Suppr超能文献

大鼠中抗坏血酸对脂多糖诱导的肺部炎症的减轻作用:组织病理学和超微结构研究

Attenuation of lipopolysaccharide-induced lung inflammation by ascorbic acid in rats: Histopathological and ultrastructural study.

作者信息

Mohamed Hazem Abdelhamid, Elbastawisy Yasser M, Elsaed Wael M

机构信息

Department of Anatomy and Embryology, Faculty of Medicine, Taibah University, Madinah, Saudi Arabia.

Department of Human Anatomy and Embryology, Faculty of Medicine, Assiut University, Assiut, Egypt.

出版信息

SAGE Open Med. 2019 Feb 4;7:2050312119828260. doi: 10.1177/2050312119828260. eCollection 2019.

Abstract

INTRODUCTION

Lipopolysaccharide is a bacterial endotoxin that induces acute lung injury in experimental animals, which is similar to acute respiratory distress syndrome in humans. The induced tissue trauma ends in fibrosis. Understanding the pathogenesis is important in the prevention and treatment of the complications. This study was assigned to investigate the long-term lipopolysaccharide-induced lung injury and the postulated protective effect of ascorbic acid on these changes.

MATERIALS AND METHODS

Twenty-four adult male albino rats were divided into three groups. Group I was the controls, group II received lipopolysaccharide and group III received lipopolysaccharide and ascorbic acid. After 30 days of starting treatment, lung tissue samples were obtained.

RESULTS

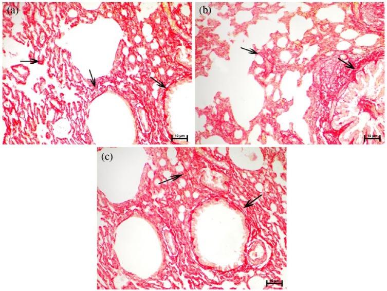
Group II lung tissues showed marked thickening of the alveolar septa with collapsed alveolar sacs, detached bronchial epithelium, inflammatory cell infiltration and excessive deposition of collagen. Group III showed mild thickening of the alveolar walls, scanty inflammatory cell infiltration, mild parabronchial fibrosis and less marked collagen deposition. α-Smooth muscle actin staining of group II showed marked expression of the actin-positive cells. Less potential expression of the dye was found in group III. Ultrastructural examination of group II showed evident structural changes in pneumocytes with capillary basement membrane irregularity and interruption compared to uniform basement membrane in group III with less prominent intracellular changes in pneumocytes.

CONCLUSION

Ascorbic acid attenuated the inflammatory response and fibrosis in the lungs of rats treated with lipopolysaccharide as evidenced by the histological, immunohistochemical and ultrastructural studies.

摘要

引言

脂多糖是一种细菌内毒素,可在实验动物中诱发急性肺损伤,这与人类的急性呼吸窘迫综合征相似。诱发的组织损伤最终会导致纤维化。了解发病机制对于预防和治疗并发症很重要。本研究旨在调查长期脂多糖诱导的肺损伤以及维生素C对这些变化的假定保护作用。

材料与方法

将24只成年雄性白化大鼠分为三组。第一组为对照组,第二组接受脂多糖,第三组接受脂多糖和维生素C。开始治疗30天后,获取肺组织样本。

结果

第二组肺组织显示肺泡间隔明显增厚,肺泡囊塌陷,支气管上皮脱落,炎症细胞浸润以及胶原蛋白过度沉积。第三组显示肺泡壁轻度增厚,炎症细胞浸润较少,支气管旁轻度纤维化且胶原蛋白沉积不太明显。第二组的α-平滑肌肌动蛋白染色显示肌动蛋白阳性细胞有明显表达。第三组中该染料的潜在表达较少。与第三组中均匀的基底膜相比,第二组的超微结构检查显示肺细胞有明显的结构变化,毛细血管基底膜不规则且中断,肺细胞内变化不太明显。

结论

组织学、免疫组织化学和超微结构研究表明,维生素C减轻了脂多糖处理大鼠肺部的炎症反应和纤维化。

https://cdn.ncbi.nlm.nih.gov/pmc/blobs/ec28/6365996/e832f54489b3/10.1177_2050312119828260-fig1.jpg

文献AI研究员

20分钟写一篇综述,助力文献阅读效率提升50倍。

立即体验

用中文搜PubMed

大模型驱动的PubMed中文搜索引擎

马上搜索

文档翻译

学术文献翻译模型,支持多种主流文档格式。

立即体验