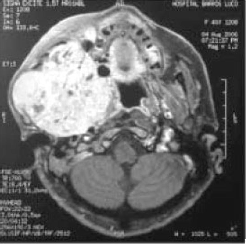
Estrada Alarcón Natalia, Muquebil Alí Al-Shaban Rodríguez Omar Walid, Tuñón Gorgojo Lorena
Área VII de Atención Primaria de Asturias, Mieres, Asturias, España.
Área VII de Atención Primaria de Asturias, Mieres, Asturias, España.
Aten Primaria. 2019 Oct;51(8):523-524. doi: 10.1016/j.aprim.2018.12.004. Epub 2019 Feb 18.