Pant Bhawna, Carvalho Karla, Dhupar Anita, Spadigam Anita
Department of Oral and Maxillofacial Pathology, Goa Dental College and Hospital, Bambolim, Goa, India.
Int J Appl Basic Med Res. 2019 Jan-Mar;9(1):58-61. doi: 10.4103/ijabmr.IJABMR_205_18.
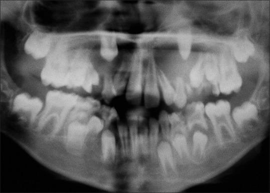
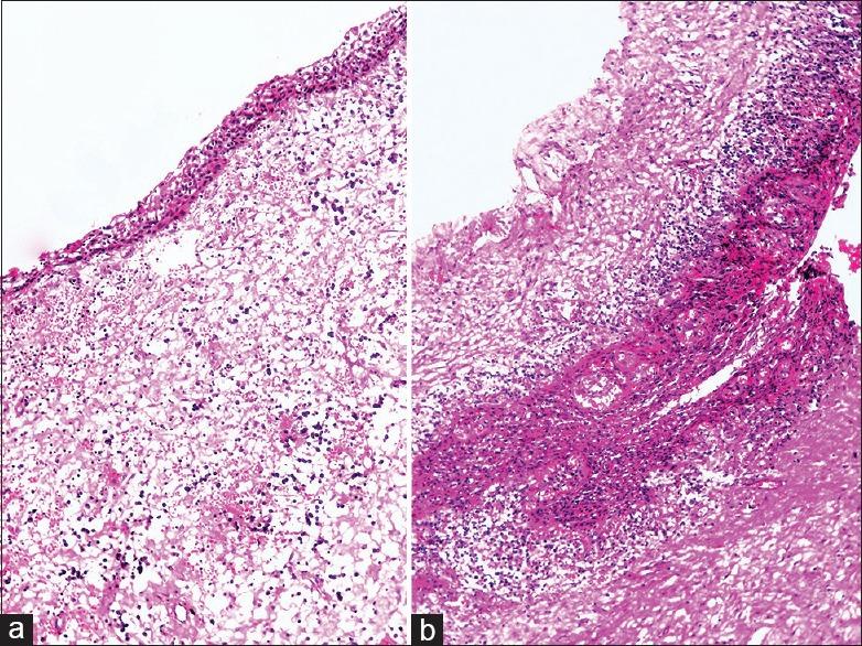
Dentigerous cysts are the most common developmental cysts of the jaws, accounting for approximately 20% of all jaw cysts. These cysts are usually unilateral, surrounding the crowns of impacted mandibular third molars. Bilateral dentigerous cysts have been associated with syndromes such as cleidocranial dysplasia and Maroteaux-Lamy syndrome. Nonsyndromic bilateral dentigerous cysts are extremely rare, particularly in the mixed dentition. Seventeen such cases have been reported till date. This article reports the eighteenth case of bilateral dentigerous cysts involving permanent maxillary canines in a 10-year-old boy.
含牙囊肿是颌骨最常见的发育性囊肿,约占所有颌骨囊肿的20%。这些囊肿通常为单侧,围绕着阻生下颌第三磨牙的牙冠。双侧含牙囊肿与锁骨颅骨发育不全和马罗托-拉米综合征等综合征有关。非综合征性双侧含牙囊肿极为罕见,尤其是在混合牙列期。迄今为止,已报道了17例此类病例。本文报告了第18例双侧含牙囊肿累及一名10岁男孩的恒牙上颌尖牙的病例。