Suppr超能文献

Massive hemoperitoneum and upper gastrointestinal hemorrhage following liver rupture secondary to gallbladder perforation: A case report and literature review.

作者信息

Lan Xiang, Xiang Yuanyuan, Liu Fei, Li Bo, Wei Yonggang, Zhang Hua

机构信息

Department of Liver Surgery & Liver Transplantation Center, West China Hospital of Sichuan University, Chendu, Sichuan.

Department of Digestive Disease Center, The Third Affiliated Hospital of Chongqing Medical University, Chongqing, People's Republic of China.

出版信息

Medicine (Baltimore). 2019 Mar;98(11):e14729. doi: 10.1097/MD.0000000000014729.

Abstract

RATIONALE

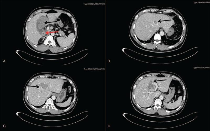
Available literature states that the common reasons for non-traumatic spontaneous liver rupture are hepatocellular carcinoma, macronodular cirrhosis, hemangioma, and other tumors; gallbladder perforation is not cited as a cause.

PATIENT CONCERNS

The patient presented with sudden-onset right upper quadrant pain with tarry stool for 3 days after eating with dysphoria and increasing thirst; gradually, hemorrhagic shock developed. He had no history of trauma, no background of chronic hepatitis, and no cirrhosis.

DIAGNOSIS

Hemorrhage secondary to spontaneous rupture of intrahepatic cholangiocarcinoma.

INTERVENTIONS

Left hemihepatectomy, cholecystectomy, and common bile duct exploration were performed.

OUTCOMES

The patient was diagnosed with massive hemoperitoneum accompanying upper gastrointestinal hemorrhage following liver rupture secondary to gallbladder perforation. The postoperative course was uneventful and the patient was discharged after 10 days of hospitalization.

LESSONS

If patients present with non-traumatic spontaneous liver rapture accompanying cholelithiasis and gallbladder hematoma, gallbladder perforation should be considered as a differential diagnosis. Misdiagnosis can lead to incorrect treatment.

摘要
https://cdn.ncbi.nlm.nih.gov/pmc/blobs/0453/6426586/5fb470e9e0ea/medi-98-e14729-g001.jpg

文献AI研究员

20分钟写一篇综述,助力文献阅读效率提升50倍。

立即体验

用中文搜PubMed

大模型驱动的PubMed中文搜索引擎

马上搜索

文档翻译

学术文献翻译模型,支持多种主流文档格式。

立即体验