Suppr超能文献

婴幼儿气道成像的动态四维计算机断层扫描技术、陷阱、质量、辐射剂量及结果

Technique, pitfalls, quality, radiation dose and findings of dynamic 4-dimensional computed tomography for airway imaging in infants and children.

作者信息

Andronikou Savvas, Chopra Mark, Langton-Hewer Simon, Maier Pia, Green Jon, Norbury Emma, Price Sarah, Smail Mary

机构信息

Department of Paediatric Radiology, Bristol Royal Hospital for Children, University Hospitals Bristol NHS Foundation Trust, Bristol, UK.

Department of Paediatric Radiology, University of Bristol, Bristol, UK.

出版信息

Pediatr Radiol. 2019 May;49(5):678-686. doi: 10.1007/s00247-018-04338-5. Epub 2019 Jan 25.

Abstract

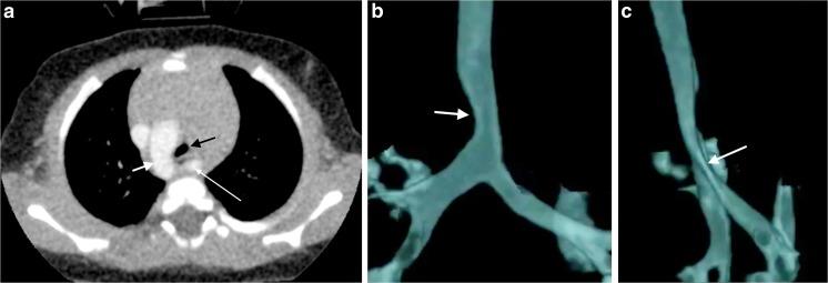
This retrospective review of 33 children's dynamic 4-dimensional (4-D) computed tomography (CT) images of the airways, performed using volume scanning on a 320-detector array without anaesthesia (free-breathing) and 1.4-s continuous scanning, was undertaken to report technique, pitfalls, quality, radiation doses and findings. Tracheobronchomalacia (airway diameter collapse >28%) was recorded. Age-matched routine chest CT scans and bronchograms acted as benchmarks for comparing effective dose. Pitfalls included failure to administer intravenous contrast, pull back endotracheal tubes and/or remove nasogastric tubes. Twenty-two studies (67%) were diagnostic. Motion artefact was present in 16 (48%). Mean effective dose: dynamic 4-D CT 1.0 mSv; routine CT chest, 1.0 mSv, and bronchograms, 1.4 mSv. Dynamic 4-D CT showed tracheobronchomalacia in 20 patients (61%) and cardiovascular abnormalities in 12 (36%). Fourteen children (70%) with tracheobronchomalacia were managed successfully by optimising conservative management, 5 (25%) underwent surgical interventions and 1 (5%) died from the presenting disorder.

摘要

本研究回顾性分析了33例儿童气道动态四维(4-D)计算机断层扫描(CT)图像,使用320排探测器阵列进行容积扫描,无需麻醉(自由呼吸)且连续扫描1.4秒,旨在报告技术、陷阱、质量、辐射剂量及结果。记录气管支气管软化(气道直径塌陷>28%)情况。年龄匹配的常规胸部CT扫描和支气管造影作为比较有效剂量的基准。陷阱包括未给予静脉造影剂、拔出气管内导管和/或移除鼻胃管。22项研究(67%)具有诊断价值。16项研究(48%)存在运动伪影。平均有效剂量:动态4-D CT为1.0 mSv;常规胸部CT为1.0 mSv,支气管造影为1.4 mSv。动态4-D CT显示20例患者(61%)存在气管支气管软化,12例患者(36%)存在心血管异常。14例(70%)气管支气管软化患儿通过优化保守治疗成功治愈,5例(25%)接受了手术干预,1例(5%)因原发病死亡。

https://cdn.ncbi.nlm.nih.gov/pmc/blobs/7d19/6459803/432f8a361990/247_2018_4338_Fig1_HTML.jpg

文献AI研究员

20分钟写一篇综述,助力文献阅读效率提升50倍。

立即体验

用中文搜PubMed

大模型驱动的PubMed中文搜索引擎

马上搜索

文档翻译

学术文献翻译模型,支持多种主流文档格式。

立即体验