Silva Juliana, Guiomar Neusa, Silva Marisa Passos, Caeiro Daniel, Gama Vasco
Serviço de Medicina Interna, Centro Hospitalar Vila Nova de Gaia/Espinho, Vila Nova de Gaia, Portugal.
Serviço de Cardiologia, Centro Hospitalar Vila Nova de Gaia/Espinho, Vila Nova de Gaia, Portugal.
Eur J Case Rep Intern Med. 2017 Aug 3;4(9):000692. doi: 10.12890/2017_000692. eCollection 2017.
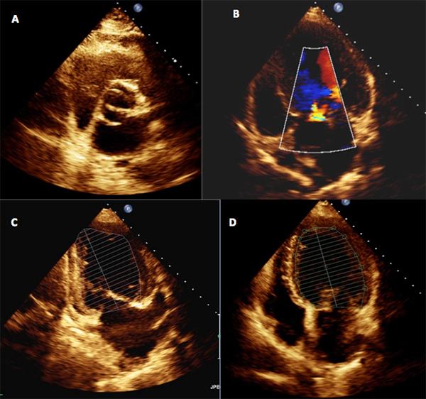
Interrupted aortic arch (IAA) is a rare congenital abnormality with only a few cases reported in adults. It is defined as complete loss of continuity between the ascending and descending portions of the aorta, and is usually associated with other cardiac defects. The diagnosis in adults should be suspected in the presence of refractory hypertension, a careful physical examination being crucial to early diagnosis. Magnetic resonance angiography (MRA) techniques can accurately characterize cardiovascular anatomy, and also provide information regarding heart chamber and valve function.
Although rare, interrupted aortic arch (IAA) must be considered in the differential diagnosis of adults with refractory hypertension. A careful physical examination, with evaluation of femoral pulses and blood pressure in the four limbs, is essential for the diagnosis and for ensuring that the correct diagnosis is made promptly.This case highlights the value of magnetic resonance angiography (MRA) in radiation-free non-invasive evaluation of adults with congenital aortic abnormalities, as it may provide clinically important haemodynamic information.Only a few cases have been reported in adults. We present an unusual case in which the diagnosis was not made until adulthood.
主动脉弓中断(IAA)是一种罕见的先天性异常,成人病例报道较少。它被定义为升主动脉和降主动脉之间的连续性完全丧失,通常与其他心脏缺陷相关。成人出现难治性高血压时应怀疑此病,仔细的体格检查对早期诊断至关重要。磁共振血管造影(MRA)技术可以准确地描绘心血管解剖结构,还能提供有关心腔和瓣膜功能的信息。
尽管罕见,但在成人难治性高血压的鉴别诊断中必须考虑主动脉弓中断(IAA)。仔细的体格检查,包括评估股动脉搏动和四肢血压,对诊断以及确保及时做出正确诊断至关重要。本病例突出了磁共振血管造影(MRA)在对先天性主动脉异常成人进行无辐射非侵入性评估中的价值,因为它可能提供具有临床重要性的血流动力学信息。成人病例报道较少。我们呈现了一例不寻常的病例,该病例直到成年才得以诊断。