• 文献检索
  • 文档翻译
  • 深度研究
  • 学术资讯
  • Suppr Zotero 插件Zotero 插件
  • 邀请有礼
  • 套餐&价格
  • 历史记录
应用&插件
Suppr Zotero 插件Zotero 插件浏览器插件Mac 客户端Windows 客户端微信小程序
定价
高级版会员购买积分包购买API积分包
服务
文献检索文档翻译深度研究API 文档MCP 服务
关于我们
关于 Suppr公司介绍联系我们用户协议隐私条款
关注我们

Suppr 超能文献

核心技术专利:CN118964589B侵权必究
粤ICP备2023148730 号-1Suppr @ 2026

文献检索

告别复杂PubMed语法,用中文像聊天一样搜索,搜遍4000万医学文献。AI智能推荐,让科研检索更轻松。

立即免费搜索

文件翻译

保留排版,准确专业,支持PDF/Word/PPT等文件格式,支持 12+语言互译。

免费翻译文档

深度研究

AI帮你快速写综述,25分钟生成高质量综述,智能提取关键信息,辅助科研写作。

立即免费体验

上颌窦内源自牙髓的异物。

Foreign body of endodontic origin in the maxillary sinus.

作者信息

Tanasiewicz Marta, Bubilek-Bogacz Anna, Twardawa Henryk, Skucha-Nowak Małgorzata, Szklarski Tomasz

机构信息

Department of Conservative Dentistry with Endodontics, Medical University of Silesia, Bytom, Poland.

Department of Dental Surgery, Medical University of Silesia, Bytom, Poland.

出版信息

J Dent Sci. 2017 Sep;12(3):296-300. doi: 10.1016/j.jds.2013.02.033. Epub 2013 Apr 9.

DOI:10.1016/j.jds.2013.02.033
PMID:30895065
原文链接:https://pmc.ncbi.nlm.nih.gov/articles/PMC6399989/
Abstract

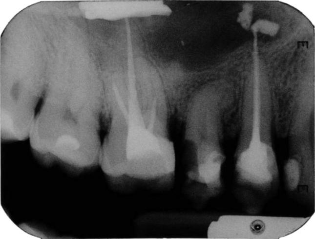
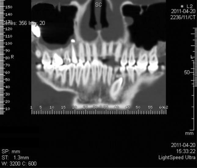
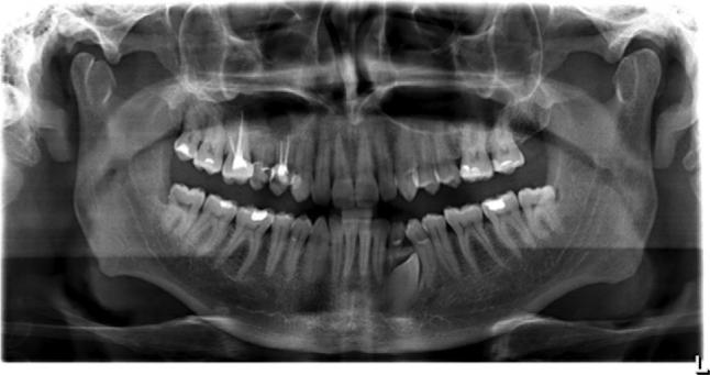
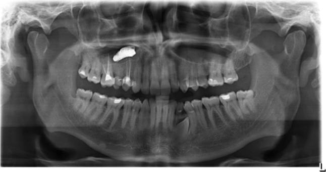
Foreign bodies found in the maxillary sinus include tooth roots, burs, dental impression material, root-filling materials, dental implants, and needles. The purpose of this paper was to present an unusual case of a large foreign body of endodontic origin (root-filling material) removed from the maxillary sinus. A 45-year-old generally healthy male patient reported to the Department of Conservative Dentistry with Endodontics of the Medical University of Silesia, because of orbital and buccal pain on the right side of his face and headaches in the preceding 6 months. Those symptoms were associated with the end of endodontic treatment of teeth 14 and 16. Periapical X-rays, including of teeth 14 and 16, showed the presence of root canal filling with extrusion of endodontic obturation material beyond the apices of tooth 14. In the case of tooth 16, a completely filled palatal canal and incompletely filled buccal canals were found. There was also an irregular dimness at the upper edge of the X-ray image. Panoramic radiography and computed tomography demonstrated a foreign body in the right sinus. Sinus exploration was performed via a surgical procedure conducted using topical anesthesia. The root apices of tooth 14 were resected, and foreign substance was removed. The practitioner did not correctly recognize a complication that occurred during endodontic treatment, which resulted in extrusion of endodontic material beyond the root apices of tooth 14. This case emphasizes the potential impact that an involved maxillary sinus may have on endodontic therapy. Detailed diagnostic identification based on the medical interview, physical and histopathological examinations, and diagnostic imaging allowed rapid surgical intervention and prevented local and general complications. It is important to realize that the range of the periapical X-ray projection is not always sufficient.

摘要

在上颌窦中发现的异物包括牙根、牙钻、牙科印模材料、根管充填材料、牙种植体和针头。本文的目的是介绍一例罕见的源自牙髓治疗的大型异物(根管充填材料)从上颌窦取出的病例。一名45岁的健康男性患者因右侧面部眼眶和颊部疼痛以及前6个月的头痛,前往西里西亚医科大学保守牙科与牙髓病科就诊。这些症状与14号和16号牙齿的牙髓治疗结束有关。包括14号和16号牙齿在内的根尖X线片显示根管充填,牙髓充填材料超出了14号牙齿根尖。对于16号牙齿,发现腭根管完全充填,颊根管充填不完全。X线图像上缘还存在不规则的模糊影。全景X线摄影和计算机断层扫描显示右侧上颌窦有异物。通过局部麻醉下的外科手术进行鼻窦探查。切除了14号牙齿的根尖,并取出了异物。该从业者未正确识别牙髓治疗期间发生的并发症,导致牙髓材料超出14号牙齿根尖。该病例强调了受累上颌窦可能对牙髓治疗产生的潜在影响。基于医学问诊、体格检查、组织病理学检查和诊断成像进行详细的诊断识别,有助于快速进行手术干预并预防局部和全身并发症。必须认识到根尖X线投影范围并不总是足够的。

https://cdn.ncbi.nlm.nih.gov/pmc/blobs/03e0/6399989/9a6f0d4e96bc/gr10.jpg
https://cdn.ncbi.nlm.nih.gov/pmc/blobs/03e0/6399989/a217fd755e43/gr1.jpg
https://cdn.ncbi.nlm.nih.gov/pmc/blobs/03e0/6399989/1ee229aa45e6/gr2.jpg
https://cdn.ncbi.nlm.nih.gov/pmc/blobs/03e0/6399989/9517a47d9660/gr3.jpg
https://cdn.ncbi.nlm.nih.gov/pmc/blobs/03e0/6399989/46a4e958c88d/gr4.jpg
https://cdn.ncbi.nlm.nih.gov/pmc/blobs/03e0/6399989/576b590ee9d2/gr5.jpg
https://cdn.ncbi.nlm.nih.gov/pmc/blobs/03e0/6399989/e7696c9737fa/gr6.jpg
https://cdn.ncbi.nlm.nih.gov/pmc/blobs/03e0/6399989/549bbdc991ad/gr7.jpg
https://cdn.ncbi.nlm.nih.gov/pmc/blobs/03e0/6399989/ae22bb7a2bd9/gr8.jpg
https://cdn.ncbi.nlm.nih.gov/pmc/blobs/03e0/6399989/5402eadbf006/gr9.jpg
https://cdn.ncbi.nlm.nih.gov/pmc/blobs/03e0/6399989/9a6f0d4e96bc/gr10.jpg
https://cdn.ncbi.nlm.nih.gov/pmc/blobs/03e0/6399989/a217fd755e43/gr1.jpg
https://cdn.ncbi.nlm.nih.gov/pmc/blobs/03e0/6399989/1ee229aa45e6/gr2.jpg
https://cdn.ncbi.nlm.nih.gov/pmc/blobs/03e0/6399989/9517a47d9660/gr3.jpg
https://cdn.ncbi.nlm.nih.gov/pmc/blobs/03e0/6399989/46a4e958c88d/gr4.jpg
https://cdn.ncbi.nlm.nih.gov/pmc/blobs/03e0/6399989/576b590ee9d2/gr5.jpg
https://cdn.ncbi.nlm.nih.gov/pmc/blobs/03e0/6399989/e7696c9737fa/gr6.jpg
https://cdn.ncbi.nlm.nih.gov/pmc/blobs/03e0/6399989/549bbdc991ad/gr7.jpg
https://cdn.ncbi.nlm.nih.gov/pmc/blobs/03e0/6399989/ae22bb7a2bd9/gr8.jpg
https://cdn.ncbi.nlm.nih.gov/pmc/blobs/03e0/6399989/5402eadbf006/gr9.jpg
https://cdn.ncbi.nlm.nih.gov/pmc/blobs/03e0/6399989/9a6f0d4e96bc/gr10.jpg

相似文献

1
Foreign body of endodontic origin in the maxillary sinus.上颌窦内源自牙髓的异物。
J Dent Sci. 2017 Sep;12(3):296-300. doi: 10.1016/j.jds.2013.02.033. Epub 2013 Apr 9.
2
[Study on the incidence of lateral canals and sealing quality in the apical third roots of permanent teeth with failed endodontic treatments].[根管治疗失败的恒牙根尖三分之一根中侧支根管发生率及封闭质量的研究]
Zhonghua Kou Qiang Yi Xue Za Zhi. 2018 Apr 9;53(4):243-247. doi: 10.3760/cma.j.issn.1002-0098.2018.04.006.
3
Gross extrusion of endodontic obturation materials into the maxillary sinus: a case report.根管充填材料大量挤压入上颌窦:一例报告
Oral Surg Oral Med Oral Pathol Oral Radiol Endod. 2007 Jul;104(1):131-4. doi: 10.1016/j.tripleo.2006.11.021. Epub 2007 Mar 26.
4
Maxillary Sinus Impaction of a Core Carrier Causing Sustained Apical Periodontitis, Sinusitis, and Nasal Stenosis: A 3-year Follow-up.核心载体上颌窦嵌入导致持续性根尖周炎、鼻窦炎和鼻狭窄:3年随访
J Endod. 2016 Dec;42(12):1851-1858. doi: 10.1016/j.joen.2016.07.027. Epub 2016 Oct 18.
5
Retrieval of extensive gutta-percha extruded into the maxillary sinus: use of 3-dimensional cone-beam computed tomography.上颌窦内大量超充牙胶的取出:三维锥形束计算机断层扫描的应用
J Endod. 2013 Sep;39(9):1189-93. doi: 10.1016/j.joen.2013.04.006. Epub 2013 May 22.
6
Endodontic implications of the maxillary sinus: a review.上颌窦的牙髓病学影响:综述
Int Endod J. 2002 Feb;35(2):127-41. doi: 10.1046/j.0143-2885.2001.00524.x.
7
[Odontogenic maxillary sinusitis based on overextension of root canal filling material].[基于根管充填材料超充的牙源性上颌窦炎]
Ned Tijdschr Tandheelkd. 2012 Oct;119(10):480-3. doi: 10.5177/ntvt.2012.10.11225.
8
Endodontic Microsurgery on a Persistent Periapical Lesion.针对持续性根尖周病变的牙髓显微外科手术。
Cureus. 2023 Jul 1;15(7):e41250. doi: 10.7759/cureus.41250. eCollection 2023 Jul.
9
Root canal treatment of a periradicular lesion caused by unintentional root damage after orthodontic miniscrew placement: a case report.正畸微螺钉植入后因意外根管损伤导致的根尖周病变的根管治疗:一例报告。
Int Endod J. 2011 Dec;44(12):1170-5. doi: 10.1111/j.1365-2591.2011.01933.x. Epub 2011 Aug 18.
10
Investigating the anatomical relationship between the maxillary molars and the sinus floor in a Chinese population using cone-beam computed tomography.利用锥形束计算机断层扫描研究中国人群上颌磨牙与上颌窦底的解剖关系。
BMC Oral Health. 2019 Dec 16;19(1):282. doi: 10.1186/s12903-019-0969-0.

引用本文的文献

1
Unusual migration of a tooth root into the ethmoid sinus after dental extraction: a case report and literature review.拔牙后牙根异常移入筛窦:一例报告及文献综述
J Surg Case Rep. 2025 Sep 13;2025(9):rjaf737. doi: 10.1093/jscr/rjaf737. eCollection 2025 Sep.
2
Odontogenic Sinusitis: Endoscopic Management of this Iatrogenic Entity.牙源性鼻窦炎:这种医源性疾病的内镜治疗
Indian J Otolaryngol Head Neck Surg. 2025 Jan;77(1):170-176. doi: 10.1007/s12070-024-05133-5. Epub 2024 Oct 24.
3
The Management of Foreign Body Displacement into the Maxillary Sinus as a Complication of Maxillofacial Interventions: Systematic Review.

本文引用的文献

1
Foreign body in the maxillary sinus: report of an unusual case.上颌窦异物:1例罕见病例报告。
Quintessence Int. 2008 Sep;39(8):698-701.
2
Gross extrusion of endodontic obturation materials into the maxillary sinus: a case report.根管充填材料大量挤压入上颌窦:一例报告
Oral Surg Oral Med Oral Pathol Oral Radiol Endod. 2007 Jul;104(1):131-4. doi: 10.1016/j.tripleo.2006.11.021. Epub 2007 Mar 26.
3
Endoscopic removal of a dental implant displaced into the maxillary sinus: technical note.内镜下取出移位至上颌窦的牙种植体:技术要点
上颌窦异物移位作为颌面干预并发症的管理:系统评价
Indian J Otolaryngol Head Neck Surg. 2022 Oct;74(Suppl 2):1088-1093. doi: 10.1007/s12070-020-02153-9. Epub 2020 Sep 18.
4
Association between Periodontitis and Chronic Rhinosinusitis Involving Maxillary Sinus Measured by Lund Mackay Staging System.通过Lund-Mackay分期系统测量牙周炎与累及上颌窦的慢性鼻-鼻窦炎之间的关联。
Healthcare (Basel). 2022 Oct 7;10(10):1961. doi: 10.3390/healthcare10101961.
5
Prelacrimal Window Approach in the Management of Odontogenic Maxillary Sinusitis from Dental Foreign Body.泪前窗入路治疗牙源性上颌窦炎伴牙源性异物
Case Rep Dent. 2022 Sep 12;2022:1730656. doi: 10.1155/2022/1730656. eCollection 2022.
6
An Unusual Maxillary Sinus Foreign Body: A Case Report.上颌窦异物一例报告。
Am J Case Rep. 2021 Feb 17;22:e928534. doi: 10.12659/AJCR.928534.
7
The evaluation of apicectomy without retrograde filling in terms of lesion size localization and approximation to the anatomic structures.不进行逆行充填的根尖切除术在病变大小定位以及与解剖结构的接近程度方面的评估。
Med Oral Patol Oral Cir Bucal. 2019 Mar 1;24(2):e265-e270. doi: 10.4317/medoral.22834.
Int J Oral Maxillofac Surg. 2004 Mar;33(2):195-7. doi: 10.1054/ijom.2003.0470.
4
Foreign bodies in the maxillary antrum: a case report.上颌窦异物:一例报告
Aust Dent J. 2002 Dec;47(4):344-6. doi: 10.1111/j.1834-7819.2002.tb00549.x.
5
Aspergillosis of the maxillary sinus as a complication of overfilling root canal material into the sinus: report of two cases.上颌窦曲霉菌病作为根管充填材料超充入上颌窦的并发症:两例报告。
J Endod. 2001 Jul;27(7):476-8. doi: 10.1097/00004770-200107000-00011.
6
Dental anatomy: the paranasal sinuses.牙体解剖学:鼻窦
Dent Update. 1983 May;10(4):225-6, 228-9, 231.
7
Spontaneous removal of foreign bodies from the maxillary sinus: report of a case.上颌窦异物的自发排出:一例报告
J Oral Maxillofac Surg. 1989 Jan;47(1):75-7. doi: 10.1016/0278-2391(89)90130-4.
8
An iatrogenic foreign body (dental bur) in the maxillary antrum: a report of two cases.上颌窦内的医源性异物(牙钻):两例报告
Br Dent J. 1992 Jul 25;173(2):63-5. doi: 10.1038/sj.bdj.4807941.