Aisu Yuki, Hori Tomohide, Kato Shigeru, Ando Yasuhisa, Yasukawa Daiki, Kimura Yusuke, Takamatsu Yuichi, Kitano Taku, Kadokawa Yoshio
Department of Gastrointestinal Surgery, Tenri Hospital, 200 Mishima-cho, Tenri City, Nara Prefecture, 632-8552, Japan.
Department of Gastroenterological Surgery, Faculty of Medicine, Kagawa University, 1750-1 Ikenobe, Miki-cho, Kita-gun, Kagawa Prefecture, 761-0793, Japan.
Int J Surg Case Rep. 2019;55:11-14. doi: 10.1016/j.ijscr.2018.12.001. Epub 2019 Jan 9.
During prone esophagectomy, placement of a port in the third intercostal space for upper mediastinal dissection requires adequate axillary expansion. To facilitate this, the right arm is elevated cranially and simultaneously turned outward. Brachial plexus paralysis associated with esophagectomy in the prone position has not been documented.
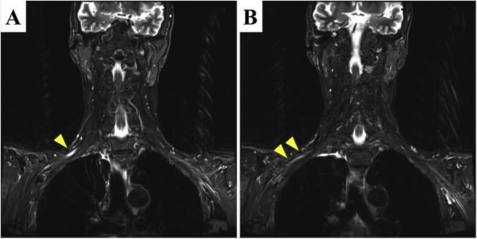
A 58-year-old man diagnosed with middle intrathoracic esophageal cancer was referred to our department. Thoracoscopic esophagectomy in the prone position was performed following neoadjuvant chemotherapy. After surgery, he complained of difficulty moving his right arm. Physical examination revealed perceptual dysfunction and movement disorder in the territory of cervical spinal nerve 6. Magnetic resonance imaging indicated the injury in the right posterior cord of the brachial plexus at the costoclavicular space. Therefore, we diagnosed the patient with right brachial plexus injury caused by the intraoperative position. The postoperative course was uneventful other than the brachial plexus paralysis, and he was discharged on postoperative day 23. He underwent continuous rehabilitation as an outpatient, and the right brachial plexus paralysis had completely disappeared by 2 months after surgery.
This is the first case of brachial plexus injury during thoracoscopic esophagectomy in the prone position. In prone esophagectomy, managing the patient's position, especially the head and arm positions, is so important to avoid brachial plexus injury due to intraoperative positioning.
The clinicians should consider managing the patient's position with anatomical familiarity to avoid brachial plexus injury due to intraoperative positioning.
在俯卧位食管切除术期间,为进行上纵隔解剖而在第三肋间间隙置入端口需要充分的腋窝扩张。为便于操作,右臂需向头侧抬高并同时向外旋转。尚未有文献记载俯卧位食管切除术相关的臂丛神经麻痹。
一名58岁男性被诊断为胸段中段食管癌,转诊至我科。在新辅助化疗后进行了俯卧位胸腔镜食管切除术。术后,他抱怨右臂活动困难。体格检查发现颈6脊神经支配区域存在感觉功能障碍和运动障碍。磁共振成像显示臂丛神经右后束在锁骨下间隙处损伤。因此,我们诊断该患者为术中体位导致的右臂丛神经损伤。除臂丛神经麻痹外,术后病程平稳,患者于术后第23天出院。他作为门诊患者接受了持续康复治疗,术后2个月时右臂丛神经麻痹已完全消失。
这是首例俯卧位胸腔镜食管切除术期间发生臂丛神经损伤的病例。在俯卧位食管切除术中,管理患者的体位,尤其是头部和手臂的位置,对于避免因术中体位导致臂丛神经损伤非常重要。
临床医生应结合解剖知识来管理患者体位,以避免因术中体位导致臂丛神经损伤。