Suppr超能文献

[毛里塔尼亚努瓦克肖特的颅内结核瘤]

[Intracranial tuberculomas in Nouakchott, Mauritania].

作者信息

Salem-Memou Sidi, Dadah Samy, Moctar Ahmedou, Dah Sidelhadj, Jeddou Ahmed, Kleib Ahmedsalem, Salihy Sidimohamed, Soumare Outouma, Diagana Mouhamadou, Boukhrissi Najat

机构信息

Service de Neurochirurgie, Centre Hospitalier National de Nouakchott, Mauritanie.

出版信息

Pan Afr Med J. 2018 Aug 9;30:269. doi: 10.11604/pamj.2018.30.269.15467. eCollection 2018.

Abstract

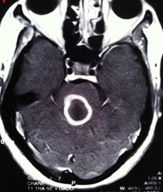
Tuberculosis is a major public health problem in developing countries. Cerebral tuberculomas is a tuberculous granulation tissue mass restrained and limited by immune defenses of the host. This study aims to describe the characteristics and the evolutionary profile of intracranial tuberculomas in Mauritania. Data of 34 patients with intracranial tuberculoma were collected retrospectively in several hospitals in the city of Nouakchott between January 2005 and June 2017. Evolutionary features of patients under treatment were analyzed. Our retrospective study involved 20 men and 14 women (sex ratio 1.4). The average age of our patients was 28.7 years. Twelve patients were less than or equal to 16 years. Symptomatology was dominated by increased intracranial pressure and seizures in 27 cases (79.41%) and 20 cases (58.82%) respectively. Intradermo tuberculin reaction was positive in 14 (41.17%) cases. Supratentorial lesion was found in 24 patients (70.58%). In all patients, therapeutic approach was based on multidrug chemotherapy for a period greater than or equal to 12 months. Surgical procedure was performed in 12 patients (35.29%). Outcome was favorable with complete healing without sequelae in 23 cases, reflecting a rate of 67.64%. Given the non-specific role of imaging exams in the diagnosis of intracranial tuberculoma and the lack of the stereotactic biopsy in our Country where the disease is endemic, we recommend to perform a two-month therapeutic test in patients with suspicious lesions.

摘要

结核病是发展中国家的一个主要公共卫生问题。脑结核瘤是一种受宿主免疫防御限制和局限的结核性肉芽组织肿块。本研究旨在描述毛里塔尼亚颅内结核瘤的特征和演变情况。2005年1月至2017年6月期间,在努瓦克肖特市的几家医院对34例颅内结核瘤患者的数据进行了回顾性收集。分析了接受治疗患者的演变特征。我们的回顾性研究纳入了20名男性和14名女性(性别比为1.4)。患者的平均年龄为28.7岁。12名患者年龄小于或等于16岁。症状以颅内压升高和癫痫发作为主,分别有27例(79.41%)和20例(58.82%)。结核菌素皮内反应阳性的有14例(41.17%)。幕上病变见于24例患者(70.58%)。所有患者的治疗方法均为多药化疗,疗程大于或等于12个月。12例患者(35.29%)接受了手术治疗。23例患者预后良好,完全愈合且无后遗症,愈合率为67.64%。鉴于影像学检查在颅内结核瘤诊断中的非特异性作用,以及在我们这个疾病流行的国家缺乏立体定向活检,我们建议对可疑病变患者进行为期两个月的治疗性试验。

https://cdn.ncbi.nlm.nih.gov/pmc/blobs/ec01/6317400/a783e49f87d4/PAMJ-30-269-g001.jpg

文献AI研究员

20分钟写一篇综述,助力文献阅读效率提升50倍。

立即体验

用中文搜PubMed

大模型驱动的PubMed中文搜索引擎

马上搜索

文档翻译

学术文献翻译模型,支持多种主流文档格式。

立即体验