Suppr超能文献

Severe Restrictive Lung Disease in One of the Oldest Documented Males With Coffin-Lowry Syndrome.

作者信息

Venter Frederick, Evans Andrew, Fontes Claudia, Stewart Carol

机构信息

1 Kern Medical Center, Bakersfield, CA, USA.

2 Rio Bravo Family Medicine Residency Program, Bakersfield, CA, USA.

出版信息

J Investig Med High Impact Case Rep. 2019 Jan-Dec;7:2324709618820660. doi: 10.1177/2324709618820660.

Abstract

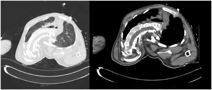
Coffin-Lowry syndrome is expressed as different phenotypes in males and females. In males, it is characterized by facial abnormalities, marked developmental disability, and skeletal changes. Approximately 80% of cases are associated with kyphoscoliosis, which can be quite severe, as seen in our patient, causing paraplegia and restrictive lung disease. In this article, we present the third oldest documented male case of Coffin-Lowry syndrome with severe kyphoscoliosis, paraplegia, and restrictive lung disease.

摘要
https://cdn.ncbi.nlm.nih.gov/pmc/blobs/2169/6350156/524d8733b6ca/10.1177_2324709618820660-fig1.jpg

相似文献

1
Severe Restrictive Lung Disease in One of the Oldest Documented Males With Coffin-Lowry Syndrome.
J Investig Med High Impact Case Rep. 2019 Jan-Dec;7:2324709618820660. doi: 10.1177/2324709618820660.
2
Cardiomyopathy in Coffin-Lowry syndrome.
Am J Med Genet A. 2004 Jul 15;128A(2):176-8. doi: 10.1002/ajmg.a.30056.
5
RSK2 gene mutations in Coffin-Lowry syndrome with drop episodes.
Brain Dev. 2005 Mar;27(2):114-7. doi: 10.1016/j.braindev.2004.02.015.
6
Coffin-Lowry syndrome.
Eur J Hum Genet. 2010 Jun;18(6):627-33. doi: 10.1038/ejhg.2009.189. Epub 2009 Nov 4.
7
Periventricular small cystic lesions in a patient with Coffin-Lowry syndrome who exhibited a novel mutation in the RPS6KA3 gene.
Brain Dev. 2018 Aug;40(7):566-569. doi: 10.1016/j.braindev.2018.03.012. Epub 2018 Apr 17.
10
Coffin-Lowry syndrome and left ventricular noncompaction cardiomyopathy with a restrictive pattern.
Am J Med Genet A. 2011 Dec;155A(12):3030-4. doi: 10.1002/ajmg.a.33856. Epub 2011 Oct 18.

本文引用的文献

1
The natural history of spinal deformity in patients with Coffin-Lowry syndrome.
J Child Orthop. 2018 Feb 1;12(1):70-75. doi: 10.1302/1863-2548.12.170101.
2
Coffin-Lowry syndrome.
Eur J Hum Genet. 2010 Jun;18(6):627-33. doi: 10.1038/ejhg.2009.189. Epub 2009 Nov 4.
3
Mutations in the RSK2(RPS6KA3) gene cause Coffin-Lowry syndrome and nonsyndromic X-linked mental retardation.
Clin Genet. 2006 Dec;70(6):509-15. doi: 10.1111/j.1399-0004.2006.00723.x.
4
Coffin-Lowry syndrome: a 20-year follow-up and review of long-term outcomes.
Am J Med Genet. 2002 Sep 1;111(4):345-55. doi: 10.1002/ajmg.10574.
5
Mutations in the X-linked RSK2 gene (RPS6KA3) in patients with Coffin-Lowry syndrome.
Hum Mutat. 2001 Feb;17(2):103-16. doi: 10.1002/1098-1004(200102)17:2<103::AID-HUMU2>3.0.CO;2-N.
7
Coffin-Lowry syndrome: a multicenter study.
Clin Genet. 1988 Oct;34(4):230-45. doi: 10.1111/j.1399-0004.1988.tb02870.x.
8
The Coffin-Lowry syndrome: an inherited faciodigital mental retardation syndrome.
J Pediatr. 1975 May;86(5):724-31. doi: 10.1016/s0022-3476(75)80357-x.

文献AI研究员

20分钟写一篇综述,助力文献阅读效率提升50倍。

立即体验

用中文搜PubMed

大模型驱动的PubMed中文搜索引擎

马上搜索

文档翻译

学术文献翻译模型,支持多种主流文档格式。

立即体验