Suppr超能文献

腹壁塌陷:一名年轻女孩前腹壁肿瘤的破坏性与重建性手术

Collapsed wall: destructive and reconstructive surgery of anterior abdominal wall tumour in a young girl.

作者信息

Che Ghazali Khairunnisa, Mazian Haniif Ahmad, Keat Kim Choon, Kai Michael Wong Pak, Md Hashim Mohd Nizam, Zakaria Andee Dzulkarnaen, Zain Wan Zainira Wan, Zakaria Zaidi, Saad Arman Zaharil Mat, Sulaiman Wan Azman Wan, Zaidi Nurul Atiqah Ahmad, Jaafar Hasnan

机构信息

Department of General Surgery, School of Medical Sciences, Universiti Sains Malaysia, Malaysia.

Hospital Universiti Sains Malaysia, Universiti Sains Malaysia, Kota Bharu, Malaysia.

出版信息

J Surg Case Rep. 2019 Feb 8;2019(2):rjy345. doi: 10.1093/jscr/rjy345. eCollection 2019 Feb.

Abstract

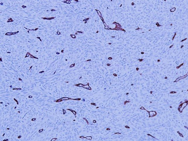
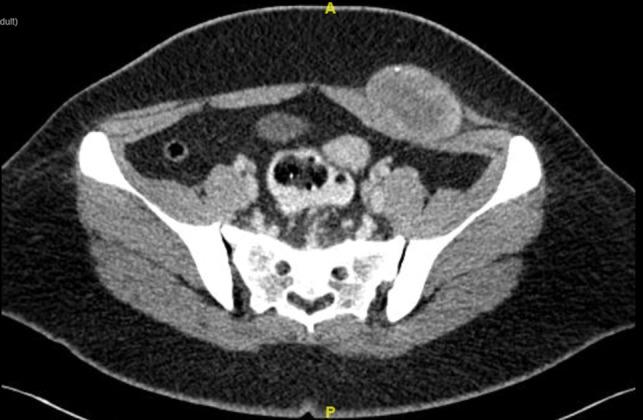
Natural history of abdominal wall soft tissue sarcoma is still poorly understood due to its rarity. In unpublished data of our institution, only seven cases of abdominal wall soft sarcoma with ICD-10 coding of 49.4 were found for past 10 years. We illustrate a case of juvenile fibrosarcoma of anterior abdominal wall. This is a case of young girl with anterior abdominal wall tumour, underwent wide local excision with immediate reconstruction. There are few options of surgical treatment for this case, but which is the best. It is always a challenge in managing young patient with giant abdominal wall defect in view of long term effect namely weakened abdominal wall, pregnancy related issue and risk of herniation and surgical site recurrence as well.

摘要

由于腹壁软组织肉瘤罕见,其自然病史仍未得到充分了解。在我们机构未发表的数据中,过去10年仅发现7例国际疾病分类第十版(ICD-10)编码为49.4的腹壁软组织肉瘤。我们展示了一例前腹壁青少年纤维肉瘤病例。这是一名患有前腹壁肿瘤的年轻女孩,接受了广泛局部切除并立即进行了重建。该病例的手术治疗选择有限,但哪种是最佳选择呢?鉴于长期影响,即腹壁薄弱、妊娠相关问题以及疝形成和手术部位复发的风险,对于患有巨大腹壁缺损的年轻患者进行管理始终是一项挑战。

https://cdn.ncbi.nlm.nih.gov/pmc/blobs/1852/6368141/ed74124ffb4f/rjy345f01.jpg

文献AI研究员

20分钟写一篇综述,助力文献阅读效率提升50倍。

立即体验

用中文搜PubMed

大模型驱动的PubMed中文搜索引擎

马上搜索

文档翻译

学术文献翻译模型,支持多种主流文档格式。

立即体验