Suppr超能文献

口腔假上皮瘤样增生的组织病理学研究

Histopathological Study of Oral Pseudoepitheliomatous Hyperplasia.

作者信息

Pascu Roxana Maria, Crăiţoiu Ştefania, Florescu Alma Maria, Dăguci Luminiţa, Petcu Ileana Cristiana, Pascu Emilia Georgiana, Crăiţoiu Monica Mihaela

机构信息

Discipline of Dental Prosthetics, University of Medicine and Pharmacy of Craiova, Romania.

Department of Histology, University of Medicine and Pharmacy of Craiova, Romania.

出版信息

Curr Health Sci J. 2017 Oct-Dec;43(4):361-366. doi: 10.12865/CHSJ.43.04.13. Epub 2017 Dec 28.

Abstract

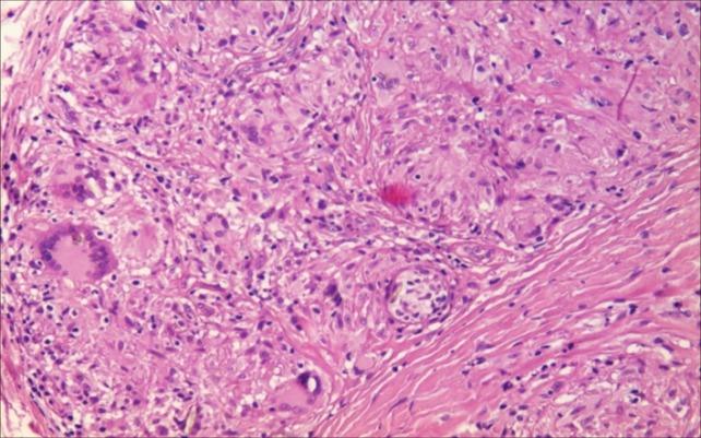
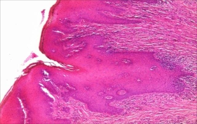
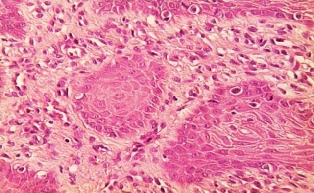
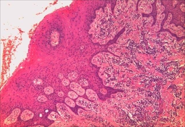
Pseudoepitheliomatous hyperplasia, also called Heck's disease, is an epithelial, inconstant and conjunctive proliferation that develops as a response to a great variety of stimuli. It is a lesion associated to different diseases, being found in the following etiopathogenic conditions: infectious pathogenic conditions, tumoral pathogenic conditions, inflammatory pathogenic conditions. We studied oral pseudoepitheliomatous hyperplasia for which we performed a histopathological study, on a group of 47 cases of oral pseudoepitheliomatous hyperplasias, where we investigated the following: oral epithelium changes, changes in the underlying lamina propria and associated etiopathogenic conditions. The main changes of the oral epithelium were: elongation of the epithelial apexes (17.02%), acanthosis (100%), dyskeratosis (14.89%), and in the underlying lamina propria: fibrosis (29.78%), inflammatory infiltrate (70.21% and vascular proliferation (10.64%). The most frequent associated etiopathogenic conditions were the infectious ones (55.31%), followed by the tumoral ones (29.79%), on the last place being the inflammatory conditions (14.89%).

摘要

假上皮瘤样增生,也称为赫克病,是一种上皮性、非恒定的结缔组织增生,是对多种刺激的反应。它是一种与不同疾病相关的病变,见于以下病因情况:感染性致病情况、肿瘤性致病情况、炎症性致病情况。我们对一组47例口腔假上皮瘤样增生进行了组织病理学研究,以研究口腔假上皮瘤样增生,我们调查了以下方面:口腔上皮变化、其下方固有层的变化以及相关的病因情况。口腔上皮的主要变化为:上皮顶端伸长(17.02%)、棘层增厚(100%)、角化不良(14.89%),在下方固有层的变化为:纤维化(29.78%)、炎症浸润(70.21%)和血管增生(10.64%)。最常见的相关病因情况是感染性病因(55.31%),其次是肿瘤性病因(29.79%),排在最后的是炎症性情况(14.89%)。

https://cdn.ncbi.nlm.nih.gov/pmc/blobs/231a/6286465/c715037d4f46/CHSJ-43-04-13.FIG1.jpg

相似文献

1
Histopathological Study of Oral Pseudoepitheliomatous Hyperplasia.
Curr Health Sci J. 2017 Oct-Dec;43(4):361-366. doi: 10.12865/CHSJ.43.04.13. Epub 2017 Dec 28.
2
The Role Played by Growth Factors TGF-β1, EGF and FGF7 in the Pathogeny of Oral Pseudoepitheliomatous Hyperplasia.
Curr Health Sci J. 2017 Jul-Sep;43(3):246-252. doi: 10.12865/CHSJ.43.03.11. Epub 2017 Sep 28.
4
Mucocutaneous pseudoepitheliomatous hyperplasia: a review.
Am J Dermatopathol. 2012 Apr;34(2):165-75. doi: 10.1097/DAD.0b013e31821816ab.
6
The molecular-based differentiation of Heck's disease from its mimics including oral condyloma and white sponge nevus.
Ann Diagn Pathol. 2019 Dec;43:151402. doi: 10.1016/j.anndiagpath.2019.151402. Epub 2019 Aug 22.
7
Laser Excision of Focal Epithelial Hyperplasia (Heck's Disease): A Rare Case Report.
Int J Clin Pediatr Dent. 2018 Nov-Dec;11(6):526-528. doi: 10.5005/jp-journals-10005-1569.
8
Diode Laser Excision of Focal Epithelial Hyperplasia (Heck's Disease): A Case Report.
J Lasers Med Sci. 2022 Feb 10;13:e6. doi: 10.34172/jlms.2022.06. eCollection 2022.

引用本文的文献

1
Biliary tract neoplasms from common to rare: diagnosis, assessment, and management.
Abdom Radiol (NY). 2025 Jun 20. doi: 10.1007/s00261-025-05071-y.
3
Anesthesia for a Patient with Base of Tongue Mass undergoing Transoral Robotic Surgery: A Case Report.
Acta Med Philipp. 2024 May 23;58(9):70-75. doi: 10.47895/amp.v58i9.8791. eCollection 2024.
4
Novel Histopathological Findings of Micro Bone Fragments and Epithelial Response in the Oral Mucosa in Bisphosphonate-Related Osteonecrosis of the Jaw.
J Investig Med High Impact Case Rep. 2024 Jan-Dec;12:23247096241258076. doi: 10.1177/23247096241258076.

本文引用的文献

1
Pseudoepitheliomatous Hyperplasia in Oral Lesions: A Review.
J Int Oral Health. 2015 Sep;7(9):148-52.
4
Mucocutaneous pseudoepitheliomatous hyperplasia: a review.
Am J Dermatopathol. 2012 Apr;34(2):165-75. doi: 10.1097/DAD.0b013e31821816ab.
5
Pseudoepitheliomatous hyperplasia: a review.
Am J Dermatopathol. 2011 Apr;33(2):112-22; quiz 123-6. doi: 10.1097/DAD.0b013e3181fcfb47.
6
Herpes simplex vegetans: atypical genital herpes infection with prominent plasma cell infiltration in B-cell chronic lymphocytic leukemia.
J Dtsch Dermatol Ges. 2008 Oct;6(10):865-7. doi: 10.1111/j.1610-0387.2008.06736.x. Epub 2008 May 21.
7
Chromoblastomycosis in Nepal: a study of 13 cases.
Indian J Dermatol Venereol Leprol. 2007 May-Jun;73(3):176-8. doi: 10.4103/0378-6323.32741.
8
Pseudoepitheliomatous hyperplasia formation after skin injury.
Wound Repair Regen. 2007 Jan-Feb;15(1):39-46. doi: 10.1111/j.1524-475X.2006.00183.x.
9
Cytokeratin expression in pseudoepitheliomatous hyperplasia of oral paracoccidioidomycosis.
Med Mycol. 2006 Aug;44(5):399-404. doi: 10.1080/13693780600589065.

文献AI研究员

20分钟写一篇综述,助力文献阅读效率提升50倍。

立即体验

用中文搜PubMed

大模型驱动的PubMed中文搜索引擎

马上搜索

文档翻译

学术文献翻译模型,支持多种主流文档格式。

立即体验