Suppr超能文献

瓦登伯革氏综合征与左位永存上腔静脉

Waardenburg Syndrome and Left Persistent Superior Vena Cava.

作者信息

Raissi Driss, Christie Alexander, Applegate Kimberly

机构信息

Department of Radiology, University of Kentucky, Kentucky, USA.

出版信息

J Clin Imaging Sci. 2018 Nov 15;8:44. doi: 10.4103/jcis.JCIS_31_18. eCollection 2018.

Abstract

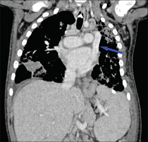
Waardenburg syndrome (WS) is a rare genetic disorder secondary to neural crest cell developmental abnormalities. It is predominantly described as an auditory-pigmentary syndrome with diverse patient presentation, typically involving congenital sensorineural hearing loss and pigmentation abnormalities of the skin, hair, and iris. Other developmental abnormalities that may be associated with this syndrome are Hirschsprung's disease and a myriad of cardiovascular congenital defects. We present a case of a young girl with WS who found to have a persistent left superior vena cava (PLSVC) draining into the coronary sinus. The prevalence of PLSVC is increased in patients with chromosomal and genetic abnormalities. However, we are the first to report its presence in association with WS while discussing the challenges that may arise during central venous catheter placement in patients with PLSVC.

摘要

瓦登伯革氏综合征(WS)是一种继发于神经嵴细胞发育异常的罕见遗传性疾病。它主要被描述为一种具有多种患者表现的听觉色素沉着综合征,通常包括先天性感音神经性听力损失以及皮肤、毛发和虹膜的色素沉着异常。可能与该综合征相关的其他发育异常包括先天性巨结肠和多种心血管先天性缺陷。我们报告一例患有WS的年轻女孩,发现其存在持续左上腔静脉(PLSVC)引流至冠状窦。PLSVC在染色体和基因异常患者中的患病率增加。然而,我们是首个报告其与WS相关的病例,同时讨论了PLSVC患者在中心静脉导管置入过程中可能出现的挑战。

https://cdn.ncbi.nlm.nih.gov/pmc/blobs/1979/6251238/f4b0fa48ae76/JCIS-8-44-g003.jpg

文献AI研究员

20分钟写一篇综述,助力文献阅读效率提升50倍。

立即体验

用中文搜PubMed

大模型驱动的PubMed中文搜索引擎

马上搜索

文档翻译

学术文献翻译模型,支持多种主流文档格式。

立即体验