Suppr超能文献

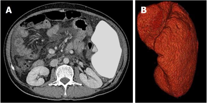
芦曲泊帕治疗应答与脾脏体积的关系。

Relationship between response to lusutrombopag and splenic volume.

机构信息

Department of Gastroenterology, Shonan Kamakura General Hospital, Kamakura 247-8533, Japan.

Division of Gastroenterology and Hepatology, Department of Internal Medicine, Tokai University School of Medicine, Kanagawa 259-1193, Japan.

出版信息

World J Gastroenterol. 2018 Dec 14;24(46):5271-5279. doi: 10.3748/wjg.v24.i46.5271.

Abstract

AIM

To assess the correlation between the efficacy of lusutrombopag and clinical characteristics in patients with chronic liver disease.

METHODS

In this retrospective, multicenter study, which conducted at four locations in Japan, 50 thrombocytopenic patients with chronic liver disease were enrolled. All patients received oral lusutrombopag (3.0 mg/d for 7 d) for chronic liver disease. We assessed the increase in platelet count after the trial drug administration. A treatment response was defined as a platelet count ≥ 5 × 10/μL and an increased platelet count ≥ 2 × 10/μL from baseline after drug administration. We evaluated the response to lusutrombopag compared to baseline clinical characteristics in patients with chronic liver disease.

RESULTS

The numbers of responders and non-responders were 40 (80.0%) and 10 (20.0%), respectively. The patients were divided into a responder and non-responder group, and we added factors that may correspond to successful treatment with lusutrombopag. Splenic volume and body weight were lower in the responder group than in the non-responder group. White blood cell count and hemoglobin level were higher in responders compared with non-responders. Using a logistic regression model to assess the relationship between response to lusutrombopag and clinical characteristics, multivariate analysis confirmed that splenic volume was an independent factor that predicted the response of platelet counts ( = 0.025; odds ratio = 11.2; 95% confidence interval: 1.354-103.0). Splenic volume negatively correlated to changes in platelet count ( = -0.524, = 0.001).

CONCLUSION

Splenic volume influences the change in platelet counts after administration of lusutrombopag in patients with chronic liver disease.

摘要

目的

评估慢性肝病患者 lusutrombopag 疗效与临床特征的相关性。

方法

本回顾性多中心研究在日本的四个地点进行,共纳入 50 例慢性肝病伴血小板减少症患者。所有患者均接受口服 lusutrombopag(7 天 3.0mg/d)治疗慢性肝病。我们评估了试验药物给药后血小板计数的增加。治疗反应定义为给药后血小板计数≥5×10/μL 且较基线升高≥2×10/μL。我们评估了慢性肝病患者对 lusutrombopag 的反应与基线临床特征的关系。

结果

应答者和无应答者的例数分别为 40 例(80.0%)和 10 例(20.0%)。将患者分为应答者和无应答者两组,并加入可能与 lusutrombopag 成功治疗相关的因素。应答者组的脾脏体积和体重均低于无应答者组。与无应答者相比,应答者的白细胞计数和血红蛋白水平更高。使用逻辑回归模型评估 lusutrombopag 反应与临床特征之间的关系,多变量分析证实脾脏体积是预测血小板计数反应的独立因素( = 0.025;优势比 = 11.2;95%置信区间:1.354-103.0)。脾脏体积与血小板计数变化呈负相关( = -0.524, = 0.001)。

结论

脾脏体积影响慢性肝病患者 lusutrombopag 给药后血小板计数的变化。

https://cdn.ncbi.nlm.nih.gov/pmc/blobs/f0b7/6295839/084fcf911606/WJG-24-5271-g001.jpg

文献AI研究员

20分钟写一篇综述,助力文献阅读效率提升50倍。

立即体验

用中文搜PubMed

大模型驱动的PubMed中文搜索引擎

马上搜索

文档翻译

学术文献翻译模型,支持多种主流文档格式。

立即体验