOrtho_28_17.
3
The Heel Height Test: A Novel Tool for the Detection of Combined Anterior Cruciate Ligament and Fibular Collateral Ligament Tears.
Arthroscopy. 2017 Dec;33(12):2177-2181. doi: 10.1016/j.arthro.2017.06.028. Epub 2017 Aug 16.
4
Variations in Knee Kinematics After ACL Injury and After Reconstruction Are Correlated With Bone Shape Differences.
Clin Orthop Relat Res. 2017 Oct;475(10):2427-2435. doi: 10.1007/s11999-017-5368-8.
5
Functional ultrasonography in the diagnosis of acute anterior cruciate ligament injuries: a field study.
Knee. 2009 Dec;16(6):441-6. doi: 10.1016/j.knee.2009.04.012. Epub 2009 May 22.
6
Ultrasonographic test for complete anterior cruciate ligament injury.
Indian J Orthop. 2015 Mar-Apr;49(2):143-9. doi: 10.4103/0019-5413.152432.
8
Feasibility of point-of-care knee ultrasonography for diagnosing anterior cruciate and posterior cruciate ligament tears in the ED.
Am J Emerg Med. 2020 Feb;38(2):237-242. doi: 10.1016/j.ajem.2019.04.040. Epub 2019 Apr 25.

引用本文的文献

1
The diagnostic accuracy of ultrasound in assessing anterior cruciate ligament tears: a systematic review and meta-analysis.
Skeletal Radiol. 2025 Aug;54(8):1631-1642. doi: 10.1007/s00256-025-04866-w. Epub 2025 Jan 14.
2
Evaluation of the knee joint with ultrasound and magnetic resonance imaging.
J Ultrason. 2023 Nov 23;23(95):e239-e250. doi: 10.15557/jou.2023.0032. eCollection 2023 Oct.
3
5
Comparison of X-Ray Imaging and Computed Tomography Scan in the Evaluation of Knee Trauma.
Medicina (Kaunas). 2019 Sep 23;55(10):623. doi: 10.3390/medicina55100623.

本文引用的文献

1
Functional ultrasonography in the diagnosis of acute anterior cruciate ligament injuries: a field study.
Knee. 2009 Dec;16(6):441-6. doi: 10.1016/j.knee.2009.04.012. Epub 2009 May 22.
2
3
Sonography of the knee: intra-articular pathology.
J Clin Ultrasound. 2004 Nov-Dec;32(9):481-90. doi: 10.1002/jcu.20069.
4
Sonography detection threshold for knee effusion.
Clin Rheumatol. 2003 Dec;22(6):391-2. doi: 10.1007/s10067-003-0759-5. Epub 2003 Oct 21.
5
Diagnosis of chondral lesions of the knee joint: can MRI replace arthroscopy? A prospective study.
Knee Surg Sports Traumatol Arthrosc. 2004 Jan;12(1):58-64. doi: 10.1007/s00167-003-0393-4. Epub 2003 Aug 5.
6
Ultrasound of the knee.
Skeletal Radiol. 2001 Jul;30(7):361-77. doi: 10.1007/s002560100380.
7
Ultrasonography of the Knee.
Semin Musculoskelet Radiol. 1998;2(3):245-270. doi: 10.1055/s-2008-1080106.
9
Ultrasound evaluation of gravity induced anterior drawer following anterior cruciate ligament lesion.
Knee Surg Sports Traumatol Arthrosc. 1999;7(3):166-72. doi: 10.1007/s001670050142.

文献AI研究员

20分钟写一篇综述,助力文献阅读效率提升50倍。

立即体验

用中文搜PubMed

大模型驱动的PubMed中文搜索引擎

马上搜索

文档翻译

学术文献翻译模型,支持多种主流文档格式。

立即体验