Suppr超能文献

由一种新突变导致的2型孤立性生长激素缺乏症:一例报告

Isolated Growth Hormone Deficiency Type 2 due to a novel Mutation: A Case Report.

作者信息

Kautsar Ahmad, Wit Jan M., Pulungan Aman

机构信息

University of Indonesia, Cipto Mangunkusumo Hospital, Department of Child Health, Jakarta, Indonesia

Leiden University Medical Center, Department of Paediatrics, Leiden, The Netherlands

出版信息

J Clin Res Pediatr Endocrinol. 2019 Nov 22;11(4):426-431. doi: 10.4274/jcrpe.galenos.2019.2018.0305. Epub 2019 Jan 25.

Abstract

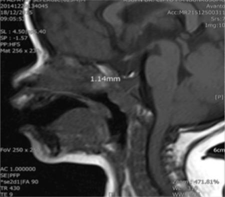
Isolated growth hormone (GH) deficiency (IGHD) type 2 is a rare autosomal dominant disorder characterized by severe short stature with low GH level. Timely diagnosis is important for optimal results of recombinant human GH (rhGH) treatment and detection of additional pituitary deficiencies in affected relatives. A male child presented at the age of one year with severe, proportionate short stature [-4.9 standard deviation score (SDS)] and with a normal body mass index (-1.1 SDS). Physical examination revealed frontal bossing, midfacial hypoplasia, normal external genitalia and no dysmorphic features. Paternal and maternal heights were -6.1 and -1.9 SDS. Serum insulin-like growth factor-1 (IGF-1) and IGF-binding protein-3 were undetectable and the peak GH concentration by clonidine stimulation test was extremely low (0.18 ng/mL). Brain magnetic resonance imaging showed anterior pituitary hypoplasia. Genetic analysis identified a novel heterozygous mutation (c.291+2T>G) expected to lead to splicing out exon 3 of GH1. rhGH from age 2.4 years led to appropriate catch-up. In conclusion, we identified a novel gene mutation in an infant with classical IGHD type 2 presentation.

摘要

2型孤立性生长激素(GH)缺乏症(IGHD)是一种罕见的常染色体显性疾病,其特征为严重身材矮小且GH水平低。及时诊断对于重组人生长激素(rhGH)治疗的最佳效果以及检测受影响亲属的其他垂体功能缺陷非常重要。一名男童在1岁时就诊,有严重的匀称性身材矮小[-4.9标准差评分(SDS)],体重指数正常(-1.1 SDS)。体格检查发现前额突出、面中部发育不全、外生殖器正常且无畸形特征。其父亲和母亲的身高分别为-6.1 SDS和-1.9 SDS。血清胰岛素样生长因子-1(IGF-1)和IGF结合蛋白-3检测不到,可乐定刺激试验的GH峰值浓度极低(0.18 ng/mL)。脑部磁共振成像显示垂体前叶发育不全。基因分析确定了一个新的杂合突变(c.291+2T>G),预计该突变会导致GH1基因的第3外显子被剪接掉。从2.4岁开始使用rhGH治疗后实现了适当的追赶生长。总之,我们在一名具有典型2型IGHD表现的婴儿中鉴定出了一种新的基因突变。

https://cdn.ncbi.nlm.nih.gov/pmc/blobs/3cc2/6878336/60cd314d8d15/JCRPE-11-426-g1.jpg

文献AI研究员

20分钟写一篇综述,助力文献阅读效率提升50倍。

立即体验

用中文搜PubMed

大模型驱动的PubMed中文搜索引擎

马上搜索

文档翻译

学术文献翻译模型,支持多种主流文档格式。

立即体验