• 文献检索
  • 文档翻译
  • 深度研究
  • 学术资讯
  • Suppr Zotero 插件Zotero 插件
  • 邀请有礼
  • 套餐&价格
  • 历史记录
应用&插件
Suppr Zotero 插件Zotero 插件浏览器插件Mac 客户端Windows 客户端微信小程序
定价
高级版会员购买积分包购买API积分包
服务
文献检索文档翻译深度研究API 文档MCP 服务
关于我们
关于 Suppr公司介绍联系我们用户协议隐私条款
关注我们

Suppr 超能文献

核心技术专利:CN118964589B侵权必究
粤ICP备2023148730 号-1Suppr @ 2026

文献检索

告别复杂PubMed语法,用中文像聊天一样搜索,搜遍4000万医学文献。AI智能推荐,让科研检索更轻松。

立即免费搜索

文件翻译

保留排版,准确专业,支持PDF/Word/PPT等文件格式,支持 12+语言互译。

免费翻译文档

深度研究

AI帮你快速写综述,25分钟生成高质量综述,智能提取关键信息,辅助科研写作。

立即免费体验

血管内双J支架移位:一例报告、综述及处理策略

Intravascular double J stent migration: A case report, review, and management algorithm.

作者信息

Tilborghs Sam, Vaganée Donald, De Wachter Stefan, Hoekx Lucien

机构信息

Department of Urology, University of Antwerp, Antwerp, Belgium.

Department of Urology, Antwerp University Hospital, Edegem, Belgium.

出版信息

Urol Ann. 2019 Jan-Mar;11(1):93-97. doi: 10.4103/UA.UA_52_18.

DOI:10.4103/UA.UA_52_18
PMID:30787580
原文链接:https://pmc.ncbi.nlm.nih.gov/articles/PMC6362790/
Abstract

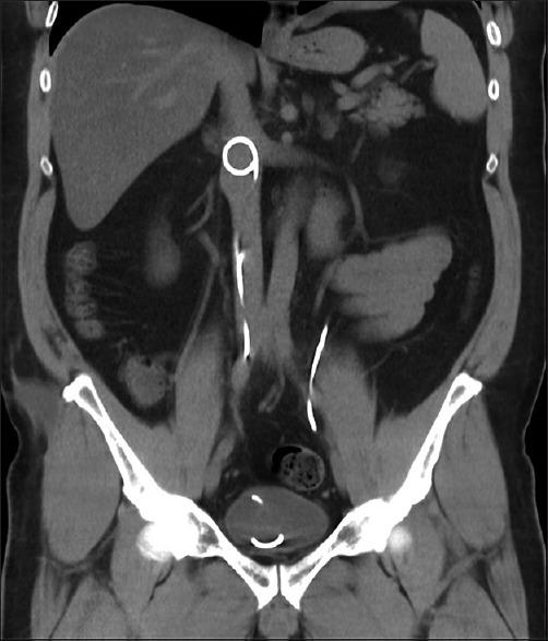
A double J stent (DJS) is the main therapy for ureteral obstruction when conservative treatment fails. Antegrade migration in the bladder - or retrograde migration in the ureter - are well-known complications. We present a case with intravascular migration of a DJS into the inferior vena cava. Inferior venocavagraphy confirmed the position of the stent, and thrombus formation was excluded at its tip. The stent was retracted endoscopically. After the procedure, limited contrast leakage was seen at the perforation site on venography. The current available literature is reviewed. Based on this, a management algorithm is drawn up.

摘要

双J管(DJS)是保守治疗失败后输尿管梗阻的主要治疗方法。膀胱内顺行迁移或输尿管内逆行迁移是众所周知的并发症。我们报告一例双J管血管内迁移至下腔静脉的病例。下腔静脉造影证实了支架的位置,并排除了其尖端血栓形成。通过内镜将支架取出。术后,静脉造影显示穿孔部位有少量造影剂渗漏。本文回顾了现有的文献,并据此制定了处理流程。

https://cdn.ncbi.nlm.nih.gov/pmc/blobs/6695/6362790/fbc28df20313/UA-11-93-g003.jpg
https://cdn.ncbi.nlm.nih.gov/pmc/blobs/6695/6362790/c18062f82fad/UA-11-93-g001.jpg
https://cdn.ncbi.nlm.nih.gov/pmc/blobs/6695/6362790/993a47d8fbee/UA-11-93-g002.jpg
https://cdn.ncbi.nlm.nih.gov/pmc/blobs/6695/6362790/fbc28df20313/UA-11-93-g003.jpg
https://cdn.ncbi.nlm.nih.gov/pmc/blobs/6695/6362790/c18062f82fad/UA-11-93-g001.jpg
https://cdn.ncbi.nlm.nih.gov/pmc/blobs/6695/6362790/993a47d8fbee/UA-11-93-g002.jpg
https://cdn.ncbi.nlm.nih.gov/pmc/blobs/6695/6362790/fbc28df20313/UA-11-93-g003.jpg

相似文献

1
Intravascular double J stent migration: A case report, review, and management algorithm.血管内双J支架移位:一例报告、综述及处理策略
Urol Ann. 2019 Jan-Mar;11(1):93-97. doi: 10.4103/UA.UA_52_18.
2
Migration of a double J stent into the inferior vena cava: A case report.双J管移位至下腔静脉:一例报告。
Medicine (Baltimore). 2019 May;98(20):e15668. doi: 10.1097/MD.0000000000015668.
3
A Prospective Randomized Comparison of a Covered Metallic Ureteral Stent and a Double-J Stent for Malignant Ureteral Obstruction.一种覆膜金属输尿管支架与双 J 支架治疗恶性输尿管梗阻的前瞻性随机比较。
Korean J Radiol. 2018 Jul-Aug;19(4):606-612. doi: 10.3348/kjr.2018.19.4.606. Epub 2018 Jun 14.
4
Laparoscopic Management of a Misplaced Ureteral Stent in the Duodenum.十二指肠内误置输尿管支架的腹腔镜处理
J Endourol Case Rep. 2020 Dec 29;6(4):451-453. doi: 10.1089/cren.2020.0178. eCollection 2020.
5
Endovascular removal of a misplaced ureteral stent in the vena cava: a complication of ultrasound-guided percutaneous nephrolithotomy.
Clin Case Rep. 2020 Nov 22;9(1):77-79. doi: 10.1002/ccr3.3429. eCollection 2021 Jan.
6
Double J stent malposition in the inferior vena cava: Two case reports and a literature review.双J管在下腔静脉内位置异常:两例病例报告及文献综述
Front Surg. 2022 Oct 21;9:910572. doi: 10.3389/fsurg.2022.910572. eCollection 2022.
7
Injury to the inferior vena cava as a complication of ureteral splint insertion - case report.输尿管支架置入术并发症致下腔静脉损伤——病例报告
Rozhl Chir. 2019 Summer;98(8):335-338. doi: 10.33699/PIS.2019.98.8.335-338.
8
Caval migration of a ureteral J-stent after simultaneous ureter and iliac vein perforation during its placement for obstructive pyelonephritis.在为梗阻性肾盂肾炎放置输尿管J形支架时,输尿管和髂静脉同时穿孔后输尿管J形支架的下腔静脉移位。
Int Angiol. 2009 Oct;28(5):421-4.
9
Ureteral double J stent displaced into vena cava and management with laparoscopy: A case report and review of the literature.输尿管双J支架移位至腔静脉并经腹腔镜处理:一例病例报告及文献复习
World J Clin Cases. 2018 Dec 26;6(16):1160-1163. doi: 10.12998/wjcc.v6.i16.1160.
10
Intracaval migration: an uncommon complication of ureteral Double-J stent placement.腔静脉内迁移:双 J 输尿管支架置入术的一种不常见并发症。
J Endourol. 2012 Feb;26(2):119-21. doi: 10.1089/end.2011.0469. Epub 2012 Jan 4.

引用本文的文献

1
Combined ureteroscopy and percutaneous nephroscopy in the oblique supine position successfully treated a ureteral double J stent misaligned to the inferior vena cava.斜仰卧位联合输尿管镜和经皮肾镜成功治疗了一枚与下腔静脉错位的输尿管双J支架。
Am J Transl Res. 2025 Feb 15;17(2):1162-1169. doi: 10.62347/SWQO7641. eCollection 2025.
2
Inferior vena cava invasion by double-J stent.双J支架导致下腔静脉侵犯。
World J Emerg Med. 2025;16(1):97-98. doi: 10.5847/wjem.j.1920-8642.2025.015.
3
Asymptomatic migration of ureteral stent to superior vena cava after ultrasound-guided percutaneous nephrolithotomy: An extremely rare case and review of the literature.

本文引用的文献

1
Intracaval Migration of Ureteral Stent.输尿管支架的腔静脉内移位
J Belg Soc Radiol. 2015 Sep 15;99(1):28-30. doi: 10.5334/jbr-btr.842.
2
Intracaval misplacement of a double-J ureteral stent.双J输尿管支架管腔静脉内误置
BMJ Case Rep. 2018 Feb 8;2018:bcr-2017-221713. doi: 10.1136/bcr-2017-221713.
3
An Extremely Rare Complication of Ureteral Pigtail Stent Placement: A Case Report.输尿管猪尾支架置入术的一种极其罕见的并发症:病例报告
超声引导下经皮肾镜取石术后输尿管支架无症状迁移至上腔静脉:1例极其罕见的病例及文献复习
Urol Case Rep. 2024 Nov 21;58:102891. doi: 10.1016/j.eucr.2024.102891. eCollection 2025 Jan.
4
Effect of ureteral stent length and implantation position on migration after implantation.输尿管支架长度和植入位置对植入后迁移的影响。
Med Biol Eng Comput. 2023 Aug;61(8):2067-2076. doi: 10.1007/s11517-023-02856-5. Epub 2023 Jun 15.
5
Double J stent malposition in the inferior vena cava: Two case reports and a literature review.双J管在下腔静脉内位置异常:两例病例报告及文献综述
Front Surg. 2022 Oct 21;9:910572. doi: 10.3389/fsurg.2022.910572. eCollection 2022.
6
Endovascular removal of a misplaced ureteral stent in the vena cava: a complication of ultrasound-guided percutaneous nephrolithotomy.
Clin Case Rep. 2020 Nov 22;9(1):77-79. doi: 10.1002/ccr3.3429. eCollection 2021 Jan.
7
A ureteral single-J stent in the right atrium: a case report.一枚位于右心房的输尿管单J管:病例报告
J Med Case Rep. 2020 Sep 20;14(1):159. doi: 10.1186/s13256-020-02473-y.
8
Management of inadvertent intracaval placement of JJ stents and intracardiac migration during PCNL: Report of 1 extremely rare case.经皮肾镜取石术期间 JJ 支架意外置入腔静脉及心脏内迁移的处理:1 例极罕见病例报告
Urol Case Rep. 2020 May 25;33:101273. doi: 10.1016/j.eucr.2020.101273. eCollection 2020 Nov.
9
The mystery of the ureteric stent in the lumen of the terminal ileum.末端回肠腔内输尿管支架的谜团。
BMJ Case Rep. 2020 Mar 31;13(3):e233123. doi: 10.1136/bcr-2019-233123.
Nephrourol Mon. 2016 Apr 16;8(3):e36527. doi: 10.5812/numonthly.36527. eCollection 2016 May.
4
Intracardiac migration of ureteral double-J stent: A case report and review.输尿管双J支架管心内移位:1例报告及文献复习
Can Urol Assoc J. 2015 Sep-Oct;9(9-10):E661-4. doi: 10.5489/cuaj.2884. Epub 2015 Sep 9.
5
Double J ureteral stent displaced through the right ventricle.双J型输尿管支架移位至右心室。
Interact Cardiovasc Thorac Surg. 2014 Jun;18(6):853-4. doi: 10.1093/icvts/ivu037. Epub 2014 Mar 14.
6
Migration of double J stent into the inferior vena cava and the right atrium.双J管移位至下腔静脉及右心房。
Indian J Urol. 2013 Oct;29(4):353-4. doi: 10.4103/0970-1591.120125.
7
Re: Intracaval migration: an uncommon complication of ureteral double-J stent placement. (From: Falahatkar S, Hemmati H, Gholamjani Moghaddam K. J Endourol 2012;26:119–121).回复:腔静脉内移位:输尿管双J支架置入术的一种罕见并发症。(来自:Falahatkar S,Hemmati H,Gholamjani Moghaddam K。《腔内泌尿外科杂志》2012年;26:119 - 121)
J Endourol. 2013 Aug;27(8):1069-71. doi: 10.1089/end.2012.0656. Epub 2013 May 9.
8
Early thrombus removal strategies for acute deep venous thrombosis: clinical practice guidelines of the Society for Vascular Surgery and the American Venous Forum.急性深静脉血栓形成的早期血栓清除策略:血管外科学会和美国静脉论坛的临床实践指南。
J Vasc Surg. 2012 May;55(5):1449-62. doi: 10.1016/j.jvs.2011.12.081. Epub 2012 Apr 1.
9
Re: Intracaval migration: an uncommon complication of ureteral double-J stent placement. (From: Falahatkar S, Hemmati H, Gholamjani Moghaddam K. J Endourol 2012;26:119-121).回复:腔静脉内移位:输尿管双J支架置入术的一种罕见并发症。(来自:Falahatkar S,Hemmati H,Gholamjani Moghaddam K。《腔内泌尿外科杂志》2012年;26:119 - 121)
J Endourol. 2012 Aug;26(8):1100-1; author reply 1102. doi: 10.1089/end.2012.0038. Epub 2012 Jun 25.
10
Intracaval migration: an uncommon complication of ureteral Double-J stent placement.腔静脉内迁移:双 J 输尿管支架置入术的一种不常见并发症。
J Endourol. 2012 Feb;26(2):119-21. doi: 10.1089/end.2011.0469. Epub 2012 Jan 4.