Suppr超能文献

复发性食管鳞状细胞癌引起的伴晕厥的舌咽神经痛

Glossopharyngeal Neuralgia with Syncope Caused by Recurrence of Esophageal Squamous Cell Carcinoma.

作者信息

Nagata Kohei, Tajiri Kazuto, Ueda Akira, Okuda Yukiko, Tokimitsu Yoshiharu, Shinagawa Kazuko, Entani Akio, Okada Kazuhiko, Kaku Bunji, Yasuda Ichiro

机构信息

Third Department of Internal Medicine, Toyama University Hospital, Japan.

Toyama Red Cross Hospital, Japan.

出版信息

Intern Med. 2019 Apr 1;58(7):933-936. doi: 10.2169/internalmedicine.1838-18. Epub 2018 Dec 18.

Abstract

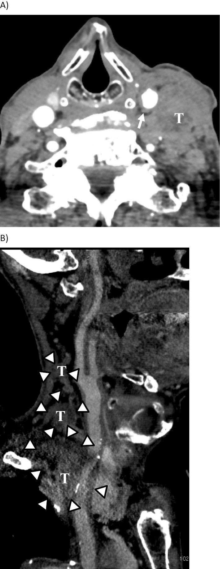
We herein report a case of glossopharyngeal neuralgia with repeated syncope caused by the recurrence of esophageal carcinoma. The typical symptoms of glossopharyngeal neuralgia are paroxysmal, stabbing, electric shock-like pain in the pharynx and/or base of the tongue on swallowing and talking. In addition, syncope can also be caused by glossopharyngeal neuralgia. The diagnosis of glossopharyngeal neuralgia is not always easy because of its rarity. In the present case, we suspected that repeated syncope was caused by glossopharyngeal neuralgia due to the recurrence of esophageal carcinoma. Concurrent chemoradiation therapy was effective in reducing the tumor size, which resulted in the complete resolution of the symptoms.

摘要

我们在此报告一例因食管癌复发导致反复晕厥的舌咽神经痛病例。舌咽神经痛的典型症状是吞咽和说话时咽部和/或舌根处阵发性、刺痛、电击样疼痛。此外,舌咽神经痛也可导致晕厥。由于其罕见性,舌咽神经痛的诊断并不总是容易的。在本病例中,我们怀疑反复晕厥是由食管癌复发引起的舌咽神经痛所致。同步放化疗有效缩小了肿瘤大小,症状得以完全缓解。

https://cdn.ncbi.nlm.nih.gov/pmc/blobs/0691/6478984/b2cd867731b0/1349-7235-58-0933-g001.jpg

文献AI研究员

20分钟写一篇综述,助力文献阅读效率提升50倍。

立即体验

用中文搜PubMed

大模型驱动的PubMed中文搜索引擎

马上搜索

文档翻译

学术文献翻译模型,支持多种主流文档格式。

立即体验