Shreenivasa A, Vishak K A, Sindhu K, Sahu Kauslya, Chaithra G V
Senior Resident, Department of Pulmonary Medicine, KMC Mangalore, MAHE University, Udupi, India.
Professor, Department of Pulmonary Medicine, KMC Mangalore, MAHE University, Udupi, India.
Case Rep Infect Dis. 2018 Nov 27;2018:8159896. doi: 10.1155/2018/8159896. eCollection 2018.
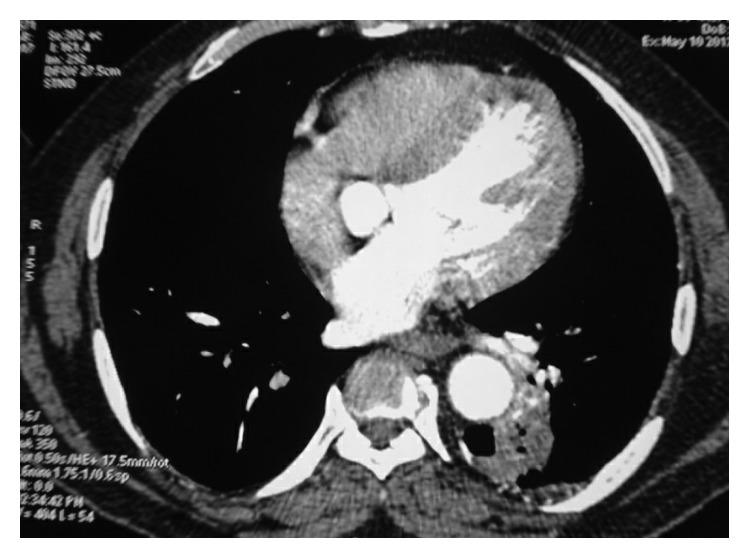
Pulmonary actinomycosis is an important differential diagnosis in patients with long-standing pulmonary infiltrates related to poor oral hygiene or compromised immune function. Up to a quarter of cases of thoracic actinomycosis are misdiagnosed as lung malignancy. Here, we report a 56-year-old man with a hypodense lesion in the left lower lobe presenting with recurrent massive haemoptysis for about one year. He underwent left lower lobe lobectomy due to intractable haemoptysis. Histopathological examination demonstrated actinomycosis infiltrating the left lower lobe. Rarity of the case was the presence of actinomycosis in an immunocompetent individual and without underlying preexisting lung disease. Also, intractable massive haemoptysis necessitating surgical excision which proved to be both diagnostic and curative due to actinomycosis is an unusual occurrence.
肺放线菌病是长期肺部浸润患者的重要鉴别诊断疾病,这些患者往往存在口腔卫生差或免疫功能受损的情况。高达四分之一的胸段放线菌病病例被误诊为肺癌。在此,我们报告一名56岁男性,其左下叶有一个低密度病变,反复大量咯血约一年。由于顽固性咯血,他接受了左下叶肺叶切除术。组织病理学检查显示放线菌病浸润左下叶。该病例的罕见之处在于,这是一名免疫功能正常且无潜在肺部基础疾病的个体发生的放线菌病。此外,因放线菌病导致顽固性大量咯血而需要手术切除,且手术切除被证明具有诊断和治疗双重作用,这种情况并不常见。