Suppr超能文献

己酮可可碱与丙酸氯倍他索治疗皮肤结节性多动脉炎:病例报告

Cutaneous Polyarteritis Nodosa Treated with Pentoxifylline and Clobetasol Propionate: A Case Report.

作者信息

Alquorain Nada Abdulaziz A, Aljabr Abdullah Salih H, Alghamdi Nada Juman

机构信息

Department of Dermatology, King Fahd Hospital of the University, Imam Abdulrahman Bin Faisal University, Dammam, Saudi Arabia.

出版信息

Saudi J Med Med Sci. 2018 May-Aug;6(2):104-107. doi: 10.4103/sjmms.sjmms_148_16. Epub 2018 Apr 16.

Abstract

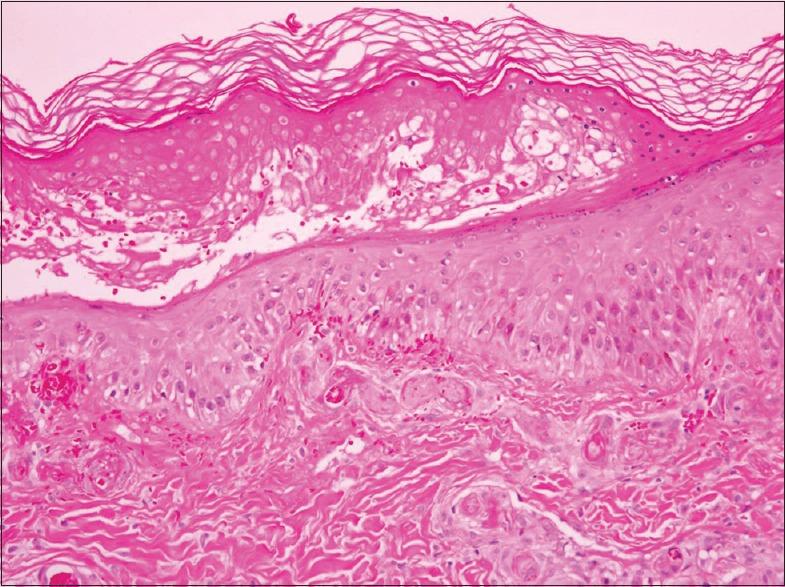
Cutaneous polyarteritis nodosa is a rare type of cutaneous vasculitis. It affects the small- and medium-sized arteries of the dermis and subcutaneous tissue without extracutaneous involvement. The diagnosis is by skin biopsy, and the characteristic finding is a leukocytoclastic vasculitis. We report a case of a 14-year-old Saudi girl who was referred to the dermatology service because of multiple ulceronecrotic lesions on the frontal aspects of the distal lower limbs. She had past medical consultations and treatment but without improvement. The histopathology confirmed the clinical diagnosis of cPAN, and ultimately, she responded to treatment with pentoxifylline and topical clobetasol propionate. It is important to be aware of this disease and refer the patient to the dermatology service for the appropriate evaluation and treatment.

摘要

皮肤型结节性多动脉炎是一种罕见的皮肤血管炎。它累及真皮和皮下组织的中小动脉,不累及皮肤外组织。诊断依靠皮肤活检,特征性表现为白细胞破碎性血管炎。我们报告一例14岁沙特女孩,因双下肢远端前部多发溃疡坏死性皮损转诊至皮肤科。她曾接受过多次医学咨询和治疗,但均无改善。组织病理学证实了临床诊断为皮肤型结节性多动脉炎,最终,她对己酮可可碱和外用丙酸氯倍他索治疗有反应。认识到这种疾病并将患者转诊至皮肤科进行适当评估和治疗很重要。

https://cdn.ncbi.nlm.nih.gov/pmc/blobs/fa29/6196709/0c714b45a294/SJMMS-6-104-g001.jpg

相似文献

1
Cutaneous Polyarteritis Nodosa Treated with Pentoxifylline and Clobetasol Propionate: A Case Report.
Saudi J Med Med Sci. 2018 May-Aug;6(2):104-107. doi: 10.4103/sjmms.sjmms_148_16. Epub 2018 Apr 16.
2
Cutaneous polyarteritis nodosa: A rare isolated cutaneous vasculitis.
Indian Dermatol Online J. 2012 Jan;3(1):21-4. doi: 10.4103/2229-5178.93488.
3
Cutaneous polyarteritis nodosa and pulmonary arterial hypertension: An unexpected liaison. A case report.
Medicine (Baltimore). 2023 Dec 15;102(50):e36563. doi: 10.1097/MD.0000000000036563.
4
Ulcerative cutaneous polyarteritis nodosa treated with mycophenolate mofetil and pentoxifylline.
J Dermatolog Treat. 2011 Jun;22(3):175-7. doi: 10.3109/09546631003636809. Epub 2010 Jul 28.
5
A case report of cutaneous polyarteritis nodosa in siblings.
Mod Rheumatol. 2018 Nov;28(6):1049-1052. doi: 10.1080/14397595.2016.1189139. Epub 2016 Jun 14.
6
Cutaneous polyarteritis nodosa successfully treated with topical diflucortolone valerate: a case report & review of the literature.
Pediatr Rheumatol Online J. 2014 Oct 10;12:46. doi: 10.1186/1546-0096-12-46. eCollection 2014.
8
Cutaneous polyarteritis nodosa in a child.
Pediatr Dermatol. 1998 Mar-Apr;15(2):103-7. doi: 10.1046/j.1525-1470.1998.1998015103.x.
9
Young male patient diagnosed with cutaneous polyarteritis nodosa successfully treated with etanercept.
Mod Rheumatol. 2014 Jul;24(4):688-9. doi: 10.3109/14397595.2013.874737.
10
Cutaneous polyarteritis nodosa in patients presenting with atrophie blanche.
Br J Dermatol. 2003 Apr;148(4):789-94. doi: 10.1046/j.1365-2133.2003.05176.x.

本文引用的文献

1
Epidemiological, clinical and laboratory profiles of cutaneous polyarteritis nodosa patients: Report of 22 cases and literature review.
Autoimmun Rev. 2016 Jun;15(6):558-63. doi: 10.1016/j.autrev.2016.02.010. Epub 2016 Feb 11.
2
Dermatologic Features of ADA2 Deficiency in Cutaneous Polyarteritis Nodosa.
JAMA Dermatol. 2015 Nov;151(11):1230-4. doi: 10.1001/jamadermatol.2015.1635.
3
Cutaneous polyarteritis nodosa successfully treated with topical diflucortolone valerate: a case report & review of the literature.
Pediatr Rheumatol Online J. 2014 Oct 10;12:46. doi: 10.1186/1546-0096-12-46. eCollection 2014.
4
Cutaneous polyarteritis nodosa: an update.
Ann Vasc Dis. 2012;5(3):282-8. doi: 10.3400/avd.ra.12.00061.
5
Cutaneous polyarteritis nodosa: A rare isolated cutaneous vasculitis.
Indian Dermatol Online J. 2012 Jan;3(1):21-4. doi: 10.4103/2229-5178.93488.
6
Cutaneous polyarteritis nodosa in childhood: a case report and review of the literature.
Arthritis. 2010;2010:687547. doi: 10.1155/2010/687547. Epub 2010 Nov 24.
7
Ulcerative cutaneous polyarteritis nodosa treated with mycophenolate mofetil and pentoxifylline.
J Dermatolog Treat. 2011 Jun;22(3):175-7. doi: 10.3109/09546631003636809. Epub 2010 Jul 28.
8
Cutaneous polyarteritis nodosa: a comprehensive review.
Int J Dermatol. 2010 Jul;49(7):750-6. doi: 10.1111/j.1365-4632.2010.04522.x.
10
Cutaneous polyarteritis nodosa: revisiting its definition and diagnostic criteria.
Arch Dermatol Res. 2009 Jan;301(1):117-21. doi: 10.1007/s00403-008-0898-2. Epub 2008 Sep 19.

文献AI研究员

20分钟写一篇综述,助力文献阅读效率提升50倍。

立即体验

用中文搜PubMed

大模型驱动的PubMed中文搜索引擎

马上搜索

文档翻译

学术文献翻译模型,支持多种主流文档格式。

立即体验