Suppr超能文献

安罗替尼在腹腔促结缔组织增生性小圆细胞肿瘤中的应用:一例报告及文献综述

Use of anlotinib in intra-abdominal desmoplastic small round cell tumors: a case report and literature review.

作者信息

Chen Hui-Min, Feng Ge

机构信息

Nanjing Jiangbei People's Hospital, Nantong University, Nanjing 220000, People's Republic of China,

出版信息

Onco Targets Ther. 2018 Dec 18;12:57-61. doi: 10.2147/OTT.S190333. eCollection 2019.

Abstract

BACKGROUND

Intra-abdominal desmoplastic small round cell tumor (IADSRCT) is a highly invasive malignant tumor that is rare in clinical practice. Anlotinib is a multitarget receptor tyrosine kinase inhibitor which inhibits vascular endothelial growth factor receptor (VEGFR) 1-3, fibroblast growth factor receptor (FGFR) 1-4, platelet-derived growth factor receptors (PDGFR) α/β, c-Kit, and Met. In our study, we present a record of IADSRCT which was validly treated by anlotinib.

CASE PRESENTATION

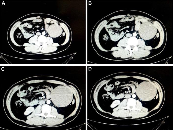
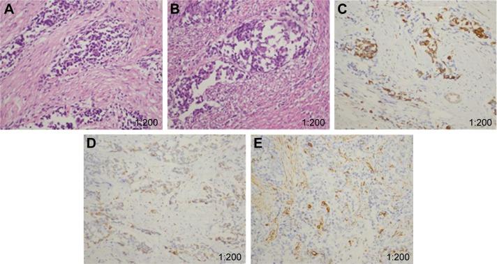
A 38-year-old man was admitted due to anterior abdominal wall nodule for 1 month. The nodule and intraperitoneal mass were resected and diagnosed IADSRCT. The patient received six cycles of adjuvant chemotherapy and his CT scan revealed metastasis in the right inguinal lymph node and omental lymph node. Anlotinib was then recommended. Anlotinib significantly reduced the lymph nodes after four cycles. The patient continued to use anlotinib as maintenance therapy, and the patient was in good condition. The side effects of anlotinib were high triglycerides and fatigue. However, its toxicity was controllable and tolerable.

CONCLUSION

This is the first report about anlotinib being effective in the treatment of IADSRCT. This report may provide a new option for the treatment of metastatic IADSRCT.

摘要

背景

腹腔促结缔组织增生性小圆细胞肿瘤(IADSRCT)是一种侵袭性很强的恶性肿瘤,临床实践中较为罕见。安罗替尼是一种多靶点受体酪氨酸激酶抑制剂,可抑制血管内皮生长因子受体(VEGFR)1 - 3、成纤维细胞生长因子受体(FGFR)1 - 4、血小板衍生生长因子受体(PDGFR)α/β、c-Kit和Met。在我们的研究中,我们展示了一例经安罗替尼有效治疗的IADSRCT病例记录。

病例介绍

一名38岁男性因前腹壁结节1个月入院。切除结节及腹腔肿物后诊断为IADSRCT。患者接受了六个周期的辅助化疗,其CT扫描显示右腹股沟淋巴结和网膜淋巴结转移。随后推荐使用安罗替尼。四个周期后,安罗替尼使淋巴结明显缩小。患者继续使用安罗替尼作为维持治疗,状况良好。安罗替尼的副作用为高甘油三酯和疲劳。然而,其毒性是可控且可耐受的。

结论

这是关于安罗替尼有效治疗IADSRCT的首例报告。本报告可能为转移性IADSRCT的治疗提供新的选择。

https://cdn.ncbi.nlm.nih.gov/pmc/blobs/d116/6302812/5cbaf7fe25f8/ott-12-057Fig1.jpg

文献AI研究员

20分钟写一篇综述,助力文献阅读效率提升50倍。

立即体验

用中文搜PubMed

大模型驱动的PubMed中文搜索引擎

马上搜索

文档翻译

学术文献翻译模型,支持多种主流文档格式。

立即体验