• 文献检索
  • 文档翻译
  • 深度研究
  • 学术资讯
  • Suppr Zotero 插件Zotero 插件
  • 邀请有礼
  • 套餐&价格
  • 历史记录
应用&插件
Suppr Zotero 插件Zotero 插件浏览器插件Mac 客户端Windows 客户端微信小程序
定价
高级版会员购买积分包购买API积分包
服务
文献检索文档翻译深度研究API 文档MCP 服务
关于我们
关于 Suppr公司介绍联系我们用户协议隐私条款
关注我们

Suppr 超能文献

核心技术专利:CN118964589B侵权必究
粤ICP备2023148730 号-1Suppr @ 2026

文献检索

告别复杂PubMed语法,用中文像聊天一样搜索,搜遍4000万医学文献。AI智能推荐,让科研检索更轻松。

立即免费搜索

文件翻译

保留排版,准确专业,支持PDF/Word/PPT等文件格式,支持 12+语言互译。

免费翻译文档

深度研究

AI帮你快速写综述,25分钟生成高质量综述,智能提取关键信息,辅助科研写作。

立即免费体验

巨大嗜铬细胞瘤患者择期手术期间的严重血流动力学不稳定:一例报告

Severe hemodynamic instability during elective surgery for a patient with a giant pheochromocytoma: A case report.

作者信息

Hu J Y, Wang C, Wang H B, Chen P X, Zhen Z J, Lau W Y

机构信息

Department of Hepatopancreas Surgery, The First People's Hospital of Foshan, Guangdong, China.

Department of Anesthesiology, The First People's Hospital of Foshan, Guangdong, China.

出版信息

Int J Surg Case Rep. 2019;56:59-62. doi: 10.1016/j.ijscr.2019.01.021. Epub 2019 Jan 30.

DOI:10.1016/j.ijscr.2019.01.021
PMID:30831508
原文链接:https://pmc.ncbi.nlm.nih.gov/articles/PMC6403170/
Abstract

INTRODUCTION

We present a patient with a huge pheochromocytoma who ran a stormy intraoperative course.

PRESENTATION OF CASE

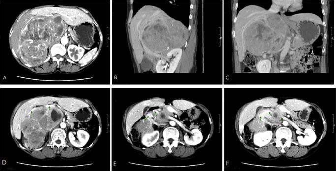
A 57-year-old woman underwent elective open surgery for a giant pheochromocytoma (16 × 15 × 10 cm) after adequate preoperative medical preparation. The patient developed severe hypertension on tumor mobilization followed bylife-threatening hypotensionwhen the tumor was removed. The hemodynamic instability was successfully managed. Histology showed a pheochromocytomawith tumor-free resection margins. The patient fully recoveredandthe hypertension completely resolved after the operation.

DISCUSSION

This is a rare and educational case report on a patient with a huge pheochromocytoma who was successfully managed by a multidisciplinary team of specialists.

CONCLUSION

Pheochromocytoma should be resected if technically possible. A multidisciplinary team approach is required for proper management.

摘要

引言

我们报告一例患有巨大嗜铬细胞瘤的患者,其术中过程波折。

病例介绍

一名57岁女性在经过充分的术前药物准备后,因巨大嗜铬细胞瘤(16×15×10厘米)接受了择期开放手术。在肿瘤游离过程中患者出现严重高血压,肿瘤切除时出现危及生命的低血压。血流动力学不稳定得到成功处理。组织学检查显示为嗜铬细胞瘤,切缘无肿瘤残留。患者术后完全康复,高血压完全缓解。

讨论

这是一份关于一名患有巨大嗜铬细胞瘤的患者的罕见且有教育意义的病例报告,该患者由多学科专家团队成功治疗。

结论

如果技术上可行,嗜铬细胞瘤应予以切除。需要采用多学科团队方法进行妥善管理。

https://cdn.ncbi.nlm.nih.gov/pmc/blobs/8a56/6403170/3590a1ccfcce/gr3.jpg
https://cdn.ncbi.nlm.nih.gov/pmc/blobs/8a56/6403170/8a817aa50440/gr1.jpg
https://cdn.ncbi.nlm.nih.gov/pmc/blobs/8a56/6403170/a6ebe29af8f3/gr2.jpg
https://cdn.ncbi.nlm.nih.gov/pmc/blobs/8a56/6403170/3590a1ccfcce/gr3.jpg
https://cdn.ncbi.nlm.nih.gov/pmc/blobs/8a56/6403170/8a817aa50440/gr1.jpg
https://cdn.ncbi.nlm.nih.gov/pmc/blobs/8a56/6403170/a6ebe29af8f3/gr2.jpg
https://cdn.ncbi.nlm.nih.gov/pmc/blobs/8a56/6403170/3590a1ccfcce/gr3.jpg

相似文献

1
Severe hemodynamic instability during elective surgery for a patient with a giant pheochromocytoma: A case report.巨大嗜铬细胞瘤患者择期手术期间的严重血流动力学不稳定:一例报告
Int J Surg Case Rep. 2019;56:59-62. doi: 10.1016/j.ijscr.2019.01.021. Epub 2019 Jan 30.
2
Diagnostic and surgical challenges of a giant pheochromocytoma in a resource limited setting-A case report.资源有限环境下巨大嗜铬细胞瘤的诊断与手术挑战——病例报告
Int J Surg Case Rep. 2018;50:111-115. doi: 10.1016/j.ijscr.2018.07.032. Epub 2018 Aug 1.
3
Pheochromocytoma - when acute medicine comes to the surgeon's rescue and vice versa. Case report of a patient presenting unmanageable haemodynamic instability during elective surgery for pheochromocytoma.嗜铬细胞瘤——当急症医学对外科医生施以援手,反之亦然。一例嗜铬细胞瘤择期手术期间出现难以控制的血流动力学不稳定患者的病例报告。
Acta Clin Belg. 2016 Jun;71(3):182-6. doi: 10.1179/2295333715Y.0000000069.
4
Multidisciplinary management of a large pheochromocytoma presenting with cardiogenic shock: a case report.多学科联合管理以心原性休克为表现的大型嗜铬细胞瘤:病例报告。
BMC Urol. 2019 Nov 20;19(1):118. doi: 10.1186/s12894-019-0554-5.
5
Pheochromocytoma and pregnancy: a case report and review of anesthetic management.嗜铬细胞瘤与妊娠:一例病例报告及麻醉管理综述
Can J Anaesth. 2004 Feb;51(2):134-8. doi: 10.1007/BF03018772.
6
Pheochromocytoma and pregnancy: complications and solutions (case report).嗜铬细胞瘤与妊娠:并发症及解决方案(病例报告)
Georgian Med News. 2012 Jul(208-209):76-82.
7
Management of paroxysmal hypertension due to incidental pheochromocytoma in pregnancy.妊娠期偶发性嗜铬细胞瘤所致阵发性高血压的管理
J Emerg Trauma Shock. 2011 Jul;4(3):415-7. doi: 10.4103/0974-2700.83876.
8
Surgical and Pharmacological Management of Functioning Pheochromocytoma and Paraganglioma功能性嗜铬细胞瘤和副神经节瘤的手术及药物治疗
9
Normotensive, Oversized Pheochromocytoma in Twin-Pregnancy: Analysis of Therapeutic Challenges in a Rare Case.双胎妊娠中血压正常、体积过大的嗜铬细胞瘤:罕见病例治疗挑战分析
Case Rep Urol. 2019 May 22;2019:7141060. doi: 10.1155/2019/7141060. eCollection 2019.
10
[Pheochromocytoma giant cystic: a case report].[嗜铬细胞瘤巨大囊肿:一例报告]
Rev Gastroenterol Peru. 2017 Oct-Dec;37(4):374-378.

引用本文的文献

1
Transperitoneal laparoscopic adrenalectomy for the resection of large size pheochromocytoma: Case report and literature review.经腹腹腔镜肾上腺切除术治疗巨大嗜铬细胞瘤:病例报告及文献复习
Int J Surg Case Rep. 2020;71:353-359. doi: 10.1016/j.ijscr.2020.05.027. Epub 2020 May 23.

本文引用的文献

1
Laparoscopic adrenalectomy using the lateral retroperitoneal approach: Is it a safe and feasible treatment option for pheochromocytomas larger than 6 cm?经侧腹膜后入路腹腔镜肾上腺切除术:对于直径大于6cm的嗜铬细胞瘤,它是一种安全可行的治疗选择吗?
Int J Urol. 2018 May;25(5):414-419. doi: 10.1111/iju.13524. Epub 2018 Feb 25.
2
Single center experience with laparoscopic adrenalectomy on a large clinical series.在一个大型临床系列中进行腹腔镜肾上腺切除术的单中心经验。
BMC Surg. 2018 Jan 11;18(1):2. doi: 10.1186/s12893-017-0333-8.
3
Preoperative risk factors for haemodynamic instability during pheochromocytoma surgery in Chinese patients.
中国患者嗜铬细胞瘤手术期间血流动力学不稳定的术前危险因素。
Clin Endocrinol (Oxf). 2018 Mar;88(3):498-505. doi: 10.1111/cen.13544. Epub 2018 Jan 25.
4
Hemodynamic instability during surgery for pheochromocytoma: comparing the transperitoneal and retroperitoneal approach in a multicenter analysis of 341 patients.嗜铬细胞瘤手术期间的血流动力学不稳定:在一项对341例患者的多中心分析中比较经腹和腹膜后入路
Surgery. 2018 Jan;163(1):176-182. doi: 10.1016/j.surg.2017.05.029. Epub 2017 Nov 6.
5
Perioperative Management of Pheochromocytoma.嗜铬细胞瘤的围手术期管理
J Cardiothorac Vasc Anesth. 2017 Aug;31(4):1427-1439. doi: 10.1053/j.jvca.2017.02.023. Epub 2017 Feb 4.
6
Surgical Treatment of Malignant Pheochromocytoma and Paraganglioma: Retrospective Case Series.恶性嗜铬细胞瘤和副神经节瘤的外科治疗:回顾性病例系列
Ann Surg Oncol. 2017 Jun;24(6):1546-1550. doi: 10.1245/s10434-016-5739-5. Epub 2017 Jan 5.
7
The SCARE Statement: Consensus-based surgical case report guidelines.SCARE 声明:基于共识的外科手术病例报告指南。
Int J Surg. 2016 Oct;34:180-186. doi: 10.1016/j.ijsu.2016.08.014. Epub 2016 Sep 7.
8
Pheochromocytoma with Ventricular Tachycardia as the Presenting Symptom.以室性心动过速为首发症状的嗜铬细胞瘤
Chin Med J (Engl). 2016 Jun 20;129(12):1505-6. doi: 10.4103/0366-6999.183416.
9
Current concepts of pheochromocytoma.当前的嗜铬细胞瘤概念。
Int J Surg. 2014;12(5):469-74. doi: 10.1016/j.ijsu.2014.04.001. Epub 2014 Apr 12.
10
Pathophysiology and diagnosis of disorders of the adrenal medulla: focus on pheochromocytoma.肾上腺髓质疾病的病理生理学和诊断:重点关注嗜铬细胞瘤。
Compr Physiol. 2014 Apr;4(2):691-713. doi: 10.1002/cphy.c130034.