Suppr超能文献

ROS 导致 AKT 的幅度相关失活增加,导致 p53 线粒体易位和成肌细胞凋亡增加。

Stretching magnitude-dependent inactivation of AKT by ROS led to enhanced p53 mitochondrial translocation and myoblast apoptosis.

机构信息

Department of Stomatology Medical Center, Affiliated Hospital of Qingdao University, Qingdao University, Qingdao, China.

Central Laboratory of Affiliated Hospital of Qingdao University, Qingdao University, Qingdao, China.

出版信息

Mol Biol Cell. 2019 May 1;30(10):1182-1197. doi: 10.1091/mbc.E18-12-0770. Epub 2019 Mar 13.

Abstract

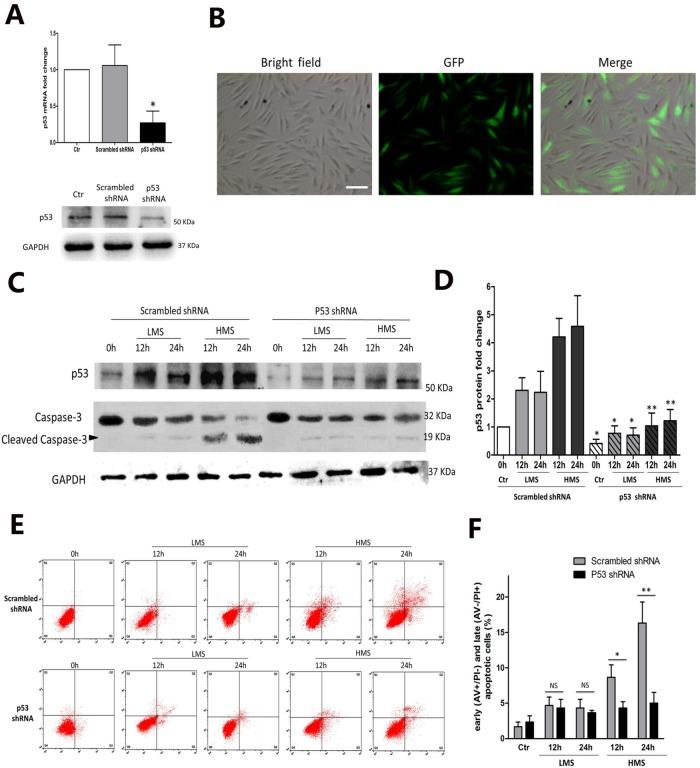
Previously, we had shown that high magnitude stretch (HMS), rather than low magnitude stretch (LMS), induced significant apoptosis of skeletal muscle C2C12 myoblasts. However, the molecular mechanism remains obscure. In this study, we found that p53 protein accumulated in the nucleus of LMS-loaded cells, whereas it translocated into mitochondria of HMS-loaded cells. Knocking down endogenous p53 by shRNA abrogated HMS-induced apoptosis. Furthermore, we demonstrated that overaccumulation of reactive oxygen species (ROS) during HMS-inactivated AKT that was activated in LMS-treated cells, which accounted for the distinct p53 subcellular localizations under HMS and LMS. Blocking ROS generation by -acetylcysteine (NAC) or overexpressing constitutively active AKT vector (CA-AKT) inhibited HMS-incurred p53 mitochondrial translocation and promoted its nuclear targeting. Moreover, both NAC and CA-AKT significantly attenuated HMS-induced C2C12 apoptosis. Finally, we found that Ser389 phosphorylation of p53 was a downstream event of ROS-inactivated AKT pathway, which was critical to p53 mitochondrial trafficking during HMS stimuli. Transfecting p53-shRNA C2C12s with the mutant p53 (S389A) that was unable to target p53 to mitochondria underwent significantly lower apoptosis than transfection with wild-type p53. Altogether, our study uncovered that mitochondrial localization of p53, resulting from p53 Ser389 phosphorylation through ROS-inactivated AKT pathway, prompted C2C12 myoblast apoptosis during HMS stimulation.

摘要

先前,我们已经表明,高强度拉伸(HMS)而非低强度拉伸(LMS)会诱导骨骼肌 C2C12 成肌细胞发生显著的细胞凋亡。然而,其分子机制尚不清楚。在本研究中,我们发现 p53 蛋白在 LMS 加载的细胞的核内积累,而在 HMS 加载的细胞中则转移到线粒体中。通过 shRNA 敲低内源性 p53 可消除 HMS 诱导的细胞凋亡。此外,我们证明,在 HMS 处理的细胞中被激活的 AKT 会在 HMS 过程中使活性氧(ROS)过度积累,从而导致 HMS 和 LMS 下 p53 亚细胞定位的明显差异。通过 N-乙酰半胱氨酸(NAC)阻断 ROS 的产生或过表达组成型激活 AKT 载体(CA-AKT)抑制 HMS 诱导的 p53 线粒体易位,并促进其核定位。此外,NAC 和 CA-AKT 均显著抑制 HMS 诱导的 C2C12 细胞凋亡。最后,我们发现 p53 的丝氨酸 389 磷酸化是 ROS 失活 AKT 通路的下游事件,这对 HMS 刺激过程中 p53 向线粒体的运输至关重要。用无法靶向 p53 到线粒体的突变型 p53(S389A)转染 p53-shRNA C2C12 细胞后,其凋亡程度明显低于转染野生型 p53 的细胞。总之,我们的研究揭示了 p53 的线粒体定位,这是由于 ROS 失活 AKT 通路导致的 p53 丝氨酸 389 磷酸化所致,促使 HMS 刺激期间 C2C12 成肌细胞发生凋亡。

https://cdn.ncbi.nlm.nih.gov/pmc/blobs/9297/6724521/5453ad605954/mbc-30-1182-g001.jpg

文献AI研究员

20分钟写一篇综述,助力文献阅读效率提升50倍。

立即体验

用中文搜PubMed

大模型驱动的PubMed中文搜索引擎

马上搜索

文档翻译

学术文献翻译模型,支持多种主流文档格式。

立即体验