Suppr超能文献

抗磷脂综合征合并急性冠状动脉综合征:病例报告。

Antiphospholipid syndrome combined with acute coronary syndrome: Case report.

作者信息

Shan Yuan, Wang Ping, Liu JingHua

机构信息

Department of Cardiology, Beijing Anzhen Hospital, Capital Medical University, Beijing, China.

出版信息

Medicine (Baltimore). 2018 Dec;97(51):e13613. doi: 10.1097/MD.0000000000013613.

Abstract

RATIONALE

Antiphospholipid syndrome (APS) combined with acute coronary syndrome (ACS) is rarely reported.

PATIENT CONCERNS

One male patient with APS was admitted to our hospital, who had recent unstable angina (UA).

DIAGNOSIS

The preliminary diagnosis of ACS and UA (BraunwaldiB) was then made.

INTERVENTIONS

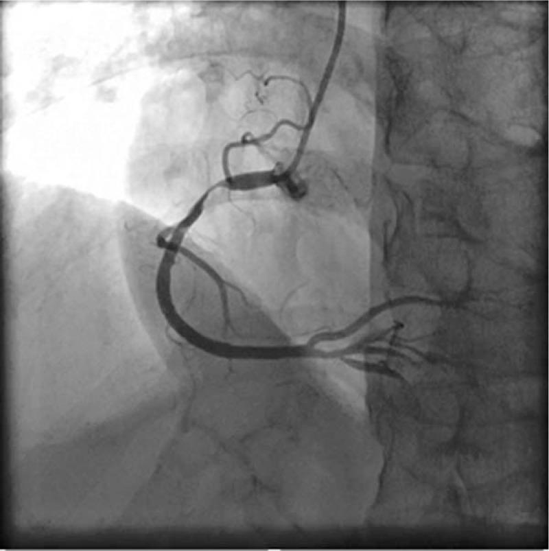
This patient received secondary preventative therapy for coronary heart disease (CHD) in combination with percutaneous transluminal coronary angioplasty (PTCA) and implantation of NeoVas Bioresorbable Coronary Scaffold.

OUTCOMES

The patient was followed up, without new UA episodes were observed at 6 months, 1 year, and 2 year after surgery, respectively.

LESSONS

It was thus concluded that percutaneous coronary intervention (PCI) is effective for APS patients and NeoVas scaffold implantation is presumed safe.

摘要

理论依据

抗磷脂综合征(APS)合并急性冠状动脉综合征(ACS)的报道很少。

患者情况

一名患有APS的男性患者因近期不稳定型心绞痛(UA)入院。

诊断

随后做出了ACS和UA(Braunwald I B)的初步诊断。

干预措施

该患者接受了冠心病(CHD)二级预防治疗,并结合经皮冠状动脉腔内血管成形术(PTCA)和植入NeoVas生物可吸收冠状动脉支架。

结果

对患者进行随访,术后6个月、1年和2年分别未观察到新的UA发作。

经验教训

因此得出结论,经皮冠状动脉介入治疗(PCI)对APS患者有效,且NeoVas支架植入被认为是安全的。

https://cdn.ncbi.nlm.nih.gov/pmc/blobs/146d/6320188/b03e7468db75/medi-97-e13613-g001.jpg

文献AI研究员

20分钟写一篇综述,助力文献阅读效率提升50倍。

立即体验

用中文搜PubMed

大模型驱动的PubMed中文搜索引擎

马上搜索

文档翻译

学术文献翻译模型,支持多种主流文档格式。

立即体验