Suppr超能文献

LRRK2 亮氨酸丰富重复激酶 2 的 G2019S 变异通过损害 GTPase RAB8A 的功能改变内溶酶体运输。

The G2019S variant of leucine-rich repeat kinase 2 (LRRK2) alters endolysosomal trafficking by impairing the function of the GTPase RAB8A.

机构信息

From the Institute of Parasitology and Biomedicine "López-Neyra," Consejo Superior de Investigaciones Científicas (CSIC), Avda del Conocimiento s/n, 18016 Granada, Spain.

the Department of Pharmacology, Physiology and Neuroscience, New Jersey Medical School, Rutgers, The State University of New Jersey, Newark, New Jersey 07103, and.

出版信息

J Biol Chem. 2019 Mar 29;294(13):4738-4758. doi: 10.1074/jbc.RA118.005008. Epub 2019 Feb 1.

Abstract

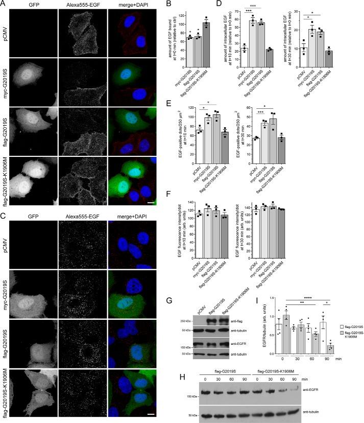
Mutations in the gene encoding for leucine-rich repeat kinase 2 (LRRK2) are a common cause of hereditary Parkinson's disease. LRRK2 regulates various intracellular vesicular trafficking pathways, including endolysosomal degradative events such as epidermal growth factor receptor (EGFR) degradation. Recent studies have revealed that a subset of RAB proteins involved in secretory and endocytic recycling are LRRK2 kinase substrates However, the effects of LRRK2-mediated phosphorylation of these substrates on membrane trafficking remain unknown. Here, using an array of immunofluorescence and pulldown assays, we report that expression of active or phosphodeficient RAB8A variants rescues the G2019S LRRK2-mediated effects on endolysosomal membrane trafficking. Similarly, up-regulation of the RAB11-Rabin8-RAB8A cascade, which activates RAB8A, also reverted these trafficking deficits. Loss of RAB8A mimicked the effects of G2019S LRRK2 on endolysosomal trafficking and decreased RAB7A activity. Expression of pathogenic G2019S LRRK2 or loss of RAB8A interfered with EGFR degradation by causing its accumulation in a RAB4-positive endocytic compartment, which was accompanied by a deficit in EGFR recycling and was rescued upon expression of active RAB7A. Dominant-negative RAB7A expression resulted in similar deficits in EGF degradation, accumulation in a RAB4 compartment, and deficits in EGFR recycling, which were all rescued upon expression of active RAB8A. Taken together, these findings suggest that, by impairing RAB8A function, pathogenic G2019S LRRK2 deregulates endolysosomal transport and endocytic recycling events.

摘要

LRRK2 基因编码突变是遗传性帕金森病的一个常见原因。LRRK2 调节各种细胞内囊泡运输途径,包括内溶酶体降解事件,如表皮生长因子受体(EGFR)降解。最近的研究表明,参与分泌和内吞循环再循环的一部分 RAB 蛋白是 LRRK2 激酶的底物。然而,LRRK2 介导的这些底物磷酸化对膜运输的影响尚不清楚。在这里,我们使用一系列免疫荧光和下拉测定法,报告表达活性或磷酸缺陷 RAB8A 变体可挽救 G2019S LRRK2 对内溶酶体膜运输的影响。同样,上调 RAB11-Rabin8-RAB8A 级联,激活 RAB8A,也使这些运输缺陷恢复正常。RAB8A 的缺失模拟了 G2019S LRRK2 对内溶酶体运输的影响,并降低了 RAB7A 的活性。表达致病性 G2019S LRRK2 或缺失 RAB8A 会导致 EGFR 在 RAB4 阳性内吞区积累,从而干扰 EGFR 降解,而过表达活性 RAB7A 则可挽救这种降解缺陷。显性负性 RAB7A 表达会导致 EGF 降解、在 RAB4 区积累和 EGFR 再循环缺陷,而过表达活性 RAB8A 则可挽救这些缺陷。综上所述,这些发现表明,致病性 G2019S LRRK2 通过损害 RAB8A 功能,扰乱内溶酶体运输和内吞循环再循环事件。

https://cdn.ncbi.nlm.nih.gov/pmc/blobs/8abb/6442034/6199094d1cba/zbc0131903090001.jpg

文献AI研究员

20分钟写一篇综述,助力文献阅读效率提升50倍。

立即体验

用中文搜PubMed

大模型驱动的PubMed中文搜索引擎

马上搜索

文档翻译

学术文献翻译模型,支持多种主流文档格式。

立即体验